Yatak Başı Kardiyak Ultrasona Giriş
Main Text
Table of Contents
Aşağıdaki yazı, JOMI "Başucu Kardiyak Ultrasona Giriş" videosuna eşlik etmek içindir. Bu videoda, hasta başı kardiyak ultrason ile ilgili temel bilgiler ele alınacaktır. Bununla birlikte, topuzoloji veya fizik ele alınmayacaktır ve hem videoda hem de bu yazıda kapsanan materyal için bir ön koşuldur.
Bakım noktası kardiyak ultrason, ekstremite olan herhangi bir hastayı değerlendirmede önemli bir tanı aracıdır. 1 Yatak başı kardiyak ultrason endikasyonları arasında kalp durması, açıklanamayan hipotansiyon, senkop, nefes darlığı, göğüs ağrısı ve değişen zihinsel durum bulunur. 2 Sınırlı bir yatak başı kardiyak ultrason için mutlak kontrendikasyon yoktur. Bakım noktası kardiyak ultrason esas olarak parasternal uzun, parasternal kısa, apikal dört odacıklı ve subksifoid içeren dört görünümden oluşur, ancak bağlama bağlı olarak akciğerler gibi diğer alanları da içerebilir.
Konvansiyonel ekokardiyografi, hastanın soluna doğru ekran göstergeli (bu el yazmasına eşlik eden tüm görüntülerde kırmızı bir nokta olarak görselleştirilmiştir) aşamalı dizi probunu kullanırken, bu görüntülerin hem eğrisel prob hem de ekran göstergesini hastanın sağına doğru gösteren faz dizisi probu ile de elde edilebileceğini not etmek önemlidir. Daha sonraki oryantasyon, geleneksel oryantasyonun 180 derecelik bir ayna görüntüsü ile sonuçlanır (Resim 1).
Parasternal Uzun Karın Oryantasyonu

Parasternal Uzun Kardiyak Oryantasyon

Yukarıda belirtilen geleneksel yönlendirme, beraberindeki videoda olduğu gibi burada da ele alınmaktadır.
Hasta sırtüstü pozisyonda ve prob indikatörü hastanın sağ omzuna doğru bakacak şekilde, ikinci interkostal boşlukta sternumun hemen lateralinde göğüs duvarına dik olacak şekilde prob ile başlayın (Resim 2).
PSL Prob Pozisyonu

PSL kardiyak penceresi görünene kadar her seferinde bir interkostal boşluğu yavaşça aşağı kaydırın. Tanımlanabilen yapılar arasında sağ ventrikül, sol ventrikül, sol kulakçık, mitral kapak, aort kapak, aort çıkış yolu ve inen torasik aort bulunur (Resim 3).
PSL Etiketli Yapılar

Tüm kardiyak görünümlerde olduğu gibi, hastanın sağ omzunun altına bir havlu koyarak daha sol lateral dekübit pozisyonuna geçmelerine yardımcı olmak faydalı olabilir. Bunu yapmak, kalbi göğüs duvarına daha önde getirir ve ayrıca hastanın sol akciğerinin yerçekimi yoluyla görüş alanı dışına düşmesine izin verir. Derinlik, inen torasik aortun tüm taslağının tam olarak görüntülenmesine izin verecek şekilde ayarlanmalıdır.
Parasternal uzun görünüm, kullanıcının perikardiyal efüzyonun yanı sıra brüt sol ventrikül fonksiyonunu hızlı bir şekilde tanımlamasına ve değerlendirmesine olanak tanır. Sistol sırasında, fibröz ve seröz perikardın normal yapısı, alt kalp bölgesindeki tabakalar arasında yaklaşık 15-35 mL sıvı (sıvı flebi olarak adlandırılır) içerir. 3 Perikardiyal efüzyonların değerlendirilmesi, diyastol sırasında seröz ve fibröz perikardiyal tabakalar arasındaki maksimum yankısız boşluğun yarı kantitatif bir ölçümünü kullanır. 3 Bu efüzyonlar 3 kategoriye ayrılabilir: 1. Küçük <10mm 2. Orta 10-20mm 3. Geniş >20mm.3 Çalışmalar, acil servis hekimlerinin %96-100 duyarlılık ve %98-100 özgüllük ile yatak başı kardiyak ultrason kullanarak perikardiyal efüzyonu tespit edebildiğini göstermiştir. 2,4 İnen aorta anterior ve medial olarak uzanan perikardiyal efüzyonlar ile inen aorta posterior ve lateral olarak uzanan plevral efüzyonları ayırt etmek önemlidir. Perikardiyal efüzyonlar, özellikle efüzyon gelişimi akut olduğunda perikardiyal tamponad fizyolojisine neden olabilir. Tamponad en sık yatak başı ultrasonografide diyastol sırasında sağ ventrikül kollapsının değerlendirilmesi ile daha kolay tespit edilir (Resim 4). 3
Kardiyak Tamponad ile PSL

Bununla birlikte, sağ atriyal kollaps, kardiyak siklusun tüm evrelerinde görülürse en iyi PPV'ye sahiptir. 3 Sağ kalbin bu diyastolik çökmesi, en çok sağ kalbin düşük basınçları nedeniyle belirgindir. 3 Ayrıca, tamponad, interventriküler septumun sola kayması ve IVC'nin bolluğu değerlendirilerek değerlendirilebilir. 3 Ejeksiyon fraksiyonunun kalitatif değerlendirmesi bu videonun kapsamı dışında olsa da, hasta başı kardiyak ultrasonografi global sol ventrikül fonksiyonunun kalitatif değerlendirmesinde yararlıdır. Sistolik fonksiyon, sol ventrikül hacim değişikliklerinin yanı sıra anterior mitral kapak yaprakçık gezisinin brüt değerlendirmesine dayalı olarak değerlendirilir. 5 Sol ventrikül fonksiyonunu değerlendirmenin ek bir objektif yolu EPSS veya son nokta septal ayrımı kullanmaktır. Bu, ön mitral kapak broşürü ile septum arasındaki mesafeyi hesaplamak için hareketsiz bir görüntü elde etmek için M modunun kullanıldığı yerdir. Septumdan uzaklık ne kadar uzak olursa, mitral kapak o kadar az hareket eder ve bu nedenle ejeksiyon fraksiyonu o kadar azalır. 1 cm'den daha büyük bir mesafe, azaltılmış ejeksiyon fraksiyonu ile tutarlıdır. EPSS'nin özgüllüğü %85, duyarlılığı ise %82'dir (Resim 5). 6
PSL EPSS

Acil tıp sağlayıcılarının acil servis ortamında yatak başı kardiyak ultrason kullanarak sol ventrikül ejeksiyon fraksiyonunu ölçmedeki doğruluğunu değerlendiren araştırmalar minimum düzeyde olsa da, 2017 yılında yapılan bir çalışma, EM sakinlerinin bir kardiyolog tarafından yapılan ölçümlere kıyasla (altın standart) zamanın %91'inde acil servis ortamında LVEF'i doğru bir şekilde ölçtüğünü göstermiştir. 7 Ayrıca, Mark ve arkadaşları tarafından 2007 yılında yapılan bir çalışmada, bir klinisyenin LVEF'i [Normal], [Orta Derecede Azalmış] ve [Ciddi Derecede Azalmış] olmak üzere 3 geniş kategoride belirleme yeteneği tekrar tekrar gösterilmiş ve brüt görsel tahminleri, hesaplama teknikleri kullanılarak elde edilenler kadar doğru olacak şekilde gösterilmiştir. 8 Genel olarak, LV ejeksiyon fraksiyonu Normal LVEF >%53, Borderline LVEF %45-53, Şiddetli olmayan LVEF %35-45, Şiddetli LVEF <%35) olarak daha da tanımlanabilir. 9 Parasternal uzun eksen görünümünde, LV genişlemesi de değerlendirilebilir. 10 LV dilatasyonu, LV duvarına ortogonal olarak ve mitral kapak düzleminin altında ölçüldüğünde ≥ 76 mL/m2 AG sonu diyastolik hacmi veya 55 mm>lik bir çap olarak tanımlanır. 3,11
Parasternal uzun görünümün konumlandırılmasından başlayarak, eliniz hastanın göğüs duvarına sabitlenmiş durumdayken, gösterge şimdi hastanın sol omzuna bakacak şekilde probu 90 derece döndürün (Resim 6).
PSS Prob Pozisyonu

Bu görünüm, sol ventrikül fonksiyonunun, sıkma simetrisinin ve septal eğilmenin değerlendirilmesine izin verir. Sol ventrikül bu görünümde tanımlanabilir ve ekranın sağ alt kısmında dairesel olarak görünür. Sağ ventrikül hilal şeklinde görünür ve ekranın sağ üst kısmında bulunur (Resim 7).
PSS Etiketli Yapılar

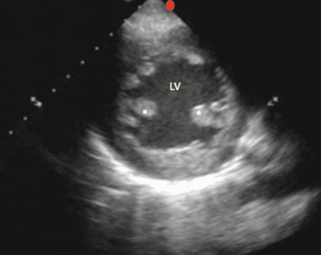
Probu çok apikal olarak havalandırmak ve papiller kaslar yerine kalbin tepesini görüntülemek (Resim 8) size sol ventrikül fonksiyonunun yanlış bir değerlendirmesine neden olacaktır.
Papiller Kaslarda ve Apekste Atel Görüntüsü PSS
* Papiller Kas Kalitesi
Apikal PSS görünümü

Parasternal uzunda olduğu gibi, parasternal kısa görünüm de global sistolik fonksiyonu değerlendirmek ve perikardiyal efüzyonları değerlendirmek için kullanılabilir. Bu görüntü, interventriküler septal düzleşme veya septal eğilme olarak ortaya çıkan artmış sağ ventrikül basınçlarını tanımlamak için özellikle yararlıdır (Resim 9).
Septal Düzleşme, "D" işareti olarak da bilinir

Araştırmalar, acil tıp sağlayıcılarının RV basınç aşırı yüklenmesini, duvar hareket anormalliklerini ve perikardiyal efüzyonları altın standarda kıyasla %100 doğrulukla tespit edebildiğini gösteriyor. 7 Ne yazık ki, ekokardiyografide RV aşırı yüklenmesi düşük özgüllüğe sahiptir ve bu nedenle PE tanısı için zayıf tanısal doğruluğa sahiptir, aslında pulmoner embolisi olan normal kalp fonksiyonuna sahip hastaların RV yetmezliği olmadığı gösterilmiştir. 3,12 Bununla birlikte, hemodinamik olarak stabil olmayan hastalar için, pulmoner embolinin dışlanması, sağ ventrikül yetmezliği belirtilerinin olmaması ile anlaşılabilir. 3, 13
Bu görünüm için, göstergeyi hastanın sol tarafına yerleştirin ve probu hastanın maksimum dürtü noktasına koyun. Erkeklerde, bu genellikle meme ucunun altında ve lateraldir; Kadınlarda genellikle meme altı kıvrımındadır. Prob sefaladını kalbin tabanına doğru eğin (Resim 10).
Apikal 4 odacıklı prob pozisyonu

Bu görünüm, sol atriyum, mitral kapak, sol ventrikül, sağ atriyum, triküspit kapak ve sağ ventrikülün görüntülenmesine olanak tanır Resim 11).
Apikal Dört Odacıklı Etiketli Yapılar

Bu görüş en zorlu görünümdür ve hasta konumlandırması kritik öneme sahiptir. Sol lateral dekübit, bu görünümü optimize etmek için en iyi pozisyondur Önceki görünümlerde tartışılan bazı patolojilere ek olarak, apikal dört odacıklı görünüm, sağ ve sol ventrikül boyutlarının karşılaştırılmasına izin verir. Normal bir sağ-sol ventrikül oranı 0.6:1'dir. Bu görüş özellikle sağ ventrikül hipertrofisini, artmış sağ ventrikül basınçlarını ve McConnell işaretini değerlendirmek için yararlıdır. McConnell'in işareti, normal apikal hareketle birlikte sağ ventrikülün orta serbest duvarının akinezisini içeren sağ ventrikül disfonksiyonunun belirgin bir ekokardiyografik bulgusunu tanımlar. McConnel ve arkadaşları tarafından yapılan orijinal çalışma, bu bulgunun PE tanısı için %77'lik bir duyarlılığa ve %94'lük bir özgüllüğe sahip olduğunu göstermektedir. 14 Bununla birlikte, daha yeni çalışmalar, McConnell belirtisinin sağ ventrikül enfarktüsü, ARDS ve pulmoner hipertansiyon dahil olmak üzere diğer kardiyopulmoner patoloji örneklerinde görüldüğünü ve bu nedenle PE için çok daha düşük bir özgüllüğe (%30) sahip olduğunu göstermiştir. 15 Çalışmalar, McConnell işaretinin şüpheli pulmoner emboli için %40-57 arasında pozitif bir prediktif değere sahip olduğunu göstermiştir. 16 Genel olarak, bu ultrason bulgusu tek başına PE tanısı koymak için kullanılmamalıdır.
Bu görünüm için, aşamalı dizi probu veya eğrisel prob kullanılabilir. Resmi ekokardiyografik oryantasyondaki subksifoid için, prob göstergesi hastanın sol tarafına doğru işaret eder. Subksifoid sürecini bularak başlayın. Porbe'yi hastanın ksifoid işleminin aşağısına ve sağına yerleştirin. Sefalad açı verirken aşağıya doğru ve hastanın sol omzuna doğru baskı uygulayın (Resim 12).
Subksifoid Prob Pozisyonu

Görüntüyü geliştirmek için karaciğeri akustik bir pencere olarak kullanın. Ekranın üst kısmı hastanın karaciğerini gösterecektir. Karaciğerin hemen altında hastanın sağ ventrikülü olacaktır ve bunun altında sol ventrikül tanımlanabilir. Açıya bağlı olarak, bu görünümde sağ ve sol atriyum da görselleştirilebilir (Resim 13).
Subksifoid İşaretli Yapılar

Subksifoid görünümü elde etmek birçok nedenden dolayı zor olabilir. Bunlar arasında hasta vücut habitusu, bağırsak gazı, torakoabdominal bölgede serbest hava veya hastanın ağrıya ikincil olarak muayeneyi tolere edememesi yer alır.
Subksifoid görünüm, perikardiyal efüzyonun varlığını veya yokluğunu değerlendirmek için en iyi görünümdür. 2,17,18 Perikardiyal efüzyondan gelen sıvı başlangıçta perikardın en bağımlı kısımlarında, yani alt ve arka yönlerde, genellikle sağ atriyum çevresinde birikir. 19,20 Yatak başı kardiyak ultrason kullanılarak perikarddaki 15-35cc kadar küçük hacimler tespit edilebilir. 21 Perikardiyal efüzyon varsa, subksifoid görünümde ekranınızın üst kısmında karaciğer lobu ile sağ ventrikül arasında sıvı göreceksiniz (Resim 14).
Perikardiyal Efüzyon ile Subksifoid
perikardiyal efüzyonun mevcut olduğu yerlerde

Karaciğer ve kalp arasında plevral yansıma olmadığından, subksifoid görünüm özellikle perikardiyal ve plevral efüzyonu ayırt etmeye yardımcı olmada yararlıdır, ancak parasternal uzun görünümde de görselleştirilebilir (Resim 15). 22,23
Plevral Efüzyon ile PSL
plevral efüzyonun mevcut olduğu yerlerde

Çok sayıda çalışma, kardiyak ultrason kullanarak perikardiyal efüzyonu tanımlamak için %96-100'e varan duyarlılıklar ve özgüllükler bildirmektedir. 4, 13, 18, 24
References
- Goett HJ, Tews M. Başucu Ultrasona Giriş. Acil Tıpta Yazı İşleri Müdürleri; Akademik Acil Tıp Derneği (SAEM). Telif Hakkı 2021.
- Amerikan Acil Hekimler Koleji. (2016). Politika Beyanı. Ultrason Kılavuzları: Tıpta Acil Durum, Bakım Noktası ve Klinik Ultrason Kılavuzları. Ann Emerg Med. 2017; 69(5):E27–E54. doi:10.1016/j.annemergmed.2016.08.457.
- Zanza C, Longhitano Y, Artico M, et al. Acil serviste yatak başı kardiyak pocus: bir uygulama incelemesi. Son Clin Denemelerini Gözden Geçirin. 2020; 15(4):269–277. doi:10.2174/1574887115666200802023306.
- Mandavia DP, Hoffner RJ, Mahaney K, Henderson SO. Acil hekimleri tarafından yatak başı ekokardiyografi. Ann Emerg Med. 2001 Ekim; 38(4):377–82. doi:10.1067/mem.2001.118224.
- Mitchell C, Rahko PS, Blauwet LA, et al. Yetişkinlerde kapsamlı bir transtorasik ekokardiyografik inceleme yapmak için kılavuzlar: Amerikan Ekokardiyografi Derneği'nden öneriler. J Soc Ekokardiyogr. 2019; 32(1):1–64. doi:10.1016/j.echo.2018.06.004.
- Ahmadpour H, Şah AA, Allen JW, Edmiston WA, Kim SJ, Haywood LJ. Mitral E noktası septal ayrılması: koroner arter hastalığında sol ventrikül performansının güvenilir bir indeksi. Kalp J. 1983 Temmuz; 106(1):21–8. doi:10.1016/0002-8703(83)90433-7.
- Farsça D, Hajsadeghi S, Hajighanbari MJ, et al. Kardiyovasküler hastalık şüphesi olan hastalarda acil tıp asistanları tarafından odaklanmış kardiyak ultrason (FOCUS). J Ultrason. 2017 Haziran; 20(2):133–138. doi:10.1007/s40477-017-0246-5.
- Mark DG, Ku BS, Carr BG ve diğerleri. Yönlendirilmiş yatak başı transtorasik ekokardiyografi: kritik hastalarda sol ventrikül ejeksiyon fraksiyonu tahmini için tercih edilen kardiyak pencere. J Emerg Med. 2007; 25(8):894–900. doi:10.1016/j.ajem.2007.01.023.
- Çömlekçi E, Marwick TH. Ekokardiyografi ile sol ventrikül fonksiyonunun değerlendirilmesi: ejeksiyon fraksiyonuna rutin olarak global longitudinal strain eklenmesi durumu. JACC Kardiyovask Görüntüleme. 2018; 11(2 sayfa 1):260–274. doi:10.1016/j.jcmg.2017.11.017.
- Lang RM, Bierig M, Devereux RB ve diğerleri. Oda ölçümü için öneriler. Eur J Ekokardiyogr. 2006; 7(2):79–108. doi:10.1016/j.euje.2005.12.014.
- Galderisi M, Santoro A, Versiero M, et al. Kardiyolojik olmayan ayaktan hastalarda cep boyutunda görüntüleme cihazı ile geliştirilmiş kardiyovasküler tanı doğruluğu: NaUSiCa (kardiyolojide Napoli ultrason stetoskopu) çalışması. Kardiyovask Ultrason. 2010;8:51. doi:10.1186/1476-7120-8-51.
- Roy PM, Colombet I, Durieux P, Chatellier G, Sors H, Meyer G. Şüpheli pulmoner emboli tanısı için stratejilerin sistematik olarak gözden geçirilmesi ve meta-analizi. BMJ. 2005; 331(7511):259. doi:10.1136/bmj.331.7511.259.
- Tayal VS, Kline JA. PEA ve PEA'ya yakın durumlardaki hastalarda perikardiyal efüzyonu tespit etmek için acil ekokardiyografi. Canlandırma. 2003; 59(3):315–318. doi:10.1016/s0300-9572(03)00245-4.
- McConnell MV, Süleyman SD, Rayan ME, PC'ye Gel, Goldhaber SZ. Akut pulmoner embolide ekokardiyografi ile saptanan bölgesel sağ ventrikül disfonksiyonu. Amerikan Kardiyoloji Dergisi. 1996 Ağustos; 78(4):469–473. doi:10.1016/s0002-9149(96)00339-6.
- Casazza F, Bongarzoni A, Capozi A, Agostoni O. Akut pulmoner emboli ve sağ ventrikül enfarktüsünde bölgesel sağ ventrikül disfonksiyonu. Eur J Ekokardiyogr. 2005; 6(1):11–14. doi:10.1016/j.euje.2004.06.002.
- Vaid U, Singer E, Marhefka GD, Kraft WK, Baram M. Akut pulmoner emboli tanısı için McConnell'in transtorasik ekokardiyografi işaretinin zayıf pozitif prediktif değeri. Hosp Pract. 2013 Ağustos; 41(3):23–7. doi:10.3810/hp.2013.08.1065.
- Adler Y, Charron P. Perikardiyal hastalıkların tanı ve yönetimi için 2015 ESC kılavuzları. Avrupa Kalp Dergisi. 2015 Kasım; 36(42)2873–2885. doi:10.1093/eurheartj/ehv479.
- Labovitz AJ, Noble VE, Bierig M, et al. Acil ortamda odaklanmış kardiyak ultrason: Amerikan Ekokardiyografi Derneği ve Amerikan Acil Hekimler Koleji'nin fikir birliği beyanı. J Soc yankı. 2010 Aralık; 23(12):1225–30. doi:10.1016/j.echo.2010.10.005.
- Goodman A, Perera P, Mailhot T, Mandavia D. Perikardiyal efüzyon ve kardiyak tamponad tanısında yatak başı ultrasonografinin rolü. Acil Durumlar, Travma ve Şok Dergisi. 2012; 5(1):72–75. doi:10.4103/0974-2700.93118.
- Imazio M, Adler Y. Perikardiyal efüzyon yönetimi. Avrupa Kalp Dergisi. 2013; 34(16):1186–1197. doi:10.1093/eurheartj/ehs372.
- Ceriani E, Cogliati C. Perikardiyal efüzyonun yatak başı ultrason tanısında güncelleme. Stajyer Acil Tıp 2016; 11(3).477–80 doi:10.1007/s11739-015-1372-8.
- Tang A, Euerle B. Acil servis ultrason ve ekokardiyografi. Emerg Med Klinik Kuzey. 2005; 23(4):1179–94. doi:10.1016/j.emc.2005.07.015.
- Weekes AJ, Quirke DP. Acil ekokardiyografi. Emerg Med Klinik Kuzey. 2011; 29(4):759–87. doi:10.1016/j.emc.2011.08.002.
- Haddad F, Doyle R, Murphy DJ, Hunt SA. Kardiyovasküler hastalıkta sağ ventrikül fonksiyonu, bölüm II: sağ ventrikül yetmezliğinin patofizyolojisi, klinik önemi ve yönetimi. Tedavül. 2008; 117(13):1717–1731. doi:10.1161/circulationaha.107.653584.
Cite this article
Peterson A, Hafız NM. Yatak başı kardiyak ultrasona giriş. J Med İçgörü. 2022; 2022(322). doi:10.24296/jomi/322.


