Einführung in Herzultraschall am Krankenbett
Main Text
Table of Contents
Der folgende Artikel soll das JOMI-Video "Einführung in den Herzultraschall am Krankenbett" begleiten. In diesem Video werden die Grundlagen des Point-of-Care-Herzultraschalls behandelt. Knobologie oder Physik werden jedoch nicht behandelt und sind eine Voraussetzung für das Material, das sowohl im Video als auch in diesem Artikel behandelt wird.
Point-of-Care-Herzultraschall ist ein wichtiges diagnostisches Werkzeug bei der Beurteilung jedes Patienten, der sich in extremis befindet. 1 Indikationen für einen Herzultraschall am Krankenbett sind Herzstillstand, ungeklärte Hypotonie, Synkope, Kurzatmigkeit, Brustschmerzen und veränderter psychischer Zustand. 2 Es gibt keine absoluten Kontraindikationen für einen eingeschränkten Herzultraschall am Krankenbett. Point-of-Care-Herzultraschall besteht hauptsächlich aus vier Ansichten, die die parasternale lange, parasternale kurze, apikale Vierkammer und die subxiphoide umfassen, aber je nach Kontext auch andere Felder wie die Lunge umfassen können.
Es ist wichtig zu beachten, dass die konventionelle Echokardiographie zwar die Phased-Array-Sonde mit dem Bildschirmindikator (visualisiert als roter Punkt auf allen Bildern, die dieses Manuskript begleiten) links vom Patienten verwendet, diese Bilder jedoch auch mit der krummlinigen Sonde und der Phased-Array-Sonde erhalten werden können, die den Bildschirmindikator nach rechts vom Patienten zeigt. Die spätere Ausrichtung ergibt einfach ein 180-Grad-Spiegelbild der konventionellen Ausrichtung (Bild 1).
Parasternale lange Bauchorientierung

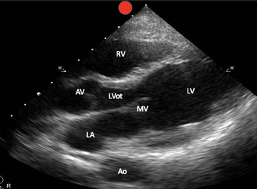
Parasternale Langherzorientierung

Die oben erwähnte konventionelle Ausrichtung wird hier sowie im begleitenden Video behandelt.
Wenn sich der Patient in Rückenlage befindet und der Sondenindikator auf die rechte Schulter des Patienten gerichtet ist, beginnen Sie mit der Sonde senkrecht zur Brustwand direkt seitlich zum Brustbein im zweiten Interkostalraum (Bild 2).
Position der PSL-Sonde

Gleiten Sie langsam einen Interkostalraum nach dem anderen nach unten, bis das PSL-Herzfenster sichtbar wird. Zu den Strukturen, die identifiziert werden können, gehören der rechte Ventrikel, der linke Ventrikel, der linke Vorhof, die Mitralklappe, die Aortenklappe, der Aortenausflusstrakt sowie die absteigende thorakale Aorta (Bild 3).
PSL-markierte Strukturen

Wie bei allen kardialen Ansichten kann es hilfreich sein, ein Handtuch unter die rechte Schulter des Patienten zu legen, um ihn in eine linkere laterale Dekubitusposition zu bringen. Dadurch wird das Herz mehr nach vorne zur Brustwand gebracht und die linke Lunge des Patienten kann durch die Schwerkraft aus dem Blickfeld geraten. Die Tiefe sollte so eingestellt werden, dass der gesamte Umriss der absteigenden thorakalen Aorta vollständig visualisiert werden kann.
Die parasternale Langzeitansicht ermöglicht es dem Benutzer, einen Perikarderguss sowie die grobe linksventrikuläre Funktion schnell zu identifizieren und zu beurteilen. Während der Systole enthält die normale Struktur des fibrösen und serösen Perikards etwa 15-35 ml Flüssigkeit (Flüssigkeitslappen genannt) zwischen den Blättern in der unteren Herzregion. 3 Die Auswertung von Perikardergüssen erfolgt durch eine semiquantitative Messung des maximalen reflexionsarmen Raumes zwischen den serösen und fibrösen Perikardblättern während der Diastole. 3 Diese Ergüsse können in 3 Kategorien unterteilt werden: 1. Kleine <10mm 2. Mittel 10-20mm 3. Breite >20mm.3 Studien haben gezeigt, dass Notärzte einen Perikarderguss mittels Herzultraschall am Krankenbett mit einer Sensitivität von 96-100% und einer Spezifität von 98-100% nachweisen können. 2,4 Es ist wichtig, zwischen Perikardergüssen, die anterior und medial zur absteigenden Aorta verlaufen, und Pleuraergüssen, die posterior und lateral zur absteigenden Aorta verlaufen, zu unterscheiden. Perikarderergüsse können eine perikardiale Tamponadephysiologie verursachen, insbesondere wenn die Entwicklung des Ergusses akut ist. Tamponade wird am leichtesten im Ultraschall am Krankenbett nachgewiesen, indem der rechtsventrikuläre Kollaps während der Diastole beurteilt wird (Bild 4). 3
PSL mit Herztamponade

Der rechte Vorhofkollaps hat jedoch den besten PPV, wenn er in allen Phasen des Herzzyklus beobachtet wird. 3 Dieser diastolische Kollaps des rechten Herzens ist am ausgeprägtesten aufgrund des geringeren Drucks des rechten Herzens. 3 Darüber hinaus kann Tamponade beurteilt werden, indem die Linksverschiebung des interventrikulären Septums und die Fülle der IVC beurteilt werden. 3 Während die qualitative Beurteilung der Ejektionsfraktion den Rahmen dieses Videos sprengt, ist Point-of-Care-Herzultraschall bei einer qualitativen Beurteilung der globalen Funktion des linken Ventrikels nützlich. Die systolische Funktion wird auf der Grundlage einer groben Beurteilung der Volumenänderungen des linken Ventrikels sowie der vorderen Mitralklappenauslenkung bewertet. 5 Ein weiterer objektiver Weg zur Beurteilung der linksventrikulären Funktion ist die Verwendung von EPSS oder Endpunktseptumtrennung. Hier wird der M-Modus verwendet, um ein Standbild zu erhalten, um den Abstand zwischen dem vorderen Mitralklappenblatt und dem Septum zu berechnen. Je weiter der Abstand vom Septum ist, desto weniger bewegt sich die Mitralklappe und desto mehr wird daher die Auswurffraktion reduziert. Ein Abstand von mehr als 1 cm entspricht einer reduzierten Auswurffraktion. EPSS hat eine Spezifität von 85% und eine Sensitivität von 82% (Bild 5). 6
PSL EPSS

Während die Forschung zur Bewertung der Genauigkeit von Notfallmedizinern bei der Messung der linksventrikulären Ejektionsfraktion mit Herzultraschall am Krankenbett in der ED-Einstellung minimal ist, zeigte eine Studie aus dem Jahr 2017, dass EM-Bewohner LVEF in der Notaufnahme in 91% der Fälle korrekt gemessen haben im Vergleich zu Messungen eines Kardiologen (der Goldstandard). 7 Darüber hinaus wurde in einer Studie von Mark et al. aus dem Jahr 2007 die Fähigkeit eines Klinikers, LVEF innerhalb der 3 großen Kategorien [Normal], [mäßig verringert] und [stark vermindert] zu bestimmen, wiederholt nachgewiesen, und zwar in einer Weise, dass ihre groben visuellen Schätzungen genauso genau sind wie die mit Computertechniken erhaltenen. 8 Im Großen und Ganzen kann die LV-Ejektionsfraktion weiter abgegrenzt werden in normale LVEF >53%, grenzwertige LVEF 45-53%, nicht schwere LVEF 35-45%, schwere LVEF <35%. 9 In der parasternalen Längsachsenansicht kann man auch die LV-Dilatation beurteilen. 10 LV-Dilatation ist definiert als entweder ein diastolisches LV-Endvolumen von ≥ 76 ml/m2 oder einen Durchmesser > 55 mm, wenn sie orthogonal zur LV-Wand und unterhalb der Mitralklappenebene gemessen wird. 3,11
Ausgehend von der Positionierung der parasternalen Langzeitansicht, wobei Ihre Hand an der Brustwand des Patienten verankert ist, drehen Sie die Sonde um 90 Grad, wobei der Indikator nun auf die linke Schulter des Patienten zeigt (Bild 6).
Position der PSS-Sonde

Diese Ansicht ermöglicht die Beurteilung der Funktion des linken Ventrikels, der Symmetrie von Squeeze und der Septumbogenbildung. Der linke Ventrikel ist in dieser Ansicht zu erkennen und erscheint als Kreis unten rechts auf dem Bildschirm. Der rechte Ventrikel erscheint halbmondförmig und befindet sich im oberen rechten Teil des Bildschirms (Bild 7).
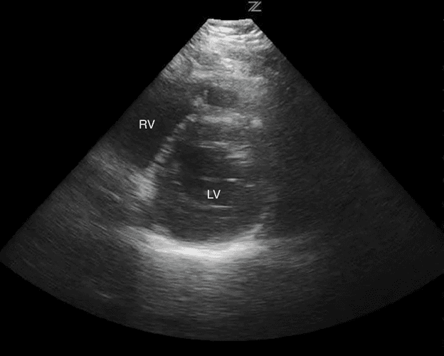
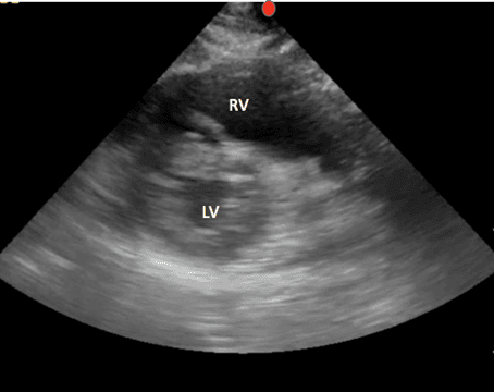
PSS-gekennzeichnete Strukturen

Wenn Sie die Sonde zu apikal auffächern und die Herzspitze und nicht die Papillarmuskeln betrachten (Bild 8), erhalten Sie eine falsche Einschätzung der linksventrikulären Funktion.
Schienenbild PSS an Papillarmuskulatur und Apex
* Papillärer Muskel view
Apikale PSS-Ansicht

Wie beim parasternalen Long kann die parasternale Kurzansicht verwendet werden, um die globale systolische Funktion zu bewerten und Perikardergüsse zu beurteilen. Diese Ansicht ist besonders nützlich, um erhöhte Rechtsventrikeldrücke zu identifizieren, die sich als interventrikuläre Septumabflachung oder Septumbogen manifestieren (Bild 9).
Septal Flattening, auch bekannt als "D" -Zeichen

Studien zeigen, dass Notfallmediziner RV-Drucküberlastung, Wandbewegungsanomalien und Perikardergüsse mit 100% Genauigkeit im Vergleich zum Goldstandard erkennen können. 7 Leider hat die RV-Überlastung in der Echokardiographie eine geringe Spezifität und daher eine schlechte diagnostische Genauigkeit für die Diagnose von PE, in der Tat haben Patienten mit normaler Herzfunktion, die eine Lungenembolie haben, gezeigt, dass sie kein RV-Versagen haben. 3,12 Bei Patienten, die hämodynamisch instabil sind, kann der Ausschluss einer Lungenembolie jedoch durch das Fehlen von Anzeichen eines rechtsventrikulären Versagens abgeleitet werden. 3, 13
Für diese Ansicht platzieren Sie den Indikator auf der linken Seite des Patienten und setzen Sie die Sonde auf den Punkt des maximalen Impulses des Patienten. Bei Männern ist dies oft minderwertig und seitlich zur Brustwarze; Bei Frauen ist es oft an der Unterbrustfalte. Winkeln Sie den Sondenkopf zur Basis des Herzens (Bild 10).
Position der apikalen 4-Kammer-Sonde

Diese Ansicht ermöglicht die Visualisierung des linken Vorhofs, der Mitralklappe, des linken Ventrikels, des rechten Vorhofs, der Trikuspidalklappe und des rechten Ventrikels Bild 11).
Apikale Vierkammer-beschriftete Strukturen

Diese Ansicht ist die schwierigste Sichtweise und die Patientenpositionierung ist entscheidend. Der linke laterale Dekubitus ist die beste Position, um diese Ansicht zu optimieren Zusätzlich zu einigen der Pathologien, die in früheren Ansichten diskutiert wurden, ermöglicht die apikale Vierkammeransicht den Vergleich der rechten und linken Ventrikelgrößen. Ein normales Verhältnis von rechts zu links beträgt 0,6:1. Diese Ansicht ist besonders nützlich für die Beurteilung der rechtsventrikulären Hypertrophie, des erhöhten rechtsventrikulären Drucks und des McConnell-Zeichens. McConnells Zeichen beschreibt einen deutlichen echokardiographischen Befund einer rechtsventrikulären Dysfunktion mit Akinese der mittleren freien Wand des rechten Ventrikels in Kombination mit normaler apikaler Bewegung. Die ursprüngliche Studie von McConnel et al. legt nahe, dass dieser Befund eine Sensitivität von 77% und eine Spezifität von 94% für die Diagnose von PE hat. 14 Neuere Studien zeigten jedoch, dass McConnells Zeichen in anderen Beispielen kardiopulmonaler Pathologie beobachtet wurde, einschließlich Rechtsventrikelinfarkt, ARDS und pulmonaler Hypertonie, und hat daher eine viel geringere Spezifität (30%) für PE. 15 Studien haben gezeigt, dass McConnells Zeichen einen positiven Vorhersagewert zwischen 40-57% bei Verdacht auf Lungenembolie hat. 16 Insgesamt sollte dieser Ultraschallbefund allein nicht zur Diagnose von PE verwendet werden.
Für diese Ansicht kann entweder die Phased-Array-Sonde oder die krummlinige Sonde verwendet werden. Für das Subxiphoid in der formalen echokardiographischen Ausrichtung zeigt der Sondenindikator auf die linke Seite des Patienten. Beginnen Sie damit, den Subxiphoid-Prozess zu finden. Platzieren Sie die Porbe inferior und rechts vom Xiphoid-Prozess des Patienten. Üben Sie Druck nach unten aus, während Sie den Kopfschmerz anwinkeln und in Richtung der linken Schulter des Patienten (Bild 12).
Position der Subxiphoid-Sonde

Verwenden Sie die Leber als akustisches Fenster, um das Bild zu verbessern. Der obere Teil des Bildschirms zeigt die Leber des Patienten. Unmittelbar unterlegen zur Leber wird der rechte Ventrikel des Patienten sein und darunter kann man den linken Ventrikel identifizieren. Je nach Blickwinkel kann man in dieser Ansicht auch das rechte und linke Atrium visualisieren (Bild 13).
Subxiphoid markierte Strukturen

Das Abrufen der subxiphoiden Ansicht kann aus zahlreichen Gründen schwierig sein. Dazu gehören der Körperhabitus des Patienten, Darmgas, freie Luft im Thorakoabdominalbereich oder die Unfähigkeit des Patienten, die Untersuchung infolge von Schmerzen zu tolerieren.
Die subxiphoide Ansicht ist die beste Ansicht, um das Vorhandensein oder Fehlen eines Perikardergusses zu beurteilen. 2,17,18 Flüssigkeit aus einem Perikarderguss sammelt sich zunächst in den abhängigsten Teilen des Perikards, nämlich den unteren und hinteren Aspekten, normalerweise um den rechten Vorhof. 19,20 Volumina von nur 15-35cc Flüssigkeit im Perikard können mit Herzultraschall am Krankenbett detektiert werden. 21 Wenn ein Perikarderguss vorhanden ist, sehen Sie auf einer subxiphoiden Ansicht Flüssigkeit zwischen dem Leberlappen und dem rechten Ventrikel am oberen Bildschirmrand (Bild 14).
Subxiphoid mit Perikarderguss
wo Perikarderguss vorhanden ist

Da es keine pleurale Reflexion zwischen Leber und Herz gibt, ist die subxiphoide Ansicht besonders nützlich, um zwischen einem Perikard- und einem Pleuraerguss zu unterscheiden, kann aber auch in der parasternalen Langzeitansicht visualisiert werden (Bild 15). 22,23
PSL mit Pleuraerguss
wo Pleuraerguss vorhanden ist

Mehrere Studien berichten über Empfindlichkeiten und Spezifitäten von bis zu 96-100% für die Identifizierung eines Perikardergusses mit Herzultraschall. 4, 13, 18, 24
References
- Goett HJ, Tews M. Einführung in den Ultraschall am Krankenbett. Referendariat in der Notfallmedizin; Gesellschaft für Akademische Notfallmedizin (SAEM). Copyright 2021.
- American College of Emergency Physicians. (2016). Grundsatzerklärung. Ultraschall-Richtlinien: Notfall-, Point-of-Care- und klinische Ultraschallrichtlinien in der Medizin. Ann Emerg Med. 2017;69(5):e27–e54. doi:10.1016/j.annemergmed.2016.08.457.
- Zanza C, Longhitano Y, Artico M, et al. Herzpokus am Krankenbett in Notfallsituation: eine Praxisüberprüfung. Rev Recent Clin Trials. 2020;15(4):269–277. doi:10.2174/1574887115666200802023306.
- Mandavia DP, Hoffner RJ, Mahaney K, Henderson SO. Echokardiographie am Krankenbett durch Notärzte. Ann Emerg Med. 2001 Oct;38(4):377–82. doi:10.1067/mem.2001.118224.
- Mitchell C, Rahko PS, Blauwet LA, et al. Richtlinien für die Durchführung einer umfassenden transthorakalen echokardiographischen Untersuchung bei Erwachsenen: Empfehlungen der American Society of Echocardiography. J Am Soc Echocardiogr. 2019;32(1):1–64. doi:10.1016/j.echo.2018.06.004.
- Ahmadpour H, Shah AA, Allen JW, Edmiston WA, Kim SJ, Haywood LJ. Mitrale E-Punkt-Septumtrennung: ein zuverlässiger Index der linksventrikulären Leistung bei koronarer Herzkrankheit. Bin Herz J. 1983 Jul;106(1):21–8. doi:10.1016/0002-8703(83)90433-7.
- Farsi D, Hajsadeghi S, Hajighanbari MJ, et al. Fokussierter Herzultraschall (FOCUS) von Notfallmedizinern bei Patienten mit Verdacht auf Herz-Kreislauf-Erkrankungen. J Ultraschall. 2017 Jun;20(2):133–138. doi:10.1007/s40477-017-0246-5.
- Mark DG, Ku BS, Carr BG, et al. Gerichtete transthorakale Echokardiographie am Krankenbett: bevorzugtes Herzfenster für die Schätzung der linksventrikulären Ejektionsfraktion bei kritisch kranken Patienten. Am J Emerg Med. 2007;25(8):894–900. doi:10.1016/j.ajem.2007.01.023.
- Potter E, Marwick TH. Beurteilung der linksventrikulären Funktion durch Echokardiographie: Argumente für die routinemäßige Addition der globalen Längsbelastung zur Ejektionsfraktion. JACC Cardiovasc Bildgebung. 2018;11(2 Pt 1):260–274. doi:10.1016/j.jcmg.2017.11.017.
- Lang RM, Bierig M, Devereux RB, et al. Empfehlungen zur Kammerquantifizierung. Eur J Echokardiogr. 2006;7(2):79–108. doi:10.1016/j.euje.2005.12.014.
- Galderisi M, Santoro A, Versiero M, et al. Verbesserte kardiovaskuläre Diagnosegenauigkeit durch Bildgebungsgeräte im Taschenformat bei nicht-kardiologischen ambulanten Patienten: die NaUSiCa-Studie (Naples ultrasound stethoscope in cardiology). Cardiovasc Ultraschall. 2010;8:51. doi:10.1186/1476-7120-8-51.
- Roy PM, Colombet I, Durieux P, Chatellier G, Sors H, Meyer G. Systematische Überprüfung und Metaanalyse von Strategien zur Diagnose von Verdacht auf Lungenembolie. BMJ. 2005;331(7511):259. doi:10.1136/bmj.331.7511.259.
- Tayal VS, Kline JA. Notfall-Echokardiographie zum Nachweis eines Perikardergusses bei Patienten in PEA- und PEA-nahen Zuständen. Reanimation. 2003;59(3):315–318. doi:10.1016/s0300-9572(03)00245-4.
- McConnell MV, Solomon SD, Rayan ME, Come PC, Goldhaber SZ. Regionale rechtsventrikuläre Dysfunktion, die durch Echokardiographie bei akuter Lungenembolie nachgewiesen wurde. Amerikanische Zeitschrift für Kardiologie. 1996 Aug;78(4):469–473. doi:10.1016/s0002-9149(96)00339-6.
- Casazza F, Bongarzoni A, Capozi A, Agostoni O. Regionale rechtsventrikuläre Dysfunktion bei akuter Lungenembolie und rechtem Ventrikelinfarkt. Eur J Echokardiogr. 2005;6(1):11–14. doi:10.1016/j.euje.2004.06.002.
- Vaid U, Singer E, Marhefka GD, Kraft WK, Baram M. Schlechter positiver prädiktiver Wert des McConnell-Zeichens auf der transthorakalen Echokardiographie zur Diagnose einer akuten Lungenembolie. Hosp Pract. 2013 Aug;41(3):23–7. doi:10.3810/hp.2013.08.1065.
- Adler Y, Charron P. Die ESC-Leitlinien 2015 für die Diagnose und Behandlung von Herzmuskelerkrankungen. European Heart Journal. 2015 Nov;36(42)2873–2885. doi:10.1093/eurheartj/ehv479.
- Labovitz AJ, Noble VE, Bierig M, et al. Fokussierter Herzultraschall in der emergenten Umgebung: eine Konsenserklärung der American Society of Echocardiography und des American College of Emergency Physicians. J Am Soc Echo. 2010 Dec;23(12):1225–30. doi:10.1016/j.echo.2010.10.005.
- Goodman A, Perera P, Mailhot T, Mandavia D. Die Rolle von Ultraschall am Krankenbett bei der Diagnose von Perikarderguss und Herztamponade. Zeitschrift für Notfälle, Trauma und Schock. 2012;5(1):72–75. doi:10.4103/0974-2700.93118.
- Imazio M, Adler Y. Management von Perikarderguss. European Heart Journal. 2013;34(16):1186–1197. doi:10.1093/eurheartj/ehs372.
- Ceriani E, Cogliati C. Update zur Ultraschalldiagnostik des Perikardergusses am Krankenbett. Praktikantin Emerg Med. 2016;11(3).477–80 doi:10.1007/s11739-015-1372-8.
- Tang A, Euerle B. Ultraschall und Echokardiographie der Notaufnahme. Emerg Med Clin Nord Am. 2005;23(4):1179–94. doi:10.1016/j.emc.2005.07.015.
- Weekes AJ, Quirke DP. Notfall-Echokardiographie. Emerg Med Clin Nord Am. 2011;29(4):759–87. doi:10.1016/j.emc.2011.08.002.
- Haddad F, Doyle R, Murphy DJ, Hunt SA. Rechtsventrikuläre Funktion bei kardiovaskulären Erkrankungen, Teil II: Pathophysiologie, klinische Bedeutung und Management von rechtsventrikulärem Versagen. Kreislauf. 2008;117(13):1717–1731. doi:10.1161/circulationaha.107.653584.
Cite this article
Peterson A, Hafez NM. Einführung in den Herzultraschall am Krankenbett. J Med Einblick. 2022;2022(322). doi:10.24296/jomi/322.


