वेंट्रल हर्निया के लिए रोबोटिक-असिस्टेड ट्रांसएब्डोमिनल प्रीपेरिटोनियल (rTAPP) मरम्मत
Main Text
Table of Contents
यह मामला एक 58 वर्षीय व्यक्ति का वर्णन करता है, जिसने एक आघात लैपरोटॉमी के बाद एक रोगसूचक चीरा वेंट्रल हर्निया विकसित किया और मोटर वाहन की टक्कर के बाद नेफरेक्टोमी छोड़ दी। रोगी ने उभड़ा हुआ और असुविधा से जुड़े कई मिडलाइन हर्निया दोषों के साथ प्रस्तुत किया। यह वीडियो जाल के साथ एक रोबोटिक ट्रांसएब्डॉमिनल प्रीपेरिटोनियल (rTAPP) मरम्मत को प्रदर्शित करता है। यह मामला इंट्रा-पेट के आसंजनों और एक पूर्व गैस्ट्रोस्टोमी साइट के प्रबंधन के लिए व्यावहारिक रणनीतियों पर प्रकाश डालता है, जबकि उन मामलों के लिए वैकल्पिक ऑपरेटिव दृष्टिकोणों की रूपरेखा तैयार करता है जिनमें प्रीपेरिटोनियल फ्लैप विकास तकनीकी रूप से चुनौतीपूर्ण है।
चीरा हर्निया; उदर हर्निया; ट्रांसवर्सस एब्डोमिनिस प्लेन ब्लॉक; रोबोटिक।
आरा हर्निया 20% रोगियों में होने वाली लैपरोटॉमी की एक आम जटिलता है। 1 चीरा हर्निया पेट दर्द और कैद के जोखिम का कारण बन सकता है, पेट के कोर स्वास्थ्य को प्रभावित कर सकता है और जीवन की गुणवत्ता को खराब कर सकता है। 2 एक आरा हर्निया के विकास की उच्च घटनाओं के साथ जुड़े रोगी जोखिम कारकों मधुमेह मेलेटस, मोटापा, धूम्रपान, क्रोनिक ऑब्सट्रक्टिव पल्मोनरी डिजीज, कुपोषण, इम्यूनोसप्रेशन, या स्टेरॉयड का उपयोग शामिल है। लैपरोटॉमी बंद होने के समय तकनीकी कारक भी बंद करने की विधि, पुन: संचालन और सर्जिकल साइट संक्रमण सहित एक चीरा हर्निया के विकास के जोखिम को प्रभावित कर सकते हैं। चीरा हर्निया की दीर्घकालिक जटिलताओं में जाल संक्रमण, फिस्टुला, पुराना दर्द और हर्निया पुनरावृत्ति शामिल हैं। इस फिल्म में, हम मरम्मत को सुदृढ़ करने के लिए कृत्रिम जाल का उपयोग करके एक rTAPP दृष्टिकोण का उपयोग करके लैपरोटॉमी चीरा के बाद एक चीरा हर्निया की मरम्मत का प्रदर्शन करते हैं।
यह एक 58 वर्षीय व्यक्ति है, जिसने दस साल पहले एक मोटर वाहन टक्कर में पेट के कुंद आघात के लिए बाएं नेफरेक्टोमी के साथ एक खोजपूर्ण लैपरोटॉमी की थी। वह कई साल पहले तक स्पर्शोन्मुख बना रहा, जब उसने उत्तरोत्तर बढ़ते पेट के उभार को देखा। यह हल्के लेकिन लगातार पेट की परेशानी से जुड़ा था, जिसे गुणवत्ता में सुस्त और कुछ पदों और आंदोलनों से बढ़ा दिया गया था। उन्होंने मतली या उल्टी जैसे अवरोधक लक्षणों से इनकार किया।
उनका बॉडी मास इंडेक्स 31 किग्रा/मीटर2 था, और उन्हें स्टेज 3 क्रोनिक किडनी रोग और उच्च रक्तचाप के कारण अमेरिकन सोसाइटी ऑफ एनेस्थिसियोलॉजिस्ट (एएसए) शारीरिक स्थिति III के रूप में वर्गीकृत किया गया था। वह एक गैर-धूम्रपान करने वाला है और उसका मधुमेह मेलेटस (हीमोग्लोबिन ए 1 सी < 8%) का कोई इतिहास नहीं है। नियमित प्रीऑपरेटिव प्रयोगशाला अध्ययन और पेट और श्रोणि का एक गैर-विपरीत सीटी स्कैन प्रीऑपरेटिव मूल्यांकन के हिस्से के रूप में प्राप्त किया गया था।
जांच करने पर, एक अच्छी तरह से ठीक मिडलाइन निशान का सबूत था। मध्य रेखा के निशान के साथ दो फेशियल दोष थे जिन्हें गहरे तालमेल पर सराहा जा सकता था, जो रेडियोलॉजिकल निष्कर्षों के अनुरूप थे।
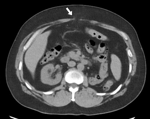
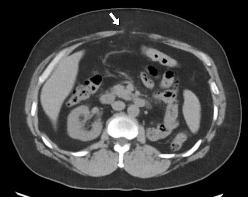
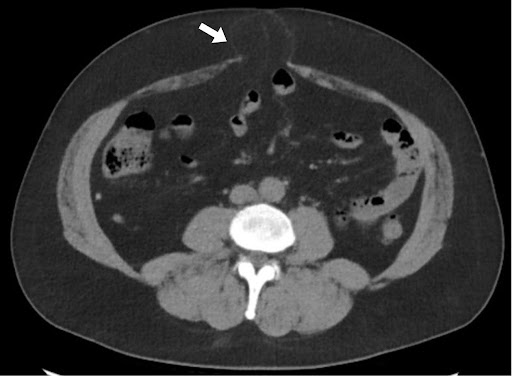
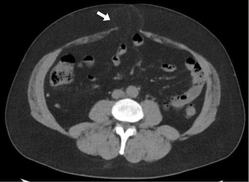
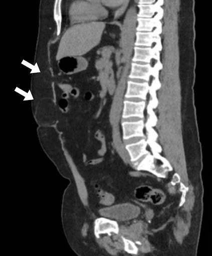
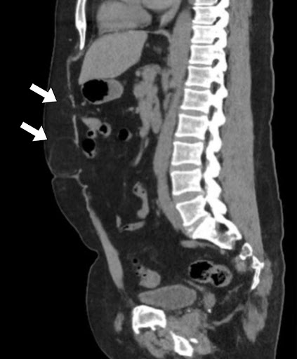
पेट और श्रोणि के गैर-विपरीत बढ़ाया सीटी ने अक्षीय इमेजिंग पर दो वसा युक्त मिडलाइन हर्निया दोषों का प्रदर्शन किया। यूरोपीय हर्निया सोसाइटी (ईएचएस) वर्गीकरण के अनुसार, ये एक एम 2 हर्निया के अनुरूप हैं जो चौड़ाई में 16 मिमी और क्रानियोकौडल लंबाई में 8 मिमी मापते हैं, और एक एम 3 हर्निया की चौड़ाई 37 मिमी और लंबाई में 30 मिमी है। धनु पुनर्निर्माण ने अतिरिक्त फेशियल दोषों के साथ-साथ पूर्व मिडलाइन चीरा के साथ क्षीण प्रावरणी के क्षेत्रों का खुलासा किया, जो सबक्लिनिकल हर्निया के अनुरूप था।
चित्रा 1 अक्षीय छवियों पर वसा युक्त एम 2 और एम 3 हर्निया को दिखाता है। धनु विचार पैथोलॉजी का अधिक व्यापक चित्रण प्रदान करते हैं, M1-M3 क्षेत्रों में फैले क्षीण प्रावरणी का प्रदर्शन करते हैं, अतिरिक्त इंटरपेरिटल हर्निया दोषों (धराशायी तीर) का विचारोत्तेजक फेशियल उतार-चढ़ाव, और M2 ज़ोन (तीर) से बेहतर एक छोटा हर्निया दोष जो अक्षीय इमेजिंग पर स्पष्ट नहीं था।



चित्रा 1. अक्षीय और धनु विचारों के साथ सीटी पेट और श्रोणि। सीटी इमेजिंग मिडलाइन वसा युक्त हर्निया दोषों का प्रदर्शन करती है।
आरा हर्निया अनायास हल नहीं होता है और निश्चित उपचार के लिए सर्जरी की आवश्यकता होती है। समय के साथ, ये हर्निया बड़े हो जाते हैं और प्रगतिशील लक्षणों से जुड़े हो सकते हैं। यदि अनुपचारित छोड़ दिया जाता है, तो चीरा हर्निया में कैद का खतरा बढ़ जाता है। वसा के कैद से स्थानीयकृत दर्द और एरिथेमा हो सकता है, लेकिन यह जीवन के लिए खतरा नहीं है और इसे अर्ध-जरूरी सेटिंग में प्रबंधित किया जा सकता है। इसके विपरीत, आंत्र से जुड़े कारावास के लिए तत्काल मूल्यांकन और कमी की आवश्यकता होती है। यदि आंत्र युक्त हर्निया को बेडसाइड पर कम नहीं किया जा सकता है, तो आकस्मिक ऑपरेटिव हस्तक्षेप की आवश्यकता होती है।
जब जेल में बंद आंत्र व्यवहार्य होता है, तो हर्निया की मरम्मत आगे बढ़ सकती है, इस सेटिंग में जाल-आधारित मरम्मत की सुरक्षा का समर्थन करने वाले सबूतों के साथ। हालांकि, अगर आंत्र समझौता या इस्किमिया को लकीर की आवश्यकता होती है, तो कई सर्जन विलंबित पुनर्निर्माण के साथ प्राथमिक फेशियल मरम्मत का पक्ष लेते हैं। हालांकि, उभरते सबूत बताते हैं कि मेष-आधारित मरम्मत अभी भी चयनित स्वच्छ-दूषित में सुरक्षित रूप से की जा सकती है। 3
इस आकार के चीरा वेंट्रल हर्निया की मरम्मत के लिए कई सर्जिकल विकल्प उपलब्ध हैं और चयन गोद लेने में आसानी, सुरक्षा और सामर्थ्य सहित कारकों के संयोजन पर आधारित है। प्रारंभिक विचारों में ऑपरेटिव दृष्टिकोण शामिल है: खुला, लेप्रोस्कोपिक, या रोबोट। एक न्यूनतम इनवेसिव दृष्टिकोण को अक्सर पसंद किया जाता है, क्योंकि यह कम पोस्टऑपरेटिव दर्द, कम घाव की जटिलताओं और अस्पताल में रहने की कम अवधि से जुड़ा होता है। सर्जनों को जाल प्लेसमेंट के विमान पर भी विचार करना चाहिए, जिसमें इंट्रा-पेट, प्रीपेरिटोनियल या रेट्रोमस्कुलर स्थिति शामिल है। हालांकि हर्निया सर्जनों के बीच बहस जारी है, जिसमें उपलब्ध सबूत हैं जो इंट्राएब्डॉमिनल और एक्स्ट्रापेरिटोनियल मेष प्लेसमेंट के बीच तुलनीय परिणामों का सुझाव देते हैं, कई सर्जन जाल में आंत्र आसंजन के जोखिम को कम करने के लिए एक्स्ट्रापेरिटोनियल पोजिशनिंग का पक्ष लेते हैं। 4
इस मामले में, हर्निया की मरम्मत प्रीपेरिटोनियल स्पेस में जाल की नियुक्ति के साथ एक रोबोटिक दृष्टिकोण का उपयोग करके की गई थी, और इस प्रकार उदर गुहा के बाहर। यह एक पेरिटोनियल फ्लैप बनाकर हासिल किया गया था, जिसने प्रत्यक्ष दृश्य और फेशियल दोष को प्राथमिक रूप से बंद करने की अनुमति दी, इसके बाद पेरिटोनियम और पोस्टीरियर रेक्टस म्यान के बीच जाल की नियुक्ति की गई। यह उपचार दृष्टिकोण रोगियों को न्यूनतम इनवेसिव सर्जरी के लाभों के साथ प्रदान करता है, जिसमें दर्द में कमी और रहने की कम अवधि शामिल है, साथ ही साथ इंट्रा-एब्डोमिनल मेश प्लेसमेंट से जुड़े जोखिमों को कम करता है।
rTAPP दृष्टिकोण आमतौर पर अपेक्षाकृत छोटे हर्निया दोष (< 5-7 सेमी) वाले रोगियों के लिए निकटता में पसंद किया जाता है। इस दृष्टिकोण के मतभेदों में एक शत्रुतापूर्ण पेट, कार्बन डाइऑक्साइड न्यूमोपेरिटोनियम को सहन करने में असमर्थता, साथ ही व्यापक नरम ऊतक लकीर की आवश्यकता शामिल है जिसे एक खुले दृष्टिकोण के साथ बेहतर तरीके से संबोधित किया जाएगा।
संक्षेप में, यह मामला मध्यम आकार के चीरा वेंट्रल हर्निया की मरम्मत के लिए एक आरटीएपीपी दृष्टिकोण के उपयोग को प्रदर्शित करता है। सावधानीपूर्वक ऑपरेटिव योजना और प्रीऑपरेटिव ऑप्टिमाइज़ेशन पर विचार किया गया, जिसमें रोगी से संबंधित और तकनीकी दोनों विचारों को शामिल किया गया। रोगी के दृष्टिकोण से, प्रीऑपरेटिव मानदंडों में एचबीए1सी < 8%, धूम्रपान न करने की स्थिति और बीएमआई < 40 किग्रा/एम2 शामिल थे।
एक ऑपरेटिव दृष्टिकोण से, पोर्ट प्लेसमेंट पर विशेष ध्यान दिया गया था। प्रारंभिक ट्रोकार प्लेसमेंट पामर के बिंदु पर एक ऑप्टिकल ट्रोकार प्रविष्टि का उपयोग करके किया गया था, हालांकि कुछ अध्ययनों ने वेरेस सुई प्रविष्टि की बढ़ी हुई सुरक्षा पर प्रकाश डाला है, जिससे यह सर्जन अनुभव के आधार पर एक व्यवहार्य विकल्प बन गया है। ट्रोकार प्लेसमेंट हर्निया दोष के स्थान और किसी भी पूर्व पेट के ऑपरेशन दोनों द्वारा निर्देशित होता है। एक सामान्य सिद्धांत के रूप में, हम रोगी के शरीर के साथ अत्यधिक पार्श्वीकरण और उपकरण टकराव से बचने के दौरान पेरिटोनियल फ्लैप विकास के लिए पर्याप्त कार्य दूरी सुनिश्चित करने के लिए हर्निया दोष से लगभग 15 सेमी ट्रोकार की स्थिति रखते हैं। इस मामले में, हमने पामर के बिंदु पर एक मानक ऑप्टिकल प्रविष्टि के साथ शुरुआत की, लेकिन मुख्य रूप से बाएं पेट पर स्थित आसंजनों से बचने के लिए रोगी के दाईं ओर विशिष्ट बाएं तरफा डॉकिंग से संक्रमण करना पड़ा। टक्कर को रोकने के लिए ट्रोकार्स को रोगी के दाहिने हेमीपेट के साथ 6 सेमी की दूरी पर रखा गया था। अतिरिक्त रणनीतियों में पेट की दीवार के संपर्क में सुधार करने के लिए ऑपरेटिंग टेबल को फ्लेक्स करना और रोगी के बाईं ओर बिस्तर को झुकाना, हर्निया को ऑपरेटिव क्षेत्र से दूर विस्थापित करने के लिए गुरुत्वाकर्षण का उपयोग करना शामिल था।
ऑपरेशन के दौरान, प्रीऑपरेटिव इमेजिंग के आधार पर पूर्व गैस्ट्रोस्टोमी ट्यूब साइट को मिडलाइन हर्निया दोष के लिए 7.2 सेमी पार्श्व की पहचान की गई थी और पेट की दीवार का घनी पालन किया गया था। पथ को क्लिप के साथ जोड़ा गया था और छलकाव या संदूषण के बिना नियंत्रित फैशन में विभाजित किया गया था। इस कदम ने प्रीपेरिटोनियल स्पेस के पर्याप्त विकास और हर्निया दोष से 3-5 सेमी के पर्याप्त जाल ओवरलैप की अनुमति दी। परिणामस्वरूप, मामले को स्वच्छ-दूषित (सीडीसी कक्षा II) के रूप में वर्गीकृत किया गया था। ऐतिहासिक रूप से, स्वच्छ-दूषित (सीडीसी क्लास II) और दूषित (सीडीसी क्लास III) क्षेत्रों में जाल प्लेसमेंट विवादास्पद रहा है, कई सर्जन इन सेटिंग्स में जैविक जाल का पक्ष लेते हैं। हालांकि, 2022 में प्रकाशित एक ऐतिहासिक अध्ययन से पता चला है कि स्थायी सिंथेटिक जाल न केवल स्वच्छ-दूषित और दूषित वेंट्रल हर्निया की मरम्मत में सुरक्षित है, बल्कि जैविक जाल की तुलना में कम हर्निया पुनरावृत्ति दर और काफी कम लागत से भी जुड़ा हुआ है। 3
इस मामले के सबसे तकनीकी रूप से चुनौतीपूर्ण पहलुओं में से एक पेरिटोनियल फ्लैप अखंडता का संरक्षण था। फ्लैप विकास का एक सहायक सिद्धांत प्रीपेरिटोनियल वसा विमानों से ऊपर रहना है, जो आमतौर पर पेट की दीवार के साथ एक विशिष्ट "फैटी त्रिशूल" वितरण का पालन करता है। हालांकि, कई बारीकी से दूरी वाले हर्निया दोषों, पूर्व इंट्रा-पेट के आसंजनों और क्षीण पेरिटोनियम के क्षेत्रों की उपस्थिति के कारण, विच्छेदन के दौरान फ्लैप में कई अनजाने दोषों का सामना करना पड़ा। पेरिटोनियल फ्लैप बंद करने की सुविधा के लिए कई तकनीकों का उपयोग किया जा सकता है, जिसमें 5-8 mmHg तक अपर्याप्तता दबाव को छोड़ना और साथ ही पतले पेरिटोनियम को बेहतर ढंग से अनुमानित करने के लिए डॉल्फिन सिलाई का उपयोग करना शामिल है। हालांकि पेरिटोनियल फ्लैप को सफलतापूर्वक बंद कर दिया गया था, यह मामला सर्जरी के समय तक इंट्रा-पेट आसंजनों की अप्रत्याशित डिग्री के साथ कई बारीकी से दूरी वाले दोषों के साथ छोटे से मध्यम आकार के वेंट्रल हर्निया के लिए इष्टतम ऑपरेटिव दृष्टिकोण का चयन करने की अंतर्निहित चुनौती पर प्रकाश डालता है।
जैसा कि वीडियो में वर्णित है, एक वैकल्पिक ऑपरेटिव रणनीति एक लेप्रोस्कोपिक या रोबोटिक इंट्रापेरिटोनियल अंडरले मेश प्लस (आईपीयूएम +) होगी, जिससे प्रीपेरिटोनियल फ्लैप विकास की आवश्यकता से बचा जा सकता है। IPUM+ करने के लिए, हर्निया दोष को पहले धीरे-धीरे पुनर्जीवन योग्य या स्थायी टांके का उपयोग करके प्रावरणी को फिर से अनुमानित करके बंद कर दिया जाता है। दोष बंद करना एक महत्वपूर्ण कदम है जिसे सेरोमा, सर्जिकल साइट की जटिलताओं के साथ-साथ हर्निया की पुनरावृत्ति की दरों को कम करने के लिए दिखाया गया है। 5 इसके बाद 3-5 सेमी के पर्याप्त परिधीय ओवरलैप के साथ लेपित जाल की नियुक्ति की जाती है। हालांकि, आईपीयूएम + का प्राथमिक दोष इंट्रापेरिटोनियल जाल प्लेसमेंट से जुड़ा जोखिम है, जिसमें आंत्र आसंजन और पुन: संचालन के दौरान एंटरोटॉमी या आंत्र लकीर की उच्च दर शामिल है। 6 नतीजतन, कई आधुनिक हर्निया विशेषज्ञ आईपीयूएम + को एक "बेलआउट" प्रक्रिया मानते हैं जब अधिक जटिल न्यूनतम इनवेसिव एक्स्ट्रापेरिटोनियल मरम्मत सुरक्षित रूप से नहीं की जा सकती है। 7
एक अन्य व्यवहार्य विकल्प लेप्रोस्कोपिक या रोबोटिक विस्तारित पूरी तरह से एक्स्ट्रापेरिटोनियल (ईटीईपी) हर्निया की मरम्मत है। इस दृष्टिकोण में एक ऑप्टिकल ट्रोकार का उपयोग करके रेट्रोरेक्टस स्पेस में प्रवेश करना शामिल है, इसके बाद रेट्रोरेक्टस प्लेन का विकास और कॉन्ट्रालेटरल साइड तक पहुंचने के लिए एक क्रॉसओवर पैंतरेबाज़ी होती है। ईटीईपी दृष्टिकोण का प्राथमिक लाभ यह है कि यह पूरी तरह से एक्स्ट्रापेरिटोनियल रहता है, जिससे इंट्रा-पेट के आसंजनों से बचा जा सकता है और प्रीपेरिटोनियल फ्लैप निर्माण से जुड़ी तकनीकी चुनौतियों से बचा जा सकता है।
रोबोटिक IPUM+ और रोबोटिक eTEP दृष्टिकोणों की तुलना करने वाले विशेषज्ञों के बीच बहस जारी है। 7 सेमी ≤ वेंट्रल हर्निया का मूल्यांकन करने वाले एक बहुकेंद्रीय यादृच्छिक नैदानिक परीक्षण ने दो तकनीकों के बीच पोस्टऑपरेटिव दर्द, रहने की लंबाई, ओपिओइड की खपत या जीवन की गुणवत्ता में कोई महत्वपूर्ण अंतर नहीं दिखाया। 4 रोबोटिक आईपीयूएम + कम ऑपरेटिव समय, कम सर्जन कार्यभार और कम सर्जिकल साइट घटनाओं से जुड़ा था; हालांकि, इंट्रापेरिटोनियल जाल प्लेसमेंट के बारे में चिंताएं बनी रहती हैं, यहां तक कि जब लेपित जाल का उपयोग किया जाता है।
इस मामले में, हमने rTAPP दृष्टिकोण का चयन किया क्योंकि eTEP पर इसका प्राथमिक लाभ रेट्रोमस्कुलर विमान का संरक्षण है, यह सुनिश्चित करता है कि यह विमान भविष्य में किसी भी हर्निया की मरम्मत के लिए उपलब्ध रहे। जबकि आरटीएपीपी एक स्थापित तकनीक है, यह वीडियो तकनीकी रूप से चुनौतीपूर्ण परिदृश्य में अपने अनुप्रयोग को प्रदर्शित करता है जिसमें कई बारीकी से दूरी वाले हर्निया दोष, पतले और नाजुक पेरिटोनियम, और पूर्व गैस्ट्रोस्टोमी पथ शामिल हैं, जिसके लिए नियंत्रित विभाजन और आसंजन की आवश्यकता होती है। यह मामला इंट्राऑपरेटिव निर्णय लेने को भी दिखाता है जब प्रीपेरिटोनियल फ्लैप विकास मुश्किल होता है और आईपीयूएम + या ईटीईपी के प्रीऑपरेटिव चयन जैसे वैकल्पिक दृष्टिकोणों में रूपांतरण पर विचार करने के लिए मानदंडों की समीक्षा करता है। यह मामला पूर्व मिडलाइन लैपरोटॉमी वाले रोगियों में निर्णय लेने के सिद्धांतों के महत्व पर प्रकाश डालता है, जहां प्रीऑपरेटिव इमेजिंग पूरी तरह से छोटे या इंटरपेरिटल दोषों को प्रकट नहीं कर सकती है जिन्हें सर्जरी के समय संबोधित किया जाना चाहिए।
ऑपरेशन के बाद, रोगी को क्षणिक मूत्र प्रतिधारण के समाधान के बाद ऑपरेशन के बाद पहले दिन घर छोड़ दिया गया था। डिस्चार्ज के समय, उन्हें न्यूनतम मादक एनाल्जेसिया की आवश्यकता होती थी और उन्हें मेथोकार्बामोल निर्धारित किया गया था। हमारे मानक अभ्यास के हिस्से के रूप में, ट्रांसवर्सस एब्डोमिनिस प्लेन (टीएपी) ब्लॉकों को पोस्टऑपरेटिव दर्द नियंत्रण में सहायता के लिए इंट्राऑपरेटिव रूप से प्रशासित किया गया था। मजबूत सबूत हर्निया सर्जरी में टीएपी ब्लॉक के उपयोग का समर्थन करते हैं, यादृच्छिक नियंत्रित परीक्षणों के कई मेटा-विश्लेषणों के साथ 24 घंटे में कम पोस्टऑपरेटिव दर्द स्कोर, बचाव एनाल्जेसिया की आवश्यकता में कमी, और कम संचयी ओपिओइड खपत का प्रदर्शन करते हैं। 8
एक महीने के फॉलो-अप में, रोगी को पोस्टऑपरेटिव जटिलताएं नहीं थीं। जांच करने पर, चीरा अच्छी तरह से ठीक हो गया था, हर्निया का उभार हल हो गया था, और रोगी ने दर्द के पूर्ण समाधान की सूचना दी।
यह प्रक्रिया दा विंची शी रोबोटिक प्लेटफॉर्म का उपयोग करके की गई थी। एक हल्के पॉलीप्रोपाइलीन जाल (बार्ड सॉफ्ट मेष) को प्रत्यारोपित किया गया था और घुमावदार कोनों के साथ 23 सेमी x 11 सेमी जाल मापने वाले हर्निया दोष के आयामों के अनुरूप बनाया गया था।
खुलासा करने के लिए कुछ भी नहीं।
इस वीडियो लेख में संदर्भित रोगी ने फिल्माए जाने के लिए अपनी सूचित सहमति दी है और वह जानता है कि जानकारी और चित्र ऑनलाइन प्रकाशित किए जाएंगे।
References
- फिंक सी, बाउमन पी, वेंटे एमएन, नेबेल पी, ब्रुकनर टी, उलरिच ए, एट अल। आरा हर्निया दर 3 मिडलाइन लैपरोटॉमी के बाद साल। बीआर जे सर्जन। 2014; 101(2):51-54. डीओआई:10.1002/बीजेएस.9364
- वैन रामशोर्स्ट जी, एकर एचएच, हॉप डब्ल्यूसीजे, जेकेल जे, लैंग जेएफ। "जीवन और शरीर की छवि की स्वास्थ्य संबंधी गुणवत्ता पर आरा हर्निया का प्रभाव: एक संभावित समूह अध्ययन"। एम जे सर्जन। 2012; 204(2):144-150. डीओआई:10.1016/जे.एएमजेएसआरजी.2012.01.012
- Rosen MJ, Krpata डीएम, Petro CC, एट अल. दूषित उदर हर्निया की एकल-चरण मरम्मत के लिए जैविक बनाम सिंथेटिक जाल: एक यादृच्छिक नैदानिक परीक्षण. जामा सर्जन। 2022; 157(4):293-301. डीओआई:10.1001/जामसर्जन.2021.6902
- पेट्रो सीसी, थॉमस जेडी, टीयू सी, एट अल। इंट्रापेरिटोनियल जाल के साथ रोबोटिक बनाम लेप्रोस्कोपिक वेंट्रल हर्निया की मरम्मत: PROVE-IT यादृच्छिक नैदानिक परीक्षण के 1 साल के खोजपूर्ण परिणाम। जे एम कोल सर्जन। 2022; 234(6):1160-1165. डीओआई:10.1097/एक्ससीएस.00000000000000171
- मार्टिन-डेल-कैम्पो एलए, मिलर एचजे, इलियट एचएल, नोविट्स्की वाईडब्ल्यू। लेप्रोस्कोपिक वेंट्रल हर्निया के साथ और दोष बंद होने के बिना मरम्मत: 783 रोगियों के साथ एकल-संस्था के अनुभव का तुलनात्मक विश्लेषण। अंत्रवृद्धि। 2018; 22(6):1061. डीओआई:10.1007/एस10029-018-1812-2
- अल चलाबी एच, लार्किन जे, मेहिगन बी, मैककॉर्मिक पी। यादृच्छिक नियंत्रित परीक्षणों के मेटा-विश्लेषण के साथ लैप्रोस्कोपिक बनाम खुले पेट के चीरा हर्निया की मरम्मत की एक व्यवस्थित समीक्षा। इंट जे सर्जन। 2015; 20:65-74। डीओआई:10.1016/जे.आईजेएसयू.2015.05.050
- नोविट्स्की वाईडब्ल्यू, एड। हर्निया सर्जरी: वर्तमान सिद्धांत। 2 संस्करण। स्प्रिंगर; 2022. अध्याय 23: अरेवलो जी, मार्टिन-डेल-कैम्पो एलए। पृष्ठ 229-233।
- गाओ टी, झांग जेजे, शी एफसी, एट अल. हर्निया सर्जरी में ट्रांसवर्सस एब्डोमिनिस प्लेन (टीएपी) ब्लॉक का मूल्यांकन: एक मेटा-विश्लेषण। क्लिन जे दर्द. 2017; 33(4):369-375. डीओआई:10.1097/एजेपी.0000000000000412
Cite this article
लू डीवाई, ज़िगलर ओ, शेख एस, लिन-सू जूनियर। उदर हर्निया के लिए रोबोटिक-सहायता प्राप्त ट्रांसएब्डोमिनल प्रीपेरिटोनियल (आरटीएपीपी) मरम्मत। जे मेड इनसाइट। 2026; 2026(545). डीओआई:10.24296/जोमी/545




