Canlı Böbrek Bağışı için Robotik Yardımlı Laparoskopik Sol Donör Nefrektomi
Massachusetts General Hospital
Main Text
Table of Contents
Böbrek nakli, son dönem böbrek yetmezliği olan hastalar için tercih edilen tedavidir ve diğer böbrek replasman tedavilerine kıyasla daha iyi bir yaşam kalitesi ve sağkalım ile ilişkilidir. Ölen donör böbreklerle karşılaştırıldığında, canlı donör böbrek bağışı, daha kısa bekleme süreleri, daha iyi hasta ve greft sağkalımı ve önleyici transplantasyon olasılığı ile ilişkilidir. İlk öğrenme eğrisinden sonra, robotik yardımlı canlı donör nefrektomi, açık ve laparoskopik nefrektomi ile karşılaştırıldığında benzer sonuçlara sahiptir ve bazı ortamlarda genel olarak kalış süresi azalmıştır. Bu yazıda, robotik yardımlı canlı donör nefrektomi olgusunu, preoperatif ve intraoperatif dönemde değerlendirme, teknik ve cerrah için dikkat edilmesi gereken hususları içeren bir olgu sunuyoruz.
Böbrek nakli; canlı donörler; robotik cerrahi işlemler; sıcak iskemi; tedavi sonucu.
Böbrek nakli, son dönem böbrek yetmezliğinde (SDBY) tercih edilen tedavi yöntemidir, ancak ölen donör organ yetersizliği önemli bir sınırlayıcı faktördür. Amerika Birleşik Devletleri'ndeki böbrek nakillerinin yaklaşık üçte biri canlı donör nakilleridir. 1 Bu, ölen organ bağışı için altyapı eksikliği ve kronik diyalizin yüksek maliyeti ve düşük erişilebilirliği nedeniyle canlı vericili naklin en uygun seçenek olduğu bazı gelişmekte olan ülkelerde %40-90 canlı vericili nakillerin aksinedir. 2 Minimal invaziv teknikler artık standart bakım haline gelmiştir ve robotik yardımlı canlı donör nefrektominin, laparoskopik nefrektomiye kıyasla benzer postoperatif sonuçlara sahip olduğu ve toplam kalış süresinin azaldığı gösterilmiştir. 3-6
Bağışçı, erkek kardeşine böbrek bağışlamak için nakil merkezine başvuran 38 yaşında bir erkekti. Önemli bir tıbbi geçmişi yoktu (böbrek taşı, idrar yolu enfeksiyonu, diyabet, hipertansiyon veya malignite öyküsü yoktu). Geçmiş cerrahi öyküsü, anestezi ile ilgili sorunlar olmaksızın rüptüre apandisit nedeniyle 13 yaşında açık apendektomi içeriyordu. Vücut kitle indeksi (VKİ) 31.46 kg/m² idi. Hastanın fonksiyonel durumu 4 metabolik eşdeğer (MET) idi ve Amerikan Anestezistler Derneği (ASA) sınıf 1 idi. Penisilin, gentamisin ve vankomisine alerjisi vardı. Ailesinde yağlı karaciğer ve böbrek hastalığı öyküsü var (IgA nefropatisinden). Canlı böbrek bağışı için kapsamlı testlere tabi tutuldu ve bağış için tıbbi ve cerrahi kriterleri karşıladı.
Fizik muayenede abdominal obezite ve iyi iyileşmiş sağ alt kadran açık apendektomi skarı dışında herhangi bir bulguya rastlanmadı. Hastaya böbrek fonksiyon testi, enfeksiyöz test ve yaşa uygun malignite taraması dahil olmak üzere standart donör preoperatif muayenesi yapıldı. Donör ve alıcı arasında kan grubu (ABO) ve immünolojik (HLA) uyum sağlandı. Ameliyat öncesi elektrokardiyogram ve akciğer grafisi yapıldı ve herhangi bir anormallik saptanmadı. ASA durumu ve tıbbi geçmişi göz önüne alındığında, başka bir preoperatif çalışma belirtilmedi. Donör böbrek lateralitesini belirlemek amacıyla böbrek boyutunu ve vasküler sistemini değerlendirmek için kesitsel görüntüleme yapıldı.
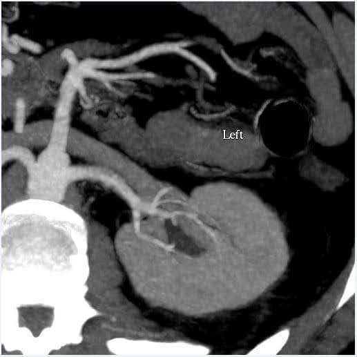
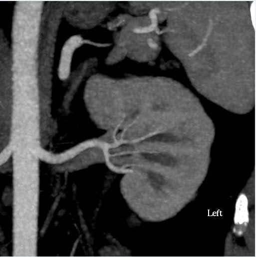
Böbreklerin büyüklüğünün yanı sıra böbrek damar sistemi ve toplayıcı sistemdeki anatomik varyasyonları değerlendirmek için karın BT anjiyografisi yapıldı (Şekil 1). Bu durumda, böbreklerin tahmini hacmi% 10'dan daha az bir tutarsızlığa sahipti, bu da fonksiyonel test merkezimiz için son sınırdır. Donörde bilateral tek renal arter ve tek renal ven vardı. Renal pelvis veya üreterlerde herhangi bir anormallik kaydedilmedi. Sol böbreğin üst polünde 2 cm'lik basit benign görünümlü kortikal kist görüldü. Böbreklerde taş veya anormal kitle saptanmadı.


Şekil 1. BT anjiyografi karın (böbrek). Sol: sol tarafta tek renal arter ve veni gösteren eksenel görünüm; Sağ: koronal görünüm Sol böbrek.
Canlı vericili nefrektomi açık laparoskopik, el yardımlı laparoskopik veya robotik yardımlı yaklaşımlarla yapılabilir.
Canlı donör böbrek bağışı, ölen donör böbreklerine kıyasla daha kısa bekleme süreleri ve daha iyi hasta ve greft sağkalımı ile ilişkilidir. Alıcı diyalize başlamadan önce önleyici nakil, ölen bağıştan alınan bir böbrek ile bir seçenek olsa da, canlı bağış çok daha kısa bir bekleme süresi ve daha yüksek önleyici nakil olasılığı sağlar.
Hasta sırtüstü pozisyonda iken genel anestezi ve nöromüsküler blokaj uygulanır. Anestezi indüksiyonundan sonra, mideyi ameliyat boyunca dekompresyonda tutmak için bir nazogastrik tüp ve Foley kateteri yerleştirilir. Perioperatif antibiyotikler uygulanır. Açık bir prosedüre potansiyel acil dönüşüm için ameliyathanede bir laparotomi alet seti hazır bulundurulur.
Hasta sağ lateral dekübit pozisyonunda, kolları bir yastığa sarılacak şekilde yerleştirilir. Robotu kullanırken, yan kol kartının kullanılması robotik koldan baskı yapılmasına neden olabilir, bu nedenle kolun hafifçe aşağı doğru konumlandırılması tercih edilir. Bunu, daha iyi erişim için kaburgaları iliak tepeden ayırmaya yardımcı olmak için masanın esnetilmesi takip eder. Sinir sıkışması yaralanmalarını önlemek için tüm basınç noktalarının doldurulması ve bir koltuk altı rulosu yerleştirilmesi gerekir. Hasta ameliyat masasına güvenli bir şekilde yatırılmalıdır. Hastayı konumlandırmaya yardımcı olmak için bir fasulye torbası kullanıyoruz. Konumlandırmanın sonunda elle tutulur radyal darbeleri iki taraflı olarak onaylayın. Ardışık kompresyon cihazları her iki alt ekstremiteye de yerleştirilmelidir. Ameliyat alanı kırpılır, daha sonra her zamanki steril tarzda hazırlanır ve örtülür, ksifoidden simfiz pubisin altına ve nefrektomi tarafında posterior aksiller çizgiye ve karşı taraftaki fasulye torbasına kadar uzanır.
Karın boşluğuna girmek için 7-8 cm uzunluğunda bir Pfannenstiel kesisi yapılır. Karın duvarı fasyası enine açılır ve flepler üst ve aşağı doğru kaldırılır. Karın duvarı fasyasının mobilizasyonunun derecesi, böbrek ekstraksiyonu için alanın boyutunu belirler. Yeterli diseksiyon olduğundan emin olun. Daha sonra rektus kasları birbirinden ayrılır ve karın zarı rektus kasları arasında dikey olarak açılır. Mesaneye diseksiyonu önlemek için peritonu üst kısımda açmaya dikkat edin. İnsizyona bir GelPort laparoskopik sistemi yerleştirilir ve pnömoperitoneum oluşturmak için GelPort'tan 12 mm'lik bir laparoskopik port yerleştirilir. Doğrudan laparoskopik görüntüleme altında üç adet 8 mm'lik robotik port daha yerleştirilir: epigastrik alanda, göbek deplasmanından üstün ve sol alt kadranda (Şekil 2). Bağlantı noktalarının yaklaşık 10 cm aralıklarla ve kaburgalardan ve iliak tepeden en az 2 cm uzağa yerleştirilmesi gerekir. GelPort'tan geçen 12 mm'lik bağlantı noktası, çalışma boyunca yatak başı yardımı için bir destek portudur. DaVinci robotu daha sonra bağlantı noktalarına yerleştirilir ve doğrudan görselleştirme altında yerleştirilen robotik aletler bulunur.

Şekil 2. Laparoskopik donör sol böbrek nefrektomi insizyon bölgeleri. Laparoskopik donör sol böbrek nefrektomisi için port kurulumlarının konumunu gösteren bir diyagram. Karın boşluğuna girmek için 7-8 cm uzunluğunda bir Pfannenstiel kesisi yapılır. Bu kesiye bir GelPort laparoskopik sistemi yerleştirilir ve GelPort içinden 12 mm'lik bir laparoskopik port yerleştirilir. Üç adet 8 mm'lik robotik port, epigastrik bölgeye, göbekten daha üst ve doğrudan görüş altında sol alt kadrana yerleştirilir.
Konsolda, sol kolon, karın duvarına olan ekler alınarak medial olarak döndürülür. Sol böbrek görüntülenir. Bu sırada böbreğin arka eklerini harekete geçirmemeye özen gösterilir, böylece daha kolay hiler diseksiyon için yanal olarak geri çekilir. Dalak ve diyafram ve böbreğe olan ekleri serbest bırakılır ve vasküler yapıların diseksiyonuna yardımcı olmak için medial olarak döndürülür. Üreter tanımlanır ve pelvise diseke edilir. Bir miktar periüreteral yağ bırakarak üreterin adventitisini sıyırmaktan kaçınmak ve üreter ile böbreğin alt kutbu arasındaki dokuyu korumak ve üreter iskemisi ile ilişkili komplikasyon olasılığını azaltmak için önemlidir.
Dikkatler hilusun diseksiyonuna, özellikle renal ven, gonadal ven, lomber ven ve adrenal vene çevrilir. Hilusun kendisinde diseksiyon yapmadığınızdan emin olun, ancak renal hilustaki çok sayıda vasküler dala zarar verme riski nedeniyle aorta daha yakın diseksiyon yapın. Gonadal ven, üç yanık kullanılarak damar kapatıcı ile bölünür, ardından adrenal ven ve lomber venler gelir. Bazı merkezler klips kullanmayı tercih eder, ancak klipslerin üzerine yanlışlıkla zımbalama riski vardır, bu nedenle klips kullanılıyorsa, zımbalama sırasında ek önlem alınmalıdır. Dalların tamamı böbrek damarına yakın kesilir. Bunu takiben renal arter tanımlanır ve aorta doğru diseksiyona devam edilir.
Daha sonra böbreküstü bezi ile böbreğin hilusu arasında diseksiyona devam edilir. Renal arter ve renal ven arasındaki herhangi bir bağ dokusu dikkatli bir şekilde kesilir. Damarları ve üreteri tanımladıktan ve inceledikten sonra, böbrek üstten alt kutba tamamen mobilize edilir. Bunu böbreğin arka eklerinin mobilizasyonu takip eder. Vakanın bu kısmı, böbreği çevreleyen ve böbreğe yapışık olan yağ derecesi nedeniyle karmaşıktı.
Renal arter ve ven, zımbalama hazırlığı için tüm ataşmanlardan temizlenir. Üreter, uzunluğu korumak için iki Hemo-o-lok klipsi ile mümkün olduğunca distal olarak kırpılır ve kesilir. Donör nefrektomide üreter transeksiyonu için kabul edilen yer, üreterin iliak arter üzerinden geçtiği seviyedir. Destek portundan Hem-o-lok klipsleri kullanıyoruz, ancak robotik klipsler de mevcuttur ve kullanıma uygundur. Üreter, damar kapatıcının kesme fonksiyonu, robotik makas veya destek portundan makas kullanılarak kesilir.
Renal vaskülatürdeki değişiklikler vakaların yaklaşık% 25-50'sinde görülür. 7, 8 Böbrek, end-arteriyel kan akışını alır, bu nedenle, genellikle ameliyat öncesi BT taramasında görüntülenen çapı 1-2 mm'den büyük aksesuar arterleri tanımlamak ve dikkatli bir şekilde korumak önemlidir. İntraoperatif olarak karşılaşılan daha küçük çaplı herhangi bir damar kesilebilir. Alıcı cerrahla ideal olarak ameliyat öncesi veya gerekirse gerçek zamanlı olarak bir görüşme yapılması tavsiye edilir.
Damarlar diseke edildikten ve zımbalamaya hazır hale geldikten sonra intravenöz mannitol uygulanır. 12.5 g mannitol veriyoruz. Biz IV heparin vermiyoruz ancak bazı donör merkezlerde çapraz klemplemeden önce heparin veriliyor. Soğuk basması hazırlanır ve robot yuvadan çıkarılır. En düşük 8 mm'lik bağlantı noktası, Endo GIA zımbalayıcıyı yerleştirmek için 12 mm'lik bir bağlantı noktasına yükseltilmiştir. Bazı robotik donör nefrektomi cerrahları robotik zımbayı kullanmayı seçebilir. Bu durumda olduğu gibi, böbrek büyükse veya yapışık perinefrik yağ varsa, böbreği yerleştirmek için Pfannenstiel insizyonunu uzatın. Renal arter, aorta yakın bir GIA 30 tan yükü ile zımbalanır, ardından renal ven bir GIA 30 tan yükü ile zımbalanır. Böbrek, Pfannenstiel kesisinden çıkarılır. Böbrek daha sonra arka masada soğuk bir Wisconsin Üniversitesi koruma solüsyonu (veya tercih edilen başka bir koruyucu solüsyon) ile perfüze edilir. Böbrek damarından gelen sıvı berraklaşana ve böbrek parankimi kızarmış görünene kadar böbrek atardamarı yıkanır. Böbrek daha sonra alıcı odasına taşınır. Bu durumda, böbreğin büyüklüğü ve perinefrik "yapışkan" yağ nedeniyle ekstraksiyon zordu. Kesi daha da uzatıldı ve böbreği çıkarmak için laparoskopik bir geri alma torbası kullanıldı, daha sonra hemen buzun üzerine yerleştirildi ve yıkandı.
Böbrek yıkanırken, ilk ve en acil adım, ameliyat alanındaki hemostazı doğrulamaktır. Gerekirse, klips, koter ve hemostatik ajanların bir kombinasyonunu kullanın. Lenfatik drenaj için herhangi bir endişe varsa klipsler gerekli olabilir. Böbreğin anatomisi arka masada doğrulanır. Transversus abdominis düzlemi (TAP) bloğu, nefrektomi tarafının doğrudan görüntülenmesi kullanılarak peritona sadece yüzeysel lokal anestezik enjekte edilerek lateral olarak uygulanabilir. İntraoperatif olarak tek taraflı bir TAP bloğu gerçekleştiriyoruz. Diğer bir seçenek, anestezinin, ekstübasyondan önce hasta sırtüstü pozisyona getirildikten sonra bir TAP bloğu gerçekleştirmesidir. Lokal anestezikin geri kalanı daha sonra kapatılmadan önce port bölgeleri ve Pfannenstiel insizyonu tarafından enjekte edilir. Sol alt kadrandaki 12 mm'lik porttaki fasya, bir Carter-Thompson cihazı kullanılarak 0 Vicryl ile kapatılır ve portlar 4-0 Monocryl ile kapatılır. Alet sayımı onaylandıktan sonra, Pfannenstiel insizyonu 4 kat halinde kapatılır: periton 2-0 Vicryl ile, rektus kasının ön fasyası 2-0 PDS ile ve cilt Scarpa fasyasında 3-0 Vicryl kullanılarak iki kat halinde kapatılır ve subkutiküler tabakada 4-0 Monocryl. Cerrahi yapıştırıcı sürülür ve tekrar aleti sayısı teyit edilir.
Canlı böbrek bağışı, canlıyla ilgili yönlendirilmiş bağış, böbrek eşleştirilmiş bağış veya yönlendirilmemiş/özgecil bağış yoluyla gerçekleştirilebilir. Birkaç istisna dışında, 2005'ten bu yana Amerika Birleşik Devletleri'nde canlı böbrek bağışında genel bir düşüş olmuştur. Canlı bağış oranları COVID-19 salgını sırasında daha da düştü. 9 Eşleştirilmiş bağış ağları, canlı vericili böbrek naklinde bir artışı kolaylaştırabilir. Eşleştirilmiş bağış alıcılarının kadın, siyah, daha önce nakil geçirme, yüksek derecede duyarlı olma ve kamu sigortasına sahip olma olasılığı daha yüksekti, ancak diğer canlı donör böbrek alıcılarına eşdeğer sonuçlara sahip oldukları gösterilmiştir. 10
Canlı böbrek bağışı taraması merkezler arasında farklılık gösterebilir, ancak tipik olarak, potansiyel bağışçılar adaylığı değerlendirmek için tıbbi, cerrahi ve psikiyatrik değerlendirmeye (belirtildiği gibi) tabi tutulur. Testler, belirtilirse kardiyak ve solunum fonksiyon testi, fonksiyonel durum değerlendirmesi, malignite taraması, bulaşıcı tarama, VKİ'ye bağlı beslenme konsültasyonu ve özellikle ailesinde böbrek hastalığı öyküsü olanlar için SDBY risk testini içerebilir. Bağışçı adayları için bağış öncesi riskleri hesaplamak için çeşitli risk değerlendirme araçları mevcuttur. 11–13 Böbrek anatomisini değerlendirmek için bir renal BTA da elde edilir. Nakil merkezlerinin böbrek vericileri için farklı uygunluk kriterleri olmasına rağmen, potansiyel aday 18 yaşından küçükse, diyabetikse, kontrolsüz hipertansiyonu, ilerlemiş böbrek hastalığı, aktif enfeksiyonu, aktif veya eksik tedavi edilmiş malignitesi, tedavi edilmemiş psikiyatrik hastalığı, karar verme kapasitesinde bozulma veya finansal veya kişilerarası zorlama şüphesi varsa prosedür genellikle kontrendikedir.
Anatomik seçimler cerraha bağlıdır. Küçük, komplike olmayan tek taraflı tek böbrek taşı olan potansiyel donörlerde, donör gelecekteki taş oluşturma riskleri açısından tarandıktan sonra etkilenen taraf nakledilebilir (bir LithoLink testi kullanıyoruz). Renal vaskülatürdeki değişiklikler vakaların yaklaşık% 25-40'ında görülür. Dual üreterler, sağlıklı yetişkin popülasyonun yaklaşık %0.7-0.8'inde ve idrar yolu sorunları olan yetişkinlerin %2-4'ünde görülür. 7, 8, 1416 Merkezimizde at nalı böbreği olan donörleri veya fibromusküler displazisi olan donörleri kabul etmiyoruz. Bölünmüş böbrek fonksiyon testi, boyut tutarsızlığı durumunda değerlendirilir. Bölünmüş böbrek fonksiyon testi için kriterler merkeze bağlıdır. Merkezimizde BT taramasında donör böbrekler arasındaki hacim farkı %10'u geçtiğinde Nükleer Tıp böbrek sintigrafisi alıyoruz. Bölünmüş böbrek fonksiyon farkı %10'u aşarsa, bağıştan sonra daha iyi işleyen böbreği bırakmak için daha düşük işlevli böbreği alırız. Geleneksel olarak, sol böbrek, daha kolay alıcı venöz anastomozu kolaylaştırabilecek daha uzun renal ven damarları nedeniyle bağış için tercih edilir. Sol böbrek, tüm canlı vericili böbrek nakillerinin yaklaşık% 80'inde kullanılır. 17 Sağ böbrek, sol tarafta soliter renal arter olmaması, sol böbrekte parankim anormallikleri olması durumunda veya boyut farklılığına bağlı olarak kullanılabilir.
Canlı böbrek donörlerinde perioperatif mortalite 3/10.000'dir ve tahmini 20 yıllık SDBY riski, seçim kriterlerindeki yaklaşım veya varyasyondan bağımsız olarak yaklaşık 30/10.000'dir. 11, 18 Bağış sonrası altı ayda serum kreatinin, canlı böbrek donörlerinde sonraki SDBY riski ile ilişkili olabilir. 19 Diğer bir potansiyel komplikasyon, çekim veya port bölgelerinde fıtık riskidir. Pfannenstiel insizyonu kullanılarak fıtık riski, jinekolojik cerrahi literatürüne dayalı orta hat abdominal insizyonları kullanmaya kıyasla daha düşüktür. 20, 21 Hastalarda gonadal venin bölünmesinden dolayı testis şişmesi gelişebilir, ancak bu geçicidir ve kendi kendine düzelir. Robotik yardımlı canlı donör nefrektominin, laparoskopik nefrektomi ile karşılaştırıldığında benzer postoperatif sonuçlara sahip olduğu ve genel olarak kalış süresinin azaldığı gösterilmiştir. 3-6 Literatürde, robotik tek portlu donör nefrektominin fizibilitesini bildiren yedi hastadan oluşan küçük bir seri de dahil olmak üzere çeşitli modifikasyonlar tanımlanmıştır. 22
Bu durumda ameliyat süresi 3,5 saat ve tahmini kan kaybı 200 ml idi. Aşırı yapışık perinefrik yağ veya "yapışkan yağ" nedeniyle ek zorluklarla karşılaştık, bu da diseksiyon sırasında ve böbreğin çıkarılması sırasında sorunlara neden oldu. Bununla birlikte, donör sorunsuz bir iyileşme gösterdi ve oral analjeziklerde iyi bir ağrı kontrolü ile ameliyat sonrası üçüncü günde taburcu edildi. Takipte hastada herhangi bir sorun yoktu.
- Da Vinci Xi Cerrahi Sistemi.
- El yardımlı laparoskopi için GelPort laparoskopik sistem.
- 12 mm tek kullanımlık laparoskopik port
Açıklanacak bir şey yok.
Bu video makalesinde atıfta bulunulan hasta, filme alınması için bilgilendirilmiş onamını vermiştir ve bilgi ve görüntülerin çevrimiçi olarak yayınlanacağının farkındadır.
References
- ABD Sağlık ve İnsan Hizmetleri Bakanlığı. OPTN/SRTR 2020 Yıllık Veri Raporu: Böbrek. Şu adresten ulaşılabilir: https://srtr.transplant.hrsa.gov/annual_reports/2020/Kidney.aspx. Erişim tarihi: 30 Nisan 2023.
- Bağış ve Transplantasyonlar Üzerine Küresel Gözlemevi. Özet. Şu adresten ulaşılabilir: https://www.transplant-observatory.org/summary/. Erişim tarihi: 30 Nisan 2023.
- Bhattu AS, Ganpule A, Sabnis RB, Murali V, Mishra S, Desai M. Robot yardımlı laparoskopik donör nefrektomi ve standart laparoskopik donör nefrektomi: prospektif randomize karşılaştırmalı bir çalışma. J Endourol. 2015; 29(12):1334-1340. doi:10.1089/son.2015.0213.
- Xiao Q, Fu B, Song K, Chen S, Li J, Xiao J. Canlı donör nefrektomisinde cerrahi tekniklerin karşılaştırılması: sistematik bir inceleme ve Bayes Ağı meta-analizi. Ann Nakil. 2020; 25:E926677. doi:10.12659/AOT.926677.
- Wang H, Chen R, Li T, Peng L. Renal transplantasyonda robot yardımlı laparoskopik ve laparoskopik donör nefrektomisi: bir meta-analiz. Klinik Nakil. 2019; 33(1):E13451. doi:10.1111/ctr.13451.
- Spaggiari M, Garcia-Roca R, Tulla KA ve diğerleri. Robotik yardımlı canlı verici nefrektomiler. Ann Cerrahi. 2022; 275(3):591-595. doi:10.1097/SLA.00000000000004247.
- Çekçibaşı AE, Ziylan T, Salbacak A, Şeker M, Büyükmumcu M, Tuncer İ. İnsan fetüslerinde renal arterlerin kökeni, yeri ve varyasyonları ile bunların klinik öneminin araştırılması. Ann Anat. 2005; 187(4):421-427. doi:10.1016/j.aanat.2005.04.011.
- Aremu A, Igbokwe M, Olatise O, Lawal A, Maduadi K. Renal arterin anatomik varyasyonları: Nijerya Böbrek Nakli Merkezinde canlı böbrek donörlerinde bilgisayarlı tomografik anjiyografi çalışması. Afr Sağlık Sci. 2021; 21(3):1155-1162. doi:10.4314/ahs.v21i3.24.
- Al Ammary F, Yu Y, Ferzola A, et al. Amerika Birleşik Devletleri'nde 15 yıl içinde canlı böbrek bağışındaki ilk artış. J Nakil. 2020; 20(12):3590-3598. doi:10.1111/ajt.16136.
- Leeser DB, Thomas AG, Shaffer AA ve diğerleri. Ulusal böbrek eşleştirilmiş bağış ile hasta ve böbrek allogreft sağkalımı. Klinik J Soc Nefrol. 2020; 15(2):228-237. doi:10.2215/CJN.06660619.
- Massie AB, Muzaale AD, Luo X, et al. Canlı böbrek donörlerinde ESRD'nin bağış sonrası riskinin ölçülmesi. J Soc Nefrol. 2017; 28(9):2749-2755. doi:10.1681/ASN.2016101084.
- Gram ME, Sang Y, Levey AS, et al. Canlı böbrek donör adayı için böbrek yetmezliği risk projeksiyonu. N Engl J Med. 2016; 374(5):411-421. doi:10.1056/NEJMoa1510491.
- John's Hopkins Üniversitesi. Böbrek Donör Adayları için SDBY Risk aracı. Şu adresten ulaşılabilir: http://www.transplantmodels.com/esrdrisk/. Erişim tarihi: 2 Mayıs 2023.
- Ayakta duran S. Philadelphia: Churchill Livingstone Elsevier. Philadelphia: Elsevier; 2020. Gray'in Anatomisi: Klinik Uygulamanın Anatomik Temeli.
- Schlussel RN, Retik AB. Campbell'ın Ürolojisi. Philadelphia, Pensilvanya: Saunders; 2002. Ektopik üreter, üreterosel ve üreterin diğer anomalileri; sayfa 2007–2052.
- Fernbach SK, Feinstein KA, Spencer K, Lindstrom CA. Üreteral duplikasyon ve komplikasyonları. Radyografi. 1997;17:109-127.
- Wang K, Zhang P, Xu X, Fan M. Sağ ve sol laparoskopik canlı donör nefrektomisi: bir meta-analiz. Exp Klinik Nakil. 2015; 13(3):214-226.
- Segev DL, Muzaale AD, Caffo BS, et al. Canlı böbrek bağışını takiben perioperatif mortalite ve uzun süreli sağkalım. JAMA. 2010; 303(10):959-966. doi:10.1001/jama.2010.237.
- Massie AB, Holscher CM, Henderson ML ve diğerleri. Canlı böbrek donörlerinde bağış sonrası erken böbrek fonksiyonu ile müteakip son dönem böbrek hastalığı riski ilişkisi. JAMA Cerrahi. 2020; 155(3):E195472. doi:10.1001/jamasurg.2019.5472.
- Luijendijk RW, Jeekel J, Fırtına RK, et al. Düşük transvers Pfannenstiel insizyonu ve insizyonel herni ve sinir sıkışması prevalansı. Ann Cerrahi. 1997; 225(4):365-369. doi:10.1097/00000658-199704000-00004.
- Bewö K, Österberg J, Löfgren M, Sandblom G. Açık jinekolojik cerrahi sonrası insizyonel fıtıklar: popülasyona dayalı bir çalışma. Kemer Jinekolü Obstet. 2019; 299(5):1313-1319. doi:10.1007/s00404-019-05069-0.
- Bahçe EB, Al-Alao O, Razdan S, Mullen GR, Florman S, Palese MA. Da Vinci SP cerrahi sistemi ile robotik tek portlu donör nefrektomi. JSLS'yi seçin. 2021; 25(4). doi:10.4293/JSLS.2021.00062.
Cite this article
Atthota S, Grasso J, Dageforde LA. Canlı böbrek bağışı için robotik yardımlı laparoskopik sol donör nefrektomi. J Med İçgörü. 2024; 2024(418). doi:10.24296/jomi/418.



