Introducción al ultrasonido cardíaco de cabecera
Main Text
Table of Contents
El siguiente escrito está destinado a acompañar el video JOMI "Introducción al ultrasonido cardíaco junto a la cama". En este video se cubrirán los conceptos básicos con respecto al ultrasonido cardíaco en el punto de atención. Sin embargo, la knobología o la física no estarán cubiertas y son un requisito previo para el material cubierto tanto en el video como en este escrito.
La ecografía cardíaca en el punto de atención es una herramienta diagnóstica clave para evaluar a cualquier paciente que esté in extremis. 1 Las indicaciones para una ecografía cardíaca junto a la cama incluyen paro cardíaco, hipotensión inexplicable, síncope, dificultad para respirar, dolor en el pecho y estado mental alterado. 2 No hay contraindicaciones absolutas para una ecografía cardíaca limitada junto a la cama. La ecografía cardíaca en el punto de atención consiste principalmente en cuatro vistas que incluyen la cámara paraesternal larga, la paraesternal corta, la cámara apical cuatro y la subxifoidea, pero también puede incluir otros campos como los pulmones, dependiendo del contexto.
Es importante tener en cuenta que, si bien la ecocardiografía convencional utiliza la sonda de matriz en fase con el indicador de pantalla (visualizado como un punto rojo en todas las imágenes que acompañan a este manuscrito) hacia la izquierda del paciente, estas imágenes también se pueden obtener tanto con la sonda curvilínea como con la sonda de matriz en fase que muestra el indicador de pantalla hacia la derecha del paciente. La orientación posterior simplemente da como resultado una imagen especular de 180 grados de la orientación convencional (Imagen 1).
Orientación abdominal larga paraesternal

Orientación cardíaca larga paraesternal

La orientación convencional mencionada anteriormente se cubre aquí, así como en el video que la acompaña.
Con el paciente en posición supina y el indicador de la sonda apuntando hacia el hombro derecho del paciente, comience con la sonda perpendicular a la pared torácica justo lateral al esternón en el segundo espacio intercostal (Imagen 2).
Posición de la sonda PSL

Deslice lentamente hacia abajo un espacio intercostal a la vez hasta que la ventana cardíaca PSL aparezca a la vista. Las estructuras que se pueden identificar incluyen el ventrículo derecho, el ventrículo izquierdo, la aurícula izquierda, la válvula mitral, la válvula aórtica, el tracto de salida aórtico, así como la aorta torácica descendente (Imagen 3).
Estructuras etiquetadas PSL

Al igual que con todas las vistas cardíacas, puede ser útil colocar una toalla debajo del hombro derecho del paciente para ayudarlo a una posición de decúbito lateral más izquierda. Hacerlo lleva el corazón más anterior a la pared torácica y también permite que el pulmón izquierdo del paciente se caiga fuera de la vista a través de la gravedad. La profundidad debe ajustarse para permitir la visualización completa de todo el contorno de la aorta torácica descendente.
La visión larga paraesternal permite al usuario identificar y evaluar rápidamente un derrame pericárdico, así como la función ventricular izquierda macroscópica. Durante la sístole, la estructura normal del pericardio fibroso y seroso contiene aproximadamente 15-35 ml de líquido (llamado colgajo de líquido) entre las láminas en la región inferior del corazón. 3 La evaluación de los derrames pericárdicos utiliza una medición semicuantitativa del espacio anecoico máximo entre las láminas pericárdicas serosas y fibrosas durante la diástole. 3 Estos derrames se pueden separar en 3 categorías: 1. Pequeños <10mm 2. Moderado 10-20mm 3. Amplia >20mm.3 Los estudios han demostrado que los médicos de emergencia pueden detectar un derrame pericárdico utilizando ultrasonido cardíaco de cabecera con una sensibilidad del 96-100% y una especificidad del 98-100%. 2,4 Es importante diferenciar entre derrames pericárdicos, que corren anterior y medialmente a la aorta descendente, versus derrames pleurales que corren posterior y lateralmente a la aorta descendente. Los derrames pericárdicos pueden causar fisiología del taponamiento pericárdico, particularmente cuando el desarrollo del derrame es agudo. El taponamiento se detecta más fácilmente en la ecografía de cabecera mediante la evaluación del colapso del ventrículo derecho durante la diástole (Imagen 4). 3
PSL con taponamiento cardíaco

Sin embargo, el colapso auricular derecho tiene el mejor VPP si se observa durante todas las fases del ciclo cardíaco. 3 Este colapso diastólico del corazón derecho es más pronunciado debido a las presiones más bajas del corazón derecho. 3 Además, el taponamiento se puede evaluar evaluando el desplazamiento a la izquierda del tabique interventricular y la plétora de la CIV. 3 Si bien la evaluación cualitativa de la fracción de eyección está más allá del alcance de este video, el ultrasonido cardíaco en el punto de atención es útil en una evaluación cualitativa de la función global del ventrículo izquierdo. La función sistólica se evalúa en función de una evaluación macroscópica de los cambios en el volumen del ventrículo izquierdo, así como de la excursión de la valva de la válvula mitral anterior. 5 Una forma objetiva adicional de evaluar la función ventricular izquierda es mediante el uso de EPSS, o separación septal del punto final. Aquí es donde se utiliza el modo M para obtener una imagen fija para calcular la distancia entre la valva de la válvula mitral anterior y el tabique. Cuanto más lejos está la distancia del tabique, menos se mueve la válvula mitral y, por lo tanto, más se reduce la fracción de eyección. Una distancia superior a 1 cm es consistente con una fracción de eyección reducida. EPSS tiene una especificidad del 85% y una sensibilidad del 82% (Imagen 5). 6
PSL EPSS

Si bien la investigación que evalúa la precisión de los proveedores de medicina de emergencia en la medición de la fracción de eyección del ventrículo izquierdo utilizando ultrasonido cardíaco junto a la cama en el entorno de la sala de emergencias es mínima, un estudio de 2017 mostró que los residentes de EM midieron correctamente la FEVI en el entorno de la sala de emergencias el 91% del tiempo en comparación con las mediciones realizadas por un cardiólogo (el estándar de oro). 7 Además, en un estudio de 2007 de Mark et al., la capacidad de un médico para determinar la FEVI dentro de las 3 categorías amplias de [Normal], [Moderadamente disminuida] y [Severamente disminuida] se ha demostrado repetidamente y de tal manera que sus estimaciones visuales brutas son tan precisas como las obtenidas mediante técnicas computacionales. 8 En términos generales, la fracción de eyección del VI se puede delinear aún más en FEVI normal >53%, FEVI limítrofe 45-53%, FEVI no grave 35-45%, FEVI grave <35%. 9 En la vista del eje largo paraesternal, también se puede evaluar la dilatación del VI. La dilatación del VI 10 se define como un volumen diastólico del extremo del VI de ≥ 76 ml / m2 o un diámetro > 55 mm cuando se mide ortogonalmente a la pared del VI y debajo del plano de la válvula mitral. 3,11
A partir de la posición de la vista larga paraesternal, con la mano anclada en la pared torácica del paciente, gire la sonda 90 grados con el indicador apuntando ahora hacia el hombro izquierdo del paciente (Imagen 6).
Posición de la sonda PSS

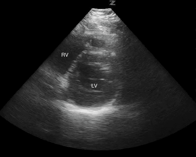
Esta vista permite la evaluación de la función del ventrículo izquierdo, la simetría de la compresión y la inclinación septal. El ventrículo izquierdo se puede identificar en esta vista y aparece como una circular en la parte inferior derecha de la pantalla. El ventrículo derecho aparece en forma de media luna y se encuentra en la parte superior derecha de la pantalla (Imagen 7).
Estructuras etiquetadas PSS

Abanicar la sonda demasiado apálicamente y ver el ápice del corazón en lugar de los músculos papilares (Imagen 8) le dará una evaluación incorrecta de la función ventricular izquierda.
Imagen de férula PSS en músculos papilares y ápice
* Músculo papilar View
Vista PSS apical

Al igual que con el largo paraesternal, la vista corta paraesternal se puede utilizar para evaluar la función sistólica global y evaluar los derrames pericárdicos. Esta visión es particularmente útil para identificar el aumento de la presión del ventrículo derecho que se manifiesta como aplanamiento septal interventricular o inclinación septal (Imagen 9).
Aplanamiento septal, también conocido como signo "D"

Los estudios muestran que los proveedores de medicamentos de emergencia pueden detectar sobrecarga de presión de RV, anomalías en el movimiento de la pared y derrames pericárdicos con una precisión del 100% en comparación con el estándar de oro. 7 Desafortunadamente, la sobrecarga de RV en la ecocardiografía tiene baja especificidad y, por lo tanto, una precisión diagnóstica deficiente para diagnosticar la EP, de hecho, se ha demostrado que aquellos pacientes con función cardíaca normal que tienen embolia pulmonar no tienen insuficiencia de RV. 3,12 Sin embargo, para aquellos pacientes que son hemodinámicamente inestables, la exclusión de la embolia pulmonar puede inferirse por la falta de signos de insuficiencia ventricular derecha. 3, 13
Para esta vista, coloque el indicador en el lado izquierdo del paciente y coloque la sonda en el punto de impulso máximo del paciente. En los hombres, esto es a menudo inferior y lateral al pezón; en las mujeres a menudo está en el pliegue inframamario. Inclina la sonda cefálada hacia la base del corazón (Imagen 10).
Posición de la sonda apical de 4 cámaras

Esta vista permite visualizar la aurícula izquierda, la válvula mitral, el ventrículo izquierdo, la aurícula derecha, la válvula tricúspide y el ventrículo derecho Imagen 11).
Estructuras apicales de cuatro cámaras etiquetadas

Esta visión es la visión más desafiante y el posicionamiento del paciente es crítico. El decúbito lateral izquierdo es la mejor posición para optimizar esta vista Además de algunas de las patologías discutidas en vistas anteriores, la vista apical de cuatro cámaras permite la comparación de los tamaños del ventrículo derecho e izquierdo. Una relación normal de ventrículo derecho a izquierdo es de 0.6: 1. Esta visión es particularmente útil para evaluar la hipertrofia ventricular derecha, el aumento de la presión del ventrículo derecho y el signo de McConnell. El signo de McConnell describe un hallazgo ecocardiográfico distinto de disfunción ventricular derecha que involucra acinesia de la pared media libre del ventrículo derecho combinado con movimiento apical normal. El estudio original de McConnel et al sugiere que este hallazgo tiene una sensibilidad del 77% y una especificidad del 94% para diagnosticar la EP. 14 Sin embargo, estudios más recientes demostraron que el signo de McConnell se ha visto en otros ejemplos de patología cardiopulmonar, incluido el infarto del ventrículo derecho, el SDRA y la hipertensión pulmonar, y por lo tanto tiene una especificidad mucho menor (30%) para la EP. 15 Estudios han demostrado que el signo de McConnell tiene un valor predictivo positivo de entre el 40-57% para la sospecha de embolia pulmonar. 16 En general, este hallazgo de ultrasonido por sí solo no debe usarse para diagnosticar la EP.
Para esta vista, se puede utilizar la sonda de matriz en fase o la sonda curvilínea. Para el subxifoide en la orientación ecocardiográfica formal, el indicador de sonda apunta hacia el lado izquierdo del paciente. Comience por encontrar el proceso subxifoide. Coloque el porche inferior y a la derecha del proceso xifoide del paciente. Aplicar presión hacia abajo mientras se inclina la cefálada y hacia el hombro izquierdo del paciente (Imagen 12).
Posición de la sonda subxifoide

Utiliza el hígado como ventana acústica para mejorar la imagen. La parte superior de la pantalla mostrará el hígado del paciente. Inmediatamente inferior al hígado será el ventrículo derecho del paciente y debajo de este se puede identificar el ventrículo izquierdo. Dependiendo del ángulo, también se puede visualizar la aurícula derecha e izquierda en esta vista (Imagen 13).
Estructuras marcadas subxifoides

Obtener la vista subxifoidea puede ser difícil por numerosas razones. Estos incluyen el habitus corporal del paciente, el gas intestinal, el aire libre en el área toracoabdominal o la incapacidad del paciente para tolerar el examen secundario al dolor.
La vista subxifoidea es la mejor vista para evaluar la presencia o ausencia de un derrame pericárdico. 2,17,18 El líquido de un derrame pericárdico se acumula inicialmente en las porciones más dependientes del pericardio, es decir, los aspectos inferior y posterior, generalmente alrededor de la aurícula derecha. 19,20 volúmenes tan pequeños como 15-35cc de líquido en el pericardio se pueden detectar utilizando ultrasonido cardíaco junto a la cama. 21 Si hay un derrame pericárdico, en una vista subxifoidea verá líquido entre el lóbulo hepático y el ventrículo derecho en la parte superior de la pantalla (Imagen 14).
Subxifoide con derrame pericárdico
donde el derrame pericárdico está presente

Como no hay reflexión pleural entre el hígado y el corazón, la vista subxifoidea es particularmente útil para ayudar a distinguir entre un derrame pericárdico y uno pleural, pero también se puede visualizar en la vista larga paraesternal (Imagen 15). 22,23
PSL con derrame pleural
donde el derrame pleural está presente

Múltiples estudios informan sensibilidades y especificidades tan altas como 96-100% para identificar un derrame pericárdico utilizando ultrasonido cardíaco. 4, 13, 18, 24
References
- Goett HJ, Tews M. Introducción al ultrasonido de cabecera. Directores de Secretariado en Medicina de Emergencia; Sociedad de Medicina De Emergencia Académica (SAEM). Derechos de autor 2021.
- Colegio Americano de Médicos de Emergencia. (2016). Declaración de política. Pautas de ultrasonido: Pautas de emergencia, punto de atención y ultrasonido clínico en medicina. Ann Emerg Med. 2017;69(5):e27–e54. doi:10.1016/j.annemergmed.2016.08.457.
- Zanza C, Longhitano Y, Artico M, et al. Pocus cardíaco junto a la cama en un entorno de emergencia: una revisión de la práctica. Rev Ensayos recientes de Clin. 2020;15(4):269–277. doi:10.2174/1574887115666200802023306.
- Mandavia DP, Hoffner RJ, Mahaney K, Henderson SO. Ecocardiografía de cabecera por médicos de emergencia. Ann Emerg Med. 2001 Octubre;38(4):377–82. doi:10.1067/mem.2001.118224.
- Mitchell C, Rahko PS, Blauwet LA, et al. Pautas para realizar un examen ecocardiográfico transtorácico integral en adultos: recomendaciones de la sociedad americana de ecocardiografía. J Am Soc Echocardiogr. 2019;32(1):1–64. doi:10.1016/j.echo.2018.06.004.
- Ahmadpour H, Shah AA, Allen JW, Edmiston WA, Kim SJ, Haywood LJ. Separación septal del punto E mitral: un índice confiable del rendimiento del ventrículo izquierdo en la enfermedad de la arteria coronaria. Am Corazón J. 1983 Julio;106(1):21–8. doi:10.1016/0002-8703(83)90433-7.
- Farsi D, Hajsadeghi S, Hajighanbari MJ, et al. Ecografía cardíaca focalizada (FOCUS) por residentes de medicina de emergencia en pacientes con sospecha de enfermedad cardiovascular. J Ultrasonido. 2017 Jun;20(2):133–138. doi:10.1007/s40477-017-0246-5.
- Mark DG, Ku BS, Carr BG, et al. Ecocardiografía transtorácica dirigida junto a la cama: ventana cardíaca preferida para la estimación de la fracción de eyección del ventrículo izquierdo en pacientes en estado crítico. Am J Emerg Med. 2007;25(8):894–900. doi:10.1016/j.ajem.2007.01.023.
- Potter E, Marwick TH. Evaluación de la función ventricular izquierda por ecocardiografía: el caso de la adición rutinaria de tensión longitudinal global a la fracción de eyección. Imágenes cardiovasc de JACC. 2018;11(2 Pt 1):260–274. doi:10.1016/j.jcmg.2017.11.017.
- Lang RM, Bierig M, Devereux RB, et al. Recomendaciones para la cuantificación de cámaras. Eur J Echocardiogr. 2006;7(2):79–108. doi:10.1016/j.euje.2005.12.014.
- Galderisi M, Santoro A, Versiero M, et al. Mejora de la precisión diagnóstica cardiovascular mediante un dispositivo de imágenes de bolsillo en pacientes ambulatorios no cardiológicos: el estudio NaUSiCa (estetoscopio de ultrasonido de Nápoles en cardiología). Ecografía Cardiovasc. 2010;8:51. doi:10.1186/1476-7120-8-51.
- Roy PM, Colombet I, Durieux P, Chatellier G, Sors H, Meyer G. Revisión sistemática y metanálisis de estrategias para el diagnóstico de sospecha de embolia pulmonar. BMJ. 2005;331(7511):259. doi:10.1136/bmj.331.7511.259.
- Tayal VS, Kline JA. Ecocardiografía de emergencia para detectar derrame pericárdico en pacientes en estados de PEA y casi PEA. Reanimación. 2003;59(3):315–318. doi:10.1016/s0300-9572(03)00245-4.
- McConnell MV, Solomon SD, Rayan ME, Come PC, Goldhaber SZ. Disfunción ventricular derecha regional detectada por ecocardiografía en la embolia pulmonar aguda. Revista Americana de Cardiología. 1996 Agosto;78(4):469–473. doi:10.1016/s0002-9149(96)00339-6.
- Casazza F, Bongarzoni A, Capozi A, Agostoni O. Disfunción ventricular derecha regional en embolia pulmonar aguda e infarto ventricular derecho. Eur J Echocardiogr. 2005;6(1):11–14. doi:10.1016/j.euje.2004.06.002.
- Vaid U, Singer E, Marhefka GD, Kraft WK, Baram M. Valor predictivo positivo deficiente del signo de McConnell en la ecocardiografía transtorácica para el diagnóstico de embolia pulmonar aguda. Hosp Pract. Agosto de 2013;41(3):23–7. doi:10.3810/hp.2013.08.1065.
- Adler Y, Charron P. Las directrices ESC 2015 para el diagnóstico y manejo de enfermedades pericárdicas. Revista Europea del Corazón. 2015 Noviembre;36(42)2873–2885. doi:10.1093/eurheartj/ehv479.
- Labovitz AJ, Noble VE, Bierig M, et al. Ultrasonido cardíaco enfocado en el entorno emergente: una declaración de consenso de la Sociedad Americana de Ecocardiografía y el Colegio Americano de Médicos de Emergencia. J Am Soc Echo. 2010 Dic;23(12):1225–30. doi:10.1016/j.echo.2010.10.005.
- Goodman A, Perera P, Mailhot T, Mandavia D. El papel de la ecografía de cabecera en el diagnóstico de derrame pericárdico y taponamiento cardíaco. Diario de Emergencias, Trauma y Shock. 2012;5(1):72–75. doi:10.4103/0974-2700.93118.
- Imazio M, Adler Y. Manejo del derrame pericárdico. Revista Europea del Corazón. 2013;34(16):1186–1197. doi:10.1093/eurheartj/ehs372.
- Ceriani E, Cogliati C. Actualización sobre el diagnóstico ecográfico de derrame pericárdico junto a la cama. Pasante Emerg Med. 2016;11(3).477–80 doi:10.1007/s11739-015-1372-8.
- Tang A, Euerle B. Ecografía y ecocardiografía del servicio de urgencias. Emerg Med Clin North Am. 2005;23(4):1179–94. doi:10.1016/j.emc.2005.07.015.
- Weekes AJ, Quirke DP. Ecocardiografía de emergencia. Emerg Med Clin North Am. 2011;29(4):759–87. doi:10.1016/j.emc.2011.08.002.
- Haddad F, Doyle R, Murphy DJ, Hunt SA. Función ventricular derecha en la enfermedad cardiovascular, parte II: fisiopatología, importancia clínica y manejo de la insuficiencia ventricular derecha. Circulación. 2008;117(13):1717–1731. doi:10.1161/circulationaha.107.653584.
Cite this article
Peterson A, Hafez NM. Introducción a la ecografía cardíaca a pie de cama. J Med Insight. 2022;2022(322). doi:10.24296/jomi/322.


