एक बाएं निचले चतुर्थांश स्पिगेलियन-प्रकार हर्निया की रोबोट-सहायता प्राप्त मरम्मत
Main Text
Table of Contents
गहरी अवर अधिजठर छिद्रक (डीआईईपी) फ्लैप फसल के बाद घाव की जटिलताओं के परिणामस्वरूप एक बाएं निचले चतुर्थांश आंशिक-मोटाई स्पिगेलियन-प्रकार के चीरा हर्निया को न्यूनतम इनवेसिव, रोबोट-सहायता, ट्रांसएब्डोमिनल प्रीपेरिटोनियल (टीएपीपी) फैशन में मरम्मत की जाती है। रोबोटिक सहायता का उपयोग करते हुए, एक बड़ा प्रीपेरिटोनियल फ्लैप बनाया जाता है, कांटेदार सिवनी का उपयोग करके फेशियल क्लोजर प्राप्त किया जाता है, और हर्निया दोष को मध्यम वजन वाले पॉलीप्रोपाइलीन जाल के साथ व्यापक रूप से प्रबलित किया जाता है। इस रोगी में, यह दृष्टिकोण उन क्षेत्रों के लिए भी अनुमति देता है जिनके पास पहले से बचने के लिए जाल रखा गया था, और वसा युक्त अप्रत्यक्ष बाएं वंक्षण हर्निया की मरम्मत के लिए। इसी तरह के दृष्टिकोण प्राथमिक या पार्श्व चीरा हर्निया को संबोधित कर सकते हैं। इस रोगी के पास प्रारंभिक घाव रुग्णता के बिना एक जटिल पश्चात का कोर्स था।
रोबोटिक हर्निया सर्जरी; स्पिगेलियन हर्निया; फ्लैंक हर्निया; डीआईईपी फ्लैप हर्निया; मिनिमली-इनवेसिव हर्निया सर्जरी।
इस रोगी को उसके पेट के बाईं ओर से एक गहरी अवर अधिजठर छिद्रक (डीआईईपी) फ्लैप की फसल के बाद एक बाएं निचले चतुर्थांश आंशिक-मोटाई चीरा स्पिगेलियन-प्रकार हर्निया था और बाद में घाव की जटिलताओं। स्पिगेलियन हर्निया एक प्रकार का प्राथमिक आंशिक-मोटाई हर्निया है जहां पेट की सामग्री ट्रांसवर्सस एब्डोमिनिस और आंतरिक तिरछे एपोन्यूरोसिस में एक दोष के माध्यम से उभरी हुई है, एक बरकरार बाहरी तिरछे के नीचे। इस मामले में हर्निया रोगी के पूर्व डीआईईपी फ्लैप और हर्निया की मरम्मत के परिणामस्वरूप प्रकृति में अधिक होने की संभावना है। ऑटोलॉगस स्तन पुनर्निर्माण के लिए फसल के बाद उभड़ा हुआ और हर्निया सहित पेट दाता साइट घाव जटिलताओं अप करने के लिए हो सकता है 15% रोगियों की. वीडियो में प्रदर्शित प्रक्रिया पेट की दीवार की परतों के बीच एक बड़ी प्रीपेरिटोनियल जेब बनाकर पेट की फ्लैप फसल के बाद एक आंशिक-मोटाई स्पिगेलियन-प्रकार के चीरा हर्निया को संबोधित करती है, जिससे पेट की गुहा के अंदर से मांसपेशियों के दोष को बंद करने की अनुमति मिलती है और जाल के साथ मरम्मत का सुदृढीकरण, जिसे पेट की सामग्री से बाहर रखा गया है।
रोगी बीएमआई 29 किग्रा/मीटर2 वाली एक 57 वर्षीय महिला है, जिसने यूरोपीय हर्निया सोसाइटी (ईएचएस) वर्गीकरण प्रणाली का उपयोग करते हुए L3W2 हर्निया के अनुरूप एक आवर्तक बाएं निचले चतुर्थांश आंशिक-मोटाई वाले स्पिगेलियन-प्रकार हर्निया के साथ प्रस्तुत किया। उसके चिकित्सा इतिहास में स्तन कैंसर शामिल है, जिसके लिए उसने असफल दाएं तरफा प्रत्यारोपण के साथ द्विपक्षीय मास्टेक्टॉमी की और बाद में उसके बाएं पेट से काटे गए डीआईईपी फ्लैप के साथ दाएं स्तन पुनर्निर्माण किया। इस ऑपरेशन में, त्वचा और चमड़े के नीचे के ऊतकों और रक्त की आपूर्ति से युक्त एक मुक्त फ्लैप जिसमें गहरी अवर अधिजठर धमनी की कई छिद्रित शाखाएं शामिल थीं, काटा गया था, जिसके परिणामस्वरूप बाहरी तिरछा प्रावरणी दोष स्थायी पॉलिएस्टर और पॉलीप्रोपाइलीन टांके के साथ बंद हो गया था। अनुप्रस्थ रेक्टस एब्डोमिनिस मायोक्यूटेनियस (TRAM) फ्लैप के विपरीत, रेक्टस मांसपेशी को DIEP फ्लैप में सीटू में छोड़ दिया जाता है। उसके डीआईईपी के लगभग 2 साल बाद, उसने अपने प्लास्टिक सर्जन द्वारा एक ऑनले स्थिति और समवर्ती एब्डोमिनोप्लास्टी में रखे स्थायी सिंथेटिक जाल के साथ बाएं निचले चतुर्थांश उभार की मरम्मत की। यह संभव है कि वह इस बिंदु पर एक आंशिक मोटाई हर्निया था कि पर्याप्त रूप से एक जड़ना दृष्टिकोण के साथ इलाज नहीं किया गया था, लेकिन उस समय बिंदु से बाहर इमेजिंग उपलब्ध नहीं है. उसने एक जाल संक्रमण विकसित किया, और अधिकांश जाल को हटा दिया गया था, जिसमें कुछ फेशियल मलत्याग को उसकी बाहरी ऑपरेटिव रिपोर्टों में वर्णित किया गया था। घटनाओं की इस श्रृंखला के परिणामस्वरूप आवर्तक चीरा हर्निया हुआ जिसके लिए वर्तमान में उसका इलाज किया जा रहा है। उसके लक्षणों में एक बाएं निचले चतुर्थांश उभार और उसके मिडलाइन पेट में कठोरता की अनुभूति शामिल है। उसके पास चल रहे संक्रमण का कोई सबूत नहीं है और वह किसी भी एंटीबायोटिक दवाओं पर नहीं है। उसे मेटफॉर्मिन पर टाइप 2 मधुमेह है और धूम्रपान का एक दूरस्थ इतिहास है। उसकी एएसए कक्षा III है।
पेट की परीक्षा एक अनुप्रस्थ इन्फ्राम्बिलिकल निशान को प्रदर्शित करती है, जिसमें मध्य भाग माध्यमिक इरादे से ठीक हो जाता है। पैल्पेशन पर, कठोरता इस चीरा के औसत दर्जे का पहलू पर मौजूद है, संभवतः कुछ शेष ऑनले जाल से। रेक्टस कॉम्प्लेक्स के बाहर पूर्वकाल बेहतर इलियाक रीढ़ (एएसआईएस) के स्तर पर बाएं निचले चतुर्थांश में एक स्पष्ट 4-5-सेमी उभार है, खांसी या वलसाल्वा पैंतरेबाज़ी के साथ अधिक उल्लेखनीय है, हालांकि कोई भी प्रावरणी दोष तालु होने में सक्षम नहीं है। निष्कर्षों का यह नक्षत्र एक स्पिलियन-प्रकार हर्निया के अनुरूप है, हालांकि इस रोगी के पूर्व संचालन के संदर्भ में, यह आंशिक-मोटाई पार्श्व चीरा हर्निया की अधिक संभावना है।
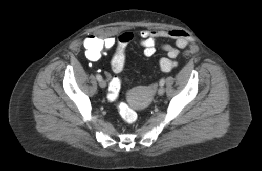
रोगी के जटिल ऑपरेटिव इतिहास के कारण, सर्जिकल हस्तक्षेप के साथ आगे बढ़ने से पहले क्रॉस-अनुभागीय इमेजिंग को अनिवार्य माना जाता था। सीटी स्कैन (चित्रा 1) पर, बाएं निचले चतुर्थांश पार्श्व में बाएं रेक्टस मांसपेशी में एक आंशिक-मोटाई चीरा हर्निया का सबूत है, जिसमें ट्रांसवर्सस एब्डोमिनिस (टीए) और आंतरिक तिरछा का विघटन होता है, जिसमें एक अक्षुण्ण बाहरी तिरछा होता है। विशेष रूप से उल्लेखनीय बाएं आंतरिक तिरछे पर आंत्र की उपस्थिति है। इस हर्निया के स्थान और आकार को देखते हुए, इसे ईएचएस वर्गीकरण का उपयोग करके L3W2 हर्निया माना जाएगा। इसके अतिरिक्त, रोगी की मिडलाइन में ऑनले जाल और बाईं ओर रोगी के गोल लिगामेंट से सटे एक वसा प्लग का प्रमाण है, जो अप्रत्यक्ष हर्निया घटक की उपस्थिति का संकेत देता है।

चित्र 1. इस रोगी के सीटी पेट श्रोणि का अक्षीय दृश्य एक बाएं निचले चतुर्थांश आंशिक-मोटाई चीरा हर्निया का प्रदर्शन करता है। बाएं आंतरिक तिरछे और ट्रांसवर्सस एब्डोमिनिस के पृथक्करण का प्रमाण है अर्धचंद्र रेखा पार्श्व के स्तर पर रेक्टस मांसपेशी के लिए एक अक्षुण्ण अतिव्यापी बाहरी तिरछा के साथ, एक आंशिक-मोटाई हर्निया के अनुरूप।
अधिकांश हर्निया का प्राकृतिक इतिहास एक ही आकार में रहना या विस्तार करना है। हर्निया अपने आप छोटे नहीं होते हैं। हर्निया उन लक्षणों की डिग्री में बहुत भिन्न हो सकते हैं जो वे पैदा करते हैं, बिना किसी लक्षण या कभी-कभी असुविधा से लेकर लगातार दर्द तक, और यहां तक कि आंत्र रुकावट और अन्य जटिलताओं का कारण भी बन सकते हैं। जब हर्निया को समय के साथ गैर-ऑपरेटिव रूप से देखा जाता है, यहां तक कि हर्निया जो शुरू में न्यूनतम लक्षण पैदा करते हैं, असुविधा के संबंध में अधिक रोगसूचक बन जाते हैं, और कई व्यक्ति मरम्मत का पीछा करने का निर्णय लेते हैं।
इस हर्निया के लिए वैकल्पिक उपचार विकल्पों में लगातार दर्द के लक्षणों और क्रमिक हर्निया वृद्धि की उम्मीद के साथ गैर-ऑपरेटिव प्रबंधन शामिल होगा जैसा कि ऊपर उल्लेख किया गया है, एक फ्लैंक / कमर चीरा के माध्यम से खुली मरम्मत, या एक मिडलाइन (या पार्श्व) चीरा के माध्यम से खुले रेट्रोमस्क्युलर / प्रीपेरिटोनियल मरम्मत किसी भी अवशिष्ट ऑनले जाल के संभावित एक साथ या चरणबद्ध छांटना के साथ। हालांकि रोबोट सहायता के बिना इस हर्निया को न्यूनतम इनवेसिव फैशन में मरम्मत करना संभव होगा, रोबोट का उपयोग प्रीपेरिटोनियल जेब के कुछ आसान निर्माण, बेहतर विज़ुअलाइज़ेशन और न्यूनतम इनवेसिव टांके की अनुमति देने के लिए स्वतंत्रता की अतिरिक्त डिग्री की अनुमति देता है।
इस रोगी के लिए उपचार के लक्ष्य उस दर्द को संबोधित करना है जो वह अपनी हर्निया की मरम्मत करके अनुभव कर रही है, हर्निया की मरम्मत के लिए टिकाऊ होने के लिए, और सर्जरी के बाद घाव की जटिलताओं के व्यापक इतिहास को देखते हुए घाव की रुग्णता को कम करने के दृष्टिकोण के लिए। एक न्यूनतम इनवेसिव मरम्मत उस क्षेत्र के लिए अनुमति देती है जिसमें पूर्व जाल था और पूर्व जाल संक्रमण से बचा जा सकता था।
सामान्य तौर पर, अधिकांश रोगी जो न्यूनतम इनवेसिव हर्निया की मरम्मत के लिए उम्मीदवार हैं, वे खुली प्रक्रियाओं की तुलना में इन दृष्टिकोणों से लाभ उठा सकते हैं, क्योंकि छोटे चीरों से दर्द कम हो सकता है, तेजी से वसूली हो सकती है और घाव की जटिलताओं के लिए कम जोखिम हो सकता है। एक न्यूनतम इनवेसिव दृष्टिकोण उन रोगियों के लिए contraindicated हो सकता है जिनके पास कई इंट्रा-पेट के ऑपरेशन हुए हैं और महत्वपूर्ण इंट्रा-पेट के आसंजन होने की उम्मीद है, या जिनके पास हाल ही में आंत्र रुकावट है और आसंजनों के पूर्ण लसीका की आवश्यकता होती है। जिन मरीजों के पास पहले से ही प्रीपेरिटोनियल या रेट्रोमस्क्युलर विमानों का उपयोग करके न्यूनतम इनवेसिव हर्निया की मरम्मत हुई है, उन्हें भी एक खुले ऑपरेशन की पेशकश की जाने की अधिक संभावना है, यह देखते हुए कि विमान अब एक पुन: ऑपरेटिव है। इसके अतिरिक्त, जो रोगी एक जटिल हर्निया के साथ तीव्रता से उपस्थित होते हैं, जैसे कि आंत्र इस्किमिया के लिए चिंता के साथ एक कैद हर्निया, आमतौर पर तीव्र सेटिंग में न्यूनतम इनवेसिव हर्निया की मरम्मत की पेशकश नहीं की जाती है।
इस मामले में, रोगी के पेट को उसके हर्निया से दूर एक स्थान पर हसन फैशन में सुरक्षित रूप से दर्ज किया गया था, और कुल तीन बंदरगाहों को रखा गया था ताकि हर्निया दोष की ओर त्रिकोणीय हो और उन क्षेत्रों से बचा जा सके जहां रोगी को पहले जाल था। जैसा कि अपेक्षित था, रोगी को बाएं निचले चतुर्थांश, आंशिक-मोटाई स्पिगेलियन-प्रकार के चीरा हर्निया को 6 x 7 सेमी मापने के लिए देखा गया था। एक टीएपीपी दृष्टिकोण अपनाया गया था। सर्जिकल रोबोट का उपयोग करते हुए, एक बड़ी प्रीपेरिटोनियल जेब बनाई गई थी और बाद में रेट्रोपरिटोनियम में विस्तारित की गई थी, मिडलाइन के लिए औसत दर्जे का, और रेट्रोप्यूबिक स्पेस के लिए अवर रूप से। हर्निया थैली कम हो गई थी, और अप्रत्यक्ष स्थान से वसा के एक अतिरिक्त बड़े प्लग की कमी के साथ, बाएं मायोपेक्टिनियल छिद्र को विच्छेदित किया गया था। गोल लिगामेंट को अलग किया गया था और अप्रत्यक्ष स्थान के पूर्ण जाल ओवरलैप की सुविधा के लिए विभाजित किया गया था। इस जेब को बनाने के बाद, फेशियल दोष को बंद कर दिया गया था, आंतरिक तिरछे और ट्रांसवर्सस एब्डोमिनिस मांसपेशियों को बाधित सेमीलुनर लाइन में पुन: पेश किया गया था, जबकि पोस्टऑपरेटिव उभड़ा को कम करने के प्रयास में बाहरी तिरछे प्रावरणी की नकल भी की गई थी। मध्यम वजन, मैक्रोपोरस पॉलीप्रोपाइलीन जाल का एक बड़ा टुकड़ा 25x18x18 सेमी मापने वाले त्रिकोणीय आकार में बनाया गया था और फिर हर्निया और मायोपेक्टीनल छिद्र को ओवरलैप करने के लिए पेरिटोनियल जेब में रखा गया था और फिर पूर्वकाल पेट की दीवार सुपरओमेडियली और सुपरलैटरली के लिए विक्रिल सिवनी के साथ तय किया गया था। जाल के निचले किनारे को टिसील फाइब्रिन सीलेंट (बैक्सटर) के साथ तय किया गया था, जो इलियोप्यूबिक ट्रैक्ट से हीन पाए जाने वाले प्रमुख न्यूरोवास्कुलर संरचनाओं को चोट से बचने के लिए मर्मज्ञ निर्धारण से बचता था। प्रीपेरिटोनियल फ्लैप को तब पेट की दीवार पर 2-0 वी-एलओसी सिवनी (मेडट्रॉनिक) के साथ पुन: अनुमानित किया गया था, जो जाल को पूरी तरह से कवर करता था। द्विपक्षीय ट्रांसवर्सस एब्डोमिनिस प्लेन (टीएपी) ब्लॉक लंबे समय से अभिनय स्थानीय संज्ञाहरण प्रदान करने के इरादे से प्रत्यक्ष लेप्रोस्कोपिक दृष्टि के तहत एक्सपेरेल लिपोसोमल बुपिविकाइन निलंबन (पेसिरा फार्मास्यूटिकल्स, इंक) का उपयोग करके किए गए थे। रोगी को रात भर देखा गया और बिना किसी जटिलता के ऑपरेशन के बाद के दिन 1 पर घर से छुट्टी दे दी गई। एक महीने के फॉलो-अप में, रोगी दर्द, घाव की जटिलताओं, या शारीरिक परीक्षा पर हर्निया पुनरावृत्ति के सबूत के बिना अच्छा कर रहा था। सर्जरी के एक साल बाद उन्हें फिर से देखा जाएगा।
पेट-आधारित फ्लैप के साथ ऑटोलॉगस स्तन पुनर्निर्माण के बाद दाता साइट रुग्णता असामान्य नहीं है, उपयोग की गई तकनीक के आधार पर 15% तक पेट के उभार या हर्निया के विकास की दर के साथ। 1 डीआईईपी मुक्त फ्लैप से गुजरने वाले 661 रोगियों की जांच करने वाले एक हालिया बहुस्तरीय अध्ययन ने विशेष रूप से 1.7% की हर्निया दर का उल्लेख किया, जिसमें पेट दाता साइट घाव स्फुटन और सर्जिकल साइट संक्रमण क्रमशः 17.2% और 11.2% की दर थी। 2 सर्जन जो हर्निया और पेट के उभार की दीर्घकालिक जटिलताओं के लिए ऐसे रोगियों का इलाज कर रहे हैं, उन्हें ऑटोलॉगस पुनर्निर्माण तकनीक से परिचित होना चाहिए और यह जानने के लिए पूर्व ऑपरेटिव रिपोर्ट प्राप्त करनी चाहिए कि क्या किसी रोगनिरोधी जाल का उपयोग किया गया था और पेट की दीवार के किस विमान में। इसके अतिरिक्त, यदि रोगी को पश्चात घाव रुग्णता के साथ समस्याएं थीं, तो जाल छांटना और संस्कृति परिणामों सहित पूर्व उपचार जानना ऑपरेटिव और पेरिऑपरेटिव योजना में सहायक होता है। वर्तमान क्रॉस-अनुभागीय इमेजिंग ऑपरेटिव प्लानिंग के लिए बेहद मददगार है और यह पहचानने में भी मदद कर सकती है कि विमान (ओं) की जाली क्या हो सकती है यदि इसका उपयोग पहले किया गया था, साथ ही साथ किसी भी आस-पास के हर्निया दोष की उपस्थिति जो मरम्मत की सीमा को प्रभावित कर सकती है। इस मामले में न्यूनतम इनवेसिव दृष्टिकोण का उपयोग करने से हमें उन विमानों से बचने की अनुमति मिली जो पूर्व घाव रुग्णता में शामिल थे।
स्पिगेलियन-प्रकार और पार्श्व चीरा हर्निया की मरम्मत के लिए रोबोटिक प्लेटफॉर्म का उपयोग साहित्य में कई छोटी श्रृंखलाओं में बताया गया है। 3-6 इस संदर्भ में पारंपरिक लैप्रोस्कोपी पर रोबोटिक प्लेटफॉर्म का उपयोग करने का प्राथमिक लाभ यह है कि फेशियल क्लोजर को काफी आसान इंट्राकोर्पोरियल टांके के साथ सुविधाजनक बनाया जाता है। हालांकि इन हर्निया के उपचार के लिए पारंपरिक लैप्रोस्कोपिक बनाम रोबोट-सहायता प्राप्त न्यूनतम-इनवेसिव दृष्टिकोणों की तुलना में उच्च-गुणवत्ता वाले अध्ययन नहीं हैं, रोबोट रूप से प्रावरणी को पुन: पेश करने की अधिक क्षमता से पोस्टऑपरेटिव उभड़ा हुआ सनसनी कम हो सकती है, जो पार्श्व हर्निया के उपचार में एक सामान्य घटना है। फिर भी, रोगियों को प्रीऑपरेटिव रूप से परामर्श दिया जाना चाहिए कि उनके पास अभी भी कुछ हद तक मरम्मत के बाद उभड़ा हुआ हो सकता है जिसे शल्य चिकित्सा द्वारा ठीक नहीं किया जा सकता है।
तकनीकी दृष्टिकोण से, ऐसे कई सिद्धांत हैं जिन पर टीएपीपी दृष्टिकोण के संबंध में विचार किया जाना चाहिए और उन पर प्रकाश डाला जाना चाहिए। पेरिटोनियल फ्लैप का निर्माण हर्निया से 5-7 सेमी दूर शुरू होना चाहिए और सभी दिशाओं में न्यूनतम 5 सेमी का विस्तार करना चाहिए ताकि ऑपरेशन के समापन पर जाल कवरेज के लिए पर्याप्त जगह हो। यदि ऐसा नहीं किया जाता है, तो यह पर्याप्त ओवरलैप को काफी कठिन बना देता है और इससे अंडरसिज्ड मेश का उपयोग किया जा सकता है। बाद में, विच्छेदन के लिए पेरिटोनियल फ्लैप पर सीधे रहना और रेट्रोपरिटोनियल वसा में घूमने से बचना महत्वपूर्ण है, क्योंकि पार्श्व ऊरु त्वचीय तंत्रिका को चोट लग सकती है। मायोपेक्टिनियल छिद्र के लिए एक स्पिगेलियन-प्रकार हर्निया की निकटता को देखते हुए, उस स्थान का पूर्ण विच्छेदन और कवरेज स्पिगेलियन-प्रकार हर्निया के पर्याप्त जाल ओवरलैप को सुनिश्चित करने के लिए होना चाहिए, किसी भी मौजूदा वंक्षण या ऊरु हर्निया की पहचान करने और उसका इलाज करने के लिए, और विच्छेदन के परिणामस्वरूप भविष्य के वंक्षण या ऊरु हर्निया को रोकने के लिए। जैसा कि न्यूनतम इनवेसिव वंक्षण हर्निया की मरम्मत में, इलियाक धमनी और नस की उपस्थिति के बारे में जागरूकता भयावह आईट्रोजेनिक चोट से बचने के लिए महत्वपूर्ण है, और अवर अधिजठर धमनी या इसके अवशेष का उपयोग इन संरचनाओं के स्थान में सहायता के लिए एक मील का पत्थर के रूप में किया जा सकता है। महिलाओं में, गोल लिगामेंट को अप्रत्यक्ष स्थान के जाल कवरेज की सुविधा के लिए अलग और विभाजित किया जा सकता है, जैसा कि इस मामले में किया गया था।
पुनर्निर्माण के लिए, हर नए सिवनी फेंक के बाद प्रत्येक पूर्ववर्ती सिवनी फेंक कस द्वारा सीवन लाइन के साथ उत्तरोत्तर लोड तनाव द्वारा प्रावरणी बंद करने की सुविधा प्रदान की जा सकती है। कुछ दोषों के लिए, दो टांके का उपयोग, एक प्रावरणी दोष के दोनों छोर पर शुरू होता है, बारी-बारी से प्रगति और कसने के साथ, बंद होने पर तनाव लोड करने की एक और विधि के रूप में सहायक हो सकता है। बिस्तर पर रोगी के लचीलेपन को कम करने और न्यूमोपेरिटोनियम के दबाव को कम करने से भी बड़े प्रावरणी दोषों को बंद करने में मदद मिल सकती है। पेट की दीवार के अत्यधिक बड़े काटने को पार्श्व रूप से नहीं लेने के लिए देखभाल की जानी चाहिए, क्योंकि जांघ के इलियोहाइपोगैस्ट्रिक, इलियोइंगुइनल और पार्श्व ऊरु त्वचीय तंत्रिका को निचले पेट में एक बाधित सेमिलुनर लाइन को पुन: पेश करते समय एक फेशियल क्लोजर फंस सकता है। इस मामले में, हमने सिवनी निर्धारण के साथ एक मध्यम वजन वाले पॉलीप्रोपाइलीन जाल का उपयोग किया, हालांकि अन्य लेखकों ने इसी तरह की मरम्मत में प्रोग्रिप (मेडट्रॉनिक), एक स्व-फिक्सिंग पॉलिएस्टर जाल का उपयोग करने की सूचना दी है। मध्यम वजन या भारी वजन वाले जाल संभवतः पार्श्व चीरा हर्निया के संदर्भ में सबसे उपयुक्त हैं, जो सेमिलुनर लाइन पर पार्श्व पेट की दीवार को अधिक सुदृढीकरण प्रदान करने के हित में हैं। अत्यधिक जाल निर्धारण से बचा जाना चाहिए, विशेष रूप से पार्श्व रूप से जहां तंत्रिकाएं चल सकती हैं, लेकिन कूपर के लिगामेंट के लिए अवशोषित निर्धारण, इलियोप्यूबिक ट्रैक्ट के ऊपर उच्च पार्श्व रूप से, और जाल पर संभावित रूप से उच्च औसत दर्जे का यह सुनिश्चित करने में मदद कर सकता है कि जाल फ्लैप बंद होने के दौरान उचित स्थिति में रहता है। यह देखते हुए कि नसों और प्रमुख जहाजों की उपस्थिति के कारण अवर मर्मज्ञ निर्धारण सुरक्षित रूप से नहीं किया जा सकता है, हमने इस मामले में चिपकने वाले निर्धारण के रूप में टिसील फाइब्रिन सीलेंट (बैक्सटर) का उपयोग किया। पेरिटोनियल क्लोजर किसी भी ऑपरेशन में एक महत्वपूर्ण कदम है जहां एक अंतरालीय हर्निया की जटिलता से बचने के लिए एक बड़ा पेरिटोनियल फ्लैप बनाया जाता है और अनकोटेड जाल के आंत्र जोखिम से बचा जाता है। अवर अधिजठर धमनी की चोट को इस चरण में टाला जाना चाहिए यदि यह मौजूद है। हम आम तौर पर पेरिटोनियल फ्लैप बंद करने के लिए एक शोषक कांटेदार सिवनी (मेडट्रॉनिक द्वारा 2-0 वी-लोक) का उपयोग करते हैं और यह सुनिश्चित करते हैं कि जाल पूरी तरह से पेरिटोनियम द्वारा कवर किया गया है। इसके अतिरिक्त, पेट की सामग्री के लिए इन टांके के कांटेदार हिस्से का एक्सपोजर जितना संभव हो उतना सीमित होना चाहिए, क्योंकि उजागर बार्ब्स आंत्र रुकावट के लिए एक निडस हो सकता है। पेरिटोनियम में किसी भी छोटे छेद को अवशोषित सिवनी के साथ बंद किया जा सकता है, फिर से अनकोटेड जाल के आंत्र जोखिम को रोकने के लिए। ध्यान दें, जबकि इस मामले के अंत में टीएपी ब्लॉक किए गए थे, दर्द के केंद्रीकरण को रोकने के इरादे से ऑपरेशन की शुरुआत में उन्हें प्रदर्शन करना भी उचित होगा। यद्यपि हम इस नैदानिक संदर्भ में प्रीऑपरेटिव बनाम पोस्टऑपरेटिव टीएपी ब्लॉक की तुलना में किसी भी उच्च गुणवत्ता वाले सबूत से अवगत नहीं हैं, लेकिन पर्याप्त डेटा है कि टीएपी ब्लॉक लैप्रोस्कोपिक वंक्षण हर्निया की मरम्मत के बाद पोस्टऑपरेटिव दर्द और ओपिओइड उपयोग को कम कर सकते हैं, जो इस मामले में उपयोग किए जाने वाले टीएपीपी दृष्टिकोण के समान दृष्टिकोण का उपयोग करता है। 7
जबकि स्पिगेलियन-प्रकार और पार्श्व चीरा हर्निया की रोबोट-सहायता प्राप्त मरम्मत के लिए मजबूत दीर्घकालिक परिणामों की कमी है, एक रोबोट टीएपीपी दृष्टिकोण इस रोगी के लिए आदर्श लग रहा था, उसके पूर्व पैनिकुलेक्टोमी के क्षेत्रों से बचने की क्षमता के साथ और उसके असफल पूर्वकाल दृष्टिकोण से जाल जाल जड़ना, प्रावरणी बंद करने के लिए, पेट की गुहा के बाहर जाल रखते हुए व्यापक जाल ओवरलैप प्राप्त करने के लिए, और उसके समवर्ती वंक्षण हर्निया की मरम्मत के लिए। चूंकि सर्जिकल रोबोटिक प्लेटफार्मों का उपयोग समग्र रूप से और विशेष रूप से हर्निया सर्जरी की दुनिया में बढ़ता है, इसलिए यह संभावना है कि हम तेजी से जटिल हर्निया और सर्जिकल इतिहास वाले रोगियों के इलाज के लिए सीमाओं को कम से कम इनवेसिव फैशन में देखना जारी रखेंगे। उचित रोगी चयन और तकनीक के साथ, हम उम्मीद करते हैं कि रोगी इन प्रगति से लाभ प्राप्त करना जारी रखेंगे।
- Exparel - Pacira फार्मास्यूटिकल्स, इंक।
- टिसील - बैक्सटर
- बार्ड सॉफ्ट मेश - BD
- दा विंची शी रोबोटिक सर्जिकल सिस्टम - सहज ज्ञान युक्त
- एसजेजेड: खुलासा करने के लिए कुछ भी नहीं
- ईएमपी:
- बोलना/पढ़ाना मानदेय: बेक्टन-डिकिंसन, मेडट्रॉनिक
- सलाहकार: बोस्टन साइंटिफिक, एक्ट्यूएटेड मेडिकल, कुक बायोटेक, नेप्च्यून मेडिकल, सर्जिमैट्रिक्स, नूह मेडिकल, एलर्गन, सहज सर्जिकल, ईआरबीई, इंटीग्रा, स्टेरिस, विकैरियस
- रॉयल्टी: UpToDate (वोल्टर्स क्लूवर), स्प्रिंगर
इस वीडियो लेख में संदर्भित रोगी ने फिल्माए जाने के लिए अपनी सूचित सहमति दी है और वह जानता है कि सूचना और चित्र ऑनलाइन प्रकाशित किए जाएंगे।
एनिमेशन 08/02/2025 को प्रकाशन के बाद जोड़ा गया। आलेख सामग्री में कोई परिवर्तन नहीं किए गए.
References
- Espinosa-de-Los-Monteros A, Frias-Frias R, Alvarez-Tostado-Rivera A, Caralampio-Castro A, Llanes S, Saldivar A. पश्चात पेट उभार और हर्निया पेट आधारित ऑटोलॉगस स्तन पुनर्निर्माण के दौर से गुजर रोगियों में दर: व्यवस्थित समीक्षा और मेटा-विश्लेषण. एन प्लास्ट सर्जरी। 2021; 86(4):476-484. डीओआइ:10.1097/एसएपी.00000000000002538.
- फिशर एमएच, ओहम्स एलबी, यांग जेएच, एट अल ऑटोलॉगस स्तन पुनर्निर्माण के बाद पेट दाता-साइट जटिलताओं: एक बहु-संस्थागत मल्टीसर्जन अध्ययन। J Plast Reconstr Aesthet Surg. 2024;90:88-94. डोई:10.1016/जे.बीजेपीएस.2024.01.033.
- Di Giuseppe M, Mongelli F, Marcantonio M, La Regina D, Pini R. फ्लैंक हर्निया का रोबोट-असिस्टेड उपचार: केस सीरीज़। बीएमसी सर्जरी। 2020; 20(1):184. डीओआइ:10.1186/एस12893-020-00843-3.
- Jamshidian M, Stanek S, Sferra J, Jamil T. रोगसूचक Spigelian हर्निया की रोबोटिक मरम्मत: तीन मामलों और शल्य चिकित्सा तकनीक की समीक्षा की एक श्रृंखला. J रोबोट सर्जरी. 2018; 12(3):557-560. डीओआइ:10.1007/एस11701-017-0742-9.
- Cabrera ATG, लीमा DL, परेरा X, Cavazzola LT, Malcher F. पार्श्व incisional हर्निया के लिए रोबोट ट्रांस-पेट preperitoneal दृष्टिकोण (TAPP) दृष्टिकोण. आर्क ब्रास सर्किल डिग। 2021; 34(2):ई1599. डीओआइ:10.1590/0102-672020210002e1599.
- Rayman S, Yuori M, जैकब R, एट अल Spigelian हर्निया के उपचार के लिए Transabdominal preperitoneal (TAPP). जेएसएलएस। 2021; 25(2):e2021.00024. डोई:10.4293/जेएसएलएस.2021.00024।
- हबर्ड जी, ह्यूबर्ट सी, वुडयगिरी एल, एट अल। "लैप्रोस्कोपिक वंक्षण हर्निया की मरम्मत में ट्रांसवर्सस एब्डोमिनिस प्लेन ब्लॉक: एक समीक्षा". हर्निया। 2023; 27(5):1059-1065. डीओआइ:10.1007/एस10029-023-02831-एक्स.
Cite this article
ज़ोलिन एसजे, पाउली ईएम। "बाएं निचले चतुर्थांश स्पिगेलियन-प्रकार हर्निया की रोबोट-सहायता प्राप्त मरम्मत"। जे मेड अंतर्दृष्टि। 2024; 2024(452). डीओआइ:10.24296/जोमी/452.


