転移性乳頭状甲状腺癌に対する両側修正根治的頸部郭清
Main Text
根治的頸部郭清はかつて甲状腺がんおよび子宮頸リンパ節転移患者の外科的治療の標準治療でした。しかし、この手術の重大な罹患率のため、多くの外科医が罹患率を最小限に抑えつ腫瘍的治癒を提供する頸部リンパ節摘出術の開発に取り組みました。このような研究により、修正根治的頸郭解離術(MRND)の開発が進みました。それでも、多くの機関は、外側リンパ節への転移を伴う甲状腺がんの状況下での包括的なMRNDの実施に馴染みがありません。私たちは全身麻酔下でそのような手術を行います。
頸部リンパ節腫大;子宮頸リンパ節転移;修正根治的頸郭解離術。
甲状腺がんはアメリカで最も一般的な内分泌悪性腫瘍です。新規症例の発生率は過去数十年にわたり着実に増加しており、その大多数は乳頭状甲状腺癌(PTC)です。1,2 PTCの最も一般的な転移経路は子宮頸リンパ節への転移です。PTC患者の最大40〜90%が診断時に頸部リンパ節腫脹の証拠を持っています。3
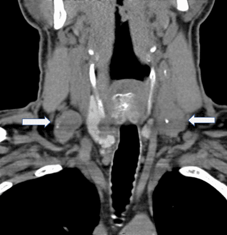
患者は61歳の男性で、両側の持続性転移性PTCが両側の頸部リンパ節区画に現れます。2014年には、兄弟姉妹が乳頭状甲状腺がんと診断されたため、甲状腺がんの検診を受けました。 2014年3月に外部施設で全甲状腺摘出術を受け、その際右甲状腺PTCが右回回喉頭神経に付着していることが確認されました。最終病理では両側性PTCが認められ、最大の腫瘍は左側に3.1cmで甲状腺外拡張がありました。6つのリンパ節のうち3つにPTCが含まれていました。術前には頸部のCTスキャンを受けており、両側側の外側頸部リンパ節腫異が転移性疾患と一致することが明確に示されました(図1)。しかし、外側首の病気は、原因不明のまま、最初の手術では一度も治療されませんでした。手術後も声に問題があり、術後も声の疲労に悩まされていました。2014年4月に放射性ヨウ素134mCiで治療されました。治療後のヨウ素スキャンでは転移性疾患の証拠は見られませんでしたが、サイログロブリン値が持続的に上昇していました。
最初の数年間は特に変わった経過はありませんでしたが、2017年の超音波検査で両側のレベルIIIリンパ節に石灰化が見つかりました。前回の画像と比べてわずかに腫れていた可能性がありますが、甲状腺球蛋白の値は変化がありませんでした。2018年4月にはリンパ節マッピングを伴う包括的な超音波検査を受け、両側頸部区画(リンパ節区画II–Vレベル)に転移性PTCの懸念があるリンパ節が認められました。この時点で、甲状腺ブリン値は48で上昇し、抗体価は10未満でした。右レベルIVおよび左側レベルIIIリンパ節の細針吸引(FNA)生検を行い、いずれもPTC陽性で、患者が両側側の頸部リンパ節区画に再発転移PTCを有していることを証明しました。さらに、頸部および胸部のCTスキャン(点滴造影の有無を問わず)もこれらの所見と一致しました。この時期、彼は治安手術の検討のためイェール内分泌外科に紹介されました。他にかすれ声や飲み込み困難、呼吸困難の訴えはありませんでした。
生化学的評価ではTSHが正常1.13、甲状腺グロブリンが48(刺激なし、陽性の甲状腺球抗体なし)で上昇、総血清カルシウムは9.4 mg/dl(基準範囲8.8〜10.2 mg/dl)でした。
リンパ節マッピングを伴う包括的な超音波検査が実施され、両側頸部区画(すなわちリンパ節区画レベルII–V)に転移性PTCが懸念されることが示されました。右最大レベルIV(2.8 x 1.9 x 1.8 cm、レベルVリンパ節への拡張)および左側レベルIIIリンパ節(3.7 x 2.1 x 2.9 cm、レベルVリンパ節への拡張も含む)に対して細針吸引(FNA)生検を行い、いずれもPTC陽性でした。
首と胸部のCTスキャンを受けたところ、首の軟部組織に異常なリンパ節が見られ、一部には病理的な肥大、石灰化、中心性壊死が見られ、転移性疾患の疑いが示されました。代表例としては、隣接する内頸静脈を狭める3cmの左レベルIIIリンパ節、2.1cmの右レベル3リンパ節、頸動脈前方の9mm左レベルII/IIIリンパ節、そして右鎖骨下静脈と右内頸静脈の分岐部に接する可能性のあるリンパ節があります。 左レベルIV/鎖骨上リンパ節は1.7cmでした。
甲状腺がんにおける子宮頸リンパ節転移の存在は、その存在と比べて生存率が低下することを意味します。したがって 、外側頸部リンパ節郭清はこの疾患の外科的治療において依然として重要な治療手段です。
転移性PTCの唯一の主要治療は手術です。しかし、持続性顕微鏡疾患の治療には補助放射性ヨウ素療法(RAI)がしばしば導入され、また一部の症例では超音波ガイドによるアルコールアブレーションも行われます。5 手術が不可能な場合には緩和的外部放射線療法が用いられることがあります。
根治的頸部郭清(RND)は1906年にジョージ・クライルによって初めて記述され、頭頸部扁平上皮がんにおける頸部転移の標準的な治療法として現在も使用されています。6 標準的な手技は、外側頸部のすべての区画(レベルIからV)のリンパ節を摘出し、さらに副神経(SAN)、内頸静脈(IJV)、胸鎖乳突筋(SCM)の切除を含みます。この手術は肩の運動障害や美容変形を含む重大な長期障害と関連しています。この 手術の重大な罹患率のため、標準的なRNDよりも同等かつ病的でない代替手術法の提供が試みられています。
開発された代替手技には、修正根治的頸郭解(MRND)と選択的頸郭清(SND)があります。修正根治的頸郭郭清は、通常RNDで切除されるすべてのリンパ節を切除しつつ、少なくとも1つの構造を保存または保存します:SAN、IJV、SCM。選択的頸部郭清とは、根治的頸部郭清で通常除去されるリンパ節群の一つまたは複数のを保存する頸部リンパ節摘出術を指します。これまでのところ、RNDとMRNDまたはSNDを比較した前向きランダム化試験は存在しません。しかし、RNDとMRND後のアウトカムを比較したいくつかの後ろ向き研究があります。MRND群の平均複合再発率はRND群[13.6%、95%信頼区間12.0〜15.2%]と比べて有意に低くなっていました。8
転移性PTCの状況では、頸部リンパ節腫大が疾患の再発または持続の最も一般的な原因となっています。9 したがって、適切な子宮頸リンパ節摘出術は手術後の転帰を決定する主要な要因です。しかし、最適な結果を得るために必要な側方頸郭郭清の程度については依然として大きな議論があります。Caronらの研究10 では、レベルIIIおよびIVのリンパ節関与率が大幅に高く、そのためSNDはほとんどの転移性PTCのケースで十分であることが示唆されています。この研究に対する批判の一つは、対象患者数がごくわずかであることです。私たちは最近、単一の施設で実施したMRND手術の広範なシリーズで、レベルIIとVを省略することで、それぞれ67%と20%の患者に疾患が残る可能性があることを実証しました。したがって、MRNDは見逃した疾患に対する再手術に伴う罹患率を最小限に抑える最適な手技です。11
MRNDを行う外科医は、首の解剖学や副甲状腺の胚学について十分に理解している必要があります。一般的にMRNDは、SAN、SCM、またはIJVの保存が可能な場合に、完全な腫瘍学的切除を損なうことなく適応されます。
横切開(コッヒャー)が開かれ、外側頸部に沿って外側に広げられます。この患者では、最善の美容効果を得るために以前の瘢痕を切除しました。亜板皮弁は上および下に上昇しています。大耳神経が特定され、エルブ点までたどられます(胸鎖乳突筋の後縁、鎖骨の約2〜3cm上に位置し、大耳耳神経、小後頭神経、横頸神経、鎖骨上神経が現れます)。これは脊髄副神経の特定において重要なランドマークであり、保存されています。エルブの点から約1.5cm上にSANが識別されています。その後、SANは慎重に剥離され、僧帽筋に入る際に保存されます。SANが前三角から出て後方三角に入ると、胸鎖乳突筋の表面下をGANを横切って想像上の十字(「Xポインター」)を形成します。SCMの後方境界では、SANがGANより上位に位置し、前方境界ではこの関係が逆転します。頸根は付属神経の経路と似ていることが多く、外科医を混乱させることがあります。この文脈で、XポインターはSANを他の神経と区別するための信頼性が高く、一定で簡単な指標となります。それは体の比率に依存しません。SAN識別のための他の12 のランドマークは以下の通りです。
- 内静脈に対するSANは44%が背側、56%で腹側に流れています(Kiernerら)。
- 頸神経叢がSANに寄与するのは主にC2、C3、そしてその両方の組み合わせからであり、神経の深部から後三角のSCM筋へと連絡を取っています。
- 塩崎らは、SCM筋に3種類の神経支配を報告し、タイプA(非貫通型)、タイプB(部分浸透型)、タイプC(完全貫通型)に分類された。
- 鎖骨の中央点からSANが僧帽筋に入る点までの平均距離は約59mmです。これは下部頸部からSANを追跡し、上方を解剖する重要なランドマークです。SANは僧帽筋のすべての部分に神経支配を行っていたため、神経の隔離と保存が重要になりました。13
レベルVリンパ節区画は外側から内側へ移動します。レベルVリンパ節を包む頸部脂肪パッド全体は解読されています。外頸静脈は上静脈と下静脈に分岐しています。その後、筋膜はSCMから外されます。オモヒ�骨筋は剥離され保存されます。必要なら、より良い露出のために犠牲にすることも可能です。内頸静脈、総頸動脈、迷走神経は剥離され、全期間にわたって解放され保存されています。その後、標本は外側から内側へ動員され、レベルV、IV、III、IIの線維筋脂リンパ節担保組織全体を含みます。 解離は上方から二腹筋まで運ばれます。舌咽神経が特定され、保存されます。郭清は鎖骨の下まで下側に行います。左側側郭解の場合でも、胸管が特定され保存されます。必要に応じて結紮も可能です。右側には優位リンパ管はありませんが、鎖骨上郭清術中はリンパや乳液漏れを防ぐために注意が必要です。横隔神経は内側で識別されます。この神経は迷走神経の外側に位置し、腕叢は横隔神経の外側に位置しています。両者とも保存されています。横隔神経は横隔膜に支配する重要なランドマークであり、解離時に椎骨筋膜の後を通ることは横隔神経の損傷を防ぐのに役立ちます。必要に応じて横頸神経の小さな枝が分割されます。その後、標本全体を摘出し、永久切片のために病理検査に送られます。
この患者では、がんが左レベルIVリンパ節区画の内頸静脈だけでなく、対面舌骨筋に有意に付着していました。レベルIVのよく知られた縁(前縁は胸骨舌骨筋の外側境界、後方境界はSCMの後縁、上縁は舌骨筋、下縁は鎖骨)にもかかわらず、手術外科医は内頸静脈と横舌骨筋を一括切除して陰性の縁を得ました。手術用ドレーン(#10 Jackson-Pratt)が首の両側に設置されました。
外科的病理検査の結果、瘢痕修正手術には良性の皮膚と瘢痕しか含まれていないことが判明しました。合計で、左のMRND検体では34リンパ節中10節、右の26リンパ節中5リンパ節で陽性でした。外側頸部リンパ節区画(レベルII–V)は、左側のレベルIIリンパ節区画を除き、少なくとも1つの陽性リンパ節を含んでいました。左側の最大の陽性リンパ節は3.9cm、右側は3.8cmでした。両側外側頸部のPTCの節外延長の証拠が見られました。術後約10日時点で、両側の脳神経(CN)は大体全て正常(CN II–XII)で、柔軟喉頭鏡検査で評価された声帯機能も完全に正常でした。さらに、血清カルシウムは正常で9.4 mg/dl(基準範囲8.8〜10.2 mg/dl)。
特別な装備は使用されませんでした。
特に開示することはない。
この動画で言及されている患者は撮影に同意しており、情報や画像がオンラインで公開されることを認識しています。
References
- ハウラダー N、ヌーン AM、クラチョ M、他、SEER がん統計レビュー(CSR)1975-2016年。メリーランド州ベセスダ:国立がん研究所。入手可能: http://seer.cancer.gov/csr/1975_2016/。
- クーパーDS、ドハーティGM、ハウゲンBRら、アメリカ甲状腺協会ガイドラインタスクフォース。甲状腺結節および分化型甲状腺がん患者の管理ガイドライン。 甲状腺。 2006;16(2): 109-142. doi:10.1089/thy.2006.16.109.
- カーリング・T、ウデルスマン・R. 甲状腺がん。 Annu Rev Med。 2014;65:125-137. doi:10.1146/annurev-med-061512-105739。
- Jin S, Bao W, Yang YT, Bai T, Bai Y. 乳頭状甲状腺がん患者における外側頸部リンパ節転移の予測モデルの確立。 Sci Rep. 2018年;8(1):17355. DOI:10.1038/S41598-018-35551-9。
- ソ・チ、ペク・ジュー、チェ・ユジェ、イ・ジュー。局所再発甲状腺がん治療における高周波およびエタノールアブレーションの有効性と安全性:システマティックレビューおよびメタアナリシス。 甲状腺。 2016;26(3):420-428. DOI:10.1089/THY2015.0545。
- クリルG。頭頸部のがん切除。特に132回の手術に基づく解剖計画に言及しています。 JAMA。 1906;第47巻(22号):1780-1786。 DOI:10.1001/jama.1906.25210220006001a。
- Ewing MR, Martin H. 「根治的頸郭清離」後の障害:術後評価に基づく100人の患者。 がん。 1952;5(5):873-883. doi:10.1002/1097-0142(195209)5:5<873::AID-CNCR2820050504>3.0.CO;2-4。
- バックリー JG、フェバー・T. 上部気球消化管扁平上皮癌による頸椎結節転移の外科的治療:頸部解離の修正に関するエビデンスの評価。 ヘッドネック。 2001;23(10):907-915. doi:10.1002/hed.1131。
- Braverman LE、Cooper DS、編。 Werner & Ingbar『The Thyroid: A Fundamental and Clinical Text』。 第10版。フィラデルフィア:Lippincott Williams & Wilkins;2013.
- キャロン・NR、タン・YY、オギルビーJBら。乳頭状甲状腺がんに対する選択的修正根治的頸部郭清—レベルI、II、Vの郭清は常に必要ですか? ワールド・ジャーナル・サージ。 2006;30(5):833-840. DOI:10.1007/S00268-005-0358-5。
- ジャヴィド・M、グラハム・E、マリノフスキーJら。乳頭状甲状腺癌による外側頸部リンパ節転移患者において、最適な転帰のためにレベルIIからVまでの解離が必要です。 J Am Coll Surg(外科外科医)です。 2016;222(6):1066-1073. DOI:10.1016/J.JamCollSurg.2016.02.006。
- ラオ・V、スバシュ・A、シンハ・P、チャッタジー・S、ナヤール・RC。Xポインター:脊髄副神経と大耳神経の忘れられた解剖学的関係。外科腫瘍科。2021;37:101522.DOI:10.1016/j.Suronc.2021.101522.
-
アネホスール V、クルカルニ K、クマール N. 脊髄副神経の解剖学的変異と頸部解離における同定のためのランドマーク:臨床研究。 J マキシロファック口腔外科。2021年9月;20(3):426-431. DOI:10.1007/S12663-021-01542-Z。
Cite this article
ギブソン・C、カーリング・T. 転移性乳頭状甲状腺癌に対する両側修正根治的頸部郭清術。 J Med Insight。 2024;2024(238). doi:10.24296/jomi/238。


