Primer hiperparatiroidizm ve paratiroid adenomunda lokal servikal blok anestezi altında minimal invaziv paratiroidektomi
Main Text
Table of Contents
Hem preoperatif paratiroid tümör tanımlamasındaki iyileşme hem de intraoperatif paratiroid hormon (PTH) testinin kullanımı ile minimal invaziv paratiroidektomi (MIP), primer hiperparatiroidizmi (pHPT) olan hastalarda hem tarihsel hem de servikal eksplorasyona kıyasla daha sık uygulanmaktadır. Yine de birçok kurum bölgesel veya lokal anestezi altında MIP'nin yapılmasına aşina değildir. Lokal servikal blok anestezisi altında böyle bir ameliyatı sunuyoruz.
Primer hiperparatiroidizmli (pHPT) hastaların yaklaşık% 85'inde tek bir adenom bulunur ve tek lezyonun rezeksiyonu ile iyileşir. Kalan hastalarda çift adenom (% 3-5) veya dört bez hiperplazisi (% 10-15) görülür. 1 Fokuslu minimal invaziv paratiroidektomi (MIP) artık bölgesel veya lokal anestezi altında yapılabilmektedir. MIP, genellikle yüksek kaliteli sestamibi taramaları, ultrasonografi veya dört boyutlu paratiroid bilgisayarlı tomografi (4DCT) taramaları ile ameliyat öncesi paratiroid lokalizasyonundan sonra gerçekleştirilir. Yeterli bir rezeksiyonu doğrulamak için hızlı bir intraoperatif paratiroid hormonu (PTH) testi kullanılır.
Hasta, biyokimyasal olarak kesin olmayan primer hiperparatiroidizmi olan 60 yaşında bir kadındır. Tiroid nodülü açısından değerlendiriliyordu ve bunun için çalışırken kan ve idrar kalsiyum seviyelerinin yükseldiği bulundu. Hastanın semptomları arasında femur boynunda -2.6 ve lomber omurgada -2.3 T-skoru olan açık osteoporoz bulunur. Nefrolitiazis veya belirgin nörokognitif semptom öyküsü yoktu. Ses kısıklığı, yutma güçlüğü veya nefes almada zorluk şikayetleri yoktur. Boynuna veya yüzüne radyasyon öyküsü yok.
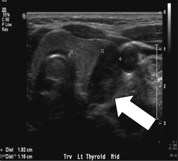
Biyokimyasal değerlendirme, toplam serum kalsiyumu 10.7 mg / dl (referans aralığı 8.8-10.2 mg / dl), yüksek PTH seviyeleri 76-81 pg / ml (referans aralığı 10-65 pg / ml) ve 24 saatlik idrar kalsiyumu 438 mg / 24 saat olan hiperkalsiüri gösterir. Preoperatif olarak hem ultrasonografi hem de tek foton emisyonlu bilgisayarlı tomografi (SPECT) ile sestamibi ile yapılan görüntülemede sol alt paratiroid lezyonu düşündürdü.
pHPT'li hastalarda preoperatif planlama için en doğru görüntüleme yöntemi paratiroid 4DCT'dir. Paratiroid 4DCT, BT anjiyografiye benzer. 2 Terim, zaman içinde kontrast perfüzyonundaki değişikliklere atıfta bulunan ek bir boyuta sahip üç boyutlu BT taramasından türetilmiştir. Hiper işlevli paratiroid bezlerinin perfüzyon özelliklerindeki farklılıkları (örneğin, hızlı alım ve yıkama) normal paratiroid bezlerinin ve boyundaki diğer yapılarınkilerle vurgulayan son derece ayrıntılı, çok düzlemli görüntüler elde edilir. SPECT'li sestamibi ile karşılaştırıldığında, 4DCT önemli ölçüde daha ucuzdur ancak iyonlaştırıcı radyasyona daha fazla maruz kalma ile ilişkilidir ve bu nedenle çocuklarda ve genç erişkinlerde dikkatli kullanılmalıdır. 3 Ayrıca, intravenöz kontrast kullanımı nedeniyle, böbrek yetmezliği olan hastalarda ve eşlik eden, iyi diferansiye tiroid karsinomu olan hastalarda kaçınılmalıdır.
En sık kullanılan modalite, üç boyutlu lokalizasyon oluşturan SPECT ile sestamibi olarak kalır. Sestamibi taramalarının önemli bir sınırlaması, paratiroid adenomlarını taklit edebilen tiroid nodüllerinin veya diğer metabolik olarak aktif dokuların (örn. lenf düğümleri, tiroid nodülleri ve metastatik tiroid kanseri) bir arada bulunmasıdır ve böylece yanlış pozitif sonuçlara neden olur. SPECT'li sestamibi ayrıntılı anatomik tasvir sağlamaz ve vakaların sadece %25-45'inde çift adenomları ve multiglandüler hiperplaziyi saptayabilir. 2
Etkili, noninvaziv ve ucuz olduğu için ultrasonu rutin olarak yapıyoruz. Kısıtlılıklar arasında hem operatör bağımlılığı hem de mediastinal adenomların boyunla sınırlı olması nedeniyle görüntülenememesi yer almaktadır. Normal paratiroid bezi genellikle sonografik olarak görüntülenemeyecek kadar küçükken, pHPT'de görülen paratiroid büyümesi genellikle homojen hipoekoik ekstratiroidal oval kitle olarak tanımlanır. Paratiroid adenomları tipik olarak vaskülerdir ve sıklıkla lezyonun üst veya alt kutbuna kadar bir arteriyel dal takip edilebilir. Kendi başına, ultrason yaklaşık% 50-75'lik bir gerçek-pozitif orana sahiptir ve daha büyük bezler için genellikle daha iyi oranlara sahiptir. 2
Bu hasta endokrinolog tarafından pozitif görüntüleme yapıldıktan sonra sevk edildi (hem ultrason hem de SPECT ile sestamibi sol alt paratiroid lezyonu düşündürdü). Böyle bir senaryoda, hastayı 4DCT taramasına tabi tutmazdım.
Tedavi edilmemiş pHPT'nin doğal öyküsü ayrıntılı olarak incelenmiştir ve tümü makalenin kapsamı dışında kalan kemik ve böbrek, nörobilişsel ve kardiyovasküler fonksiyonların bozulmasını içerir. 4
pHPT için cerrahi dışında başka bir küratif tedavi yoktur. Bununla birlikte, serum kalsiyumunun geçici olarak düşürülmesi farmakolojik olarak yapılabilir. 4
MIP endikasyonları, geleneksel servikal eksplorasyon endikasyonları ile aynıdır: semptomatik hastalar veya en son Ulusal Sağlık Enstitüleri (NIH) konsensüs toplantısı tarafından belirlenen kriterleri karşılayan asemptomatik pHPT'li hastalar. 4 Ek olarak, cerrahinin daha liberal kullanımını desteklemek için önemli veriler bulunmaktadır, çünkü hastalık, bazıları ameliyat sonrası iyileşiyor gibi görünen çeşitli "klasik olmayan" morbidite ile ilişkilendirilmiştir. 4 Bunlara nörobilişsel bozukluklar ve kardiyovasküler anormallikler dahildir.
pHPT için tek taraflı cerrahi ilk olarak 1975 yılında savunuldu ve araştırılacak taraf palpasyon, özofagus görüntüleme, venografi veya arteriyografiye dayanarak seçildi. 5 MIP'nin başarısı, en az konvansiyonel bilateral eksplorasyon ile elde edilenler kadar iyi olan tedavi ve komplikasyon oranlarının kanıtlarıyla doğrulanmıştır. 6 MIP'in komplikasyon oranı standart servikal yaklaşıma benzer veya daha düşüktür. 7 Tekrarlayan laringeal sinir yaralanması vakaların% 0,5-1,0'ında ortaya çıkabilir. 6 Tek bir bez keşfedilir ve çıkarılırsa kalıcı hipoparatiroidizm riski yoktur, ancak multiglandüler hastalık için subtotal paratiroidektomi geçiren hastalarda her zaman bir endişe vardır.
Mevcut hasta, pHPT'sinin biyokimyasal bir tedavisini gösterdi ve herhangi bir komplikasyon yaşamadı.
Endotrakeal tüp (ETT) veya laringeal maske hava yolu (LMA) kullanan genel anestezi yerine monitörize anestezi bakımı (MAC) ile lokal ve bölgesel blok anesteziyi tercih ediyorum. Bölgesel blok ameliyathanede cerrah tarafından gerçekleştirilir ve intravenöz takviye anestezi uzmanı tarafından yönlendirilir. Çoğu hastada, 1:100.000 epinefrin içeren% 1 lidokain kullanılır ve operasyon sırasında gerektiği gibi eklenir. İntravasküler uygulamadan kaçınmak için anestezik vermeden önce aspire etmeye özen gösterilir. Uygulanan toplam kümülatif lidokain hacmi tipik olarak 18-25 ml'dir. İntravenöz sedasyon, fonasyon yapabilen uyanık, bilinçli bir hastayı korurken hasta kaygısını en aza indirmek için kullanılır. 1
Bölgesel anestezi, bulantı ve kusma gibi genel anestezi ile ilişkili komplikasyonları önler. Endotrakeal entübasyondan kaçınmak faydalıdır çünkü hastaların% 5'ine kadar ses teli değişikliklerine neden olduğu bildirilmiştir. 6, 8 Ayrıca, bilinçli bir hastayı araştırmak, üst ve rekürren laringeal sinir fonksiyonlarının intraoperatif değerlendirmesine izin verir, çünkü hasta işlem sırasında ses çıkarabilir.
Hiçbir preoperatif görüntüleme yöntemi, iyi eğitimli, düşünceli bir paratiroid cerrahına olan ihtiyacın yerini alamaz. 9 MIP yapan cerrahlar, paratiroid bezlerinin embriyolojisini ve anatomisini anlamalıdır. Embriyonik gelişim ve paratiroid bezlerinin servikal boynuna iniş, oldukça değişken bir anatomiye yol açar. Ektopik paratiroid dokusu sıklıkla tiroid, timus, mediasten, karotis kılıfı ve trakeoözofageal oluk içinde görülür. İnmemiş bezler, karotis çatallanması boyunca veya gırtlak boyunca yerleştirilebilir.
MIP tekniği, paratiroid adenomu lokalize edildikten sonra bireyselleştirilir. Tipik olarak, 2.5-3.5 cm'lik kısaltılmış bir Kocher insizyonu yapılır, bunu sınırlı subplatismmal flepler oluşturulur ve medyan raphe'nin açılması izler. Tiroid bezi daha sonra anteromedial olarak mobilize edilir. Paratiroid adenomu daha sonra preoperatif görüntüleme ile desteklenir ve tanımlanır. Paratiroid tümör hücrelerini dökebilecek kapsülünün yırtılmasını önlemek için paratiroid adenomunu nazikçe ele almak önemlidir. Paratiroid bezi kavranırsa, paratiroidin genellikle bezin etrafında uzanan yağ yastığı veya uç arteriyel kan kaynağı ile ele alınması tercih edilir. Uç arteriyel kan akımı, klipsler veya ipek bağlar kullanılarak bağlanır. Paratiroid adenomunun eksizyonundan önce, rekürren laringeal sinir korunur. Paratiroid cerrahisi titiz bir işlemdir ve ameliyat deneyimi nüks ve persistans oranları ile komplikasyonlar arasında ilişki göstermektedir. 1 Prosedür, intraoperatif PTH ölçümleri ile yönlendirilir.
İntraoperatif PTH ölçümü rutin olarak uygulanmaktadır. PTH'nin dolaşımdaki yarılanma ömrü 3.5-4.0 dakikadır ve bu nedenle PTH seviyeleri ameliyattan önce ve tümör ekstraksiyonundan 5 ve 10 dakika sonra elde edilir. Hiper işlevli paratiroid adenomunun çıkarılmasından sonraki 5 veya 10 dakika içinde PTH seviyeleri düşmelidir (%>50), çünkü kalan normal paratiroid bezleri tek PTH kaynağıdır. Bu durumda, hasta ek bir incelemeye ihtiyaç duymaz. Periferik venöz PTH seviyesinin yeterince düşememesi, hiperfonksiyonel paratiroid dokusunun kaldığını düşündürür ve rejyonel veya genel anestezi altında ek cerrahi endikedir. Paratiroid rezeksiyonunun eksiksizliğini doğrulamak için değerli bir yardımcı olmasının yanı sıra, hızlı PTH testi, pHPT tedavisinde diğer yönlere yararlı bir yardımcıdır. PTH'yi ölçmek için paratiroid cerrahisi sırasında eksize edilen dokunun ex vivo ince iğne aspirasyonlarını rutin olarak gerçekleştiriyoruz. Pozitif bir aspirat, 1.000 pg / ml'den daha yüksek PTH seviyeleri gösterecektir. Bu, çoğu durumda donmuş kesit analizine olan ihtiyacı ortadan kaldırmıştır. İntraoperatif PTH testine büyük ölçüde güvenmemize rağmen, klinik yargının yerini almaz ve test bu bağlamda yorumlanmalıdır. 1
Patolojide 507 mg (normalde yaklaşık 30-40 mg) ağırlığında genişlemiş (1.8 cm) ve hücresel paratiroid bezi ortaya çıktı. Ameliyattan sekiz gün sonra ameliyat sonrası ziyarette, hastanın toplam serum kalsiyumu 9.5 mg/dl (referans aralığı 8.8-10.2 mg/dl) normaldi ve normal PTH seviyesi 32 pg/ml (referans aralığı 10-65 pg/ml) idi. Ses teli fonksiyonu da normaldi.
Özel bir ekipman kullanılmadı.
Açıklanacak bir şey yok.
Bu video makalesinde atıfta bulunulan hasta, filme alınması için bilgilendirilmiş onayını vermiştir ve bilgi ve görüntülerin çevrimiçi olarak yayınlanacağının farkındadır.
References
- Carling T, Udelsman R. Paratiroidektomiye odaklanmış yaklaşım. Dünya J Cerrahi. 2008; 32(7):1512-1517. doi:10.1007/s00268-008-9567-z.
- Starker LF, Mahajan A, Björklund P, Sze G, Udelsman R, Carling T. De novo primer hiperparatiroidizmli hastalar için ilk lokalizasyon çalışması olarak 4D paratiroid BT. Ann Cerrahi Oncol. 2011; 18(6):1723-1728. doi:10.1245/s10434-010-1507-0.
- Mahajan A, Starker LF, Ghita M, Udelsman R, Brink JA, Carling T. Paratiroid dört boyutlu bilgisayarlı tomografi: primer hiperparatiroidizmde paratiroid tümörlerinin preoperatif lokalizasyonu sırasında radyasyon dozu maruziyetinin değerlendirilmesi. Dünya J Cerrahi. 2012; 36(6):1335-1339. doi:10.1007/s00268-011-1365-3.
- Bilezikian JP, Brandi ML, Eastell R, et al. Asemptomatik primer hiperparatiroidizmin yönetimi için kılavuzlar: Dördüncü Uluslararası Çalıştayı'ndan özet açıklama. J Clin Endokrinol Metab. 2014; 99(10):3561-3569. doi:10.1210/jc.2014-1413.
- Roth SI, Wang CA, Potts JT Jr. Primer hiperparatiroidizme ekip yaklaşımı. Uğultu Pathol. 1975; 6(6):645-648. doi:10.1016/S0046-8177(75)80073-6.
- Udelsman R, Lin Z, Donovan P. Primer hiperparatiroidizmi olan 1650 ardışık hastaya dayanan minimal invaziv paratiroidektominin üstünlüğü. Ann Cerrahi. 2011; 253(3):585-591. doi:10.1097/SLA.0b013e318208fed9.
- Bergenfelz A, Lindblom P, Tibblin S, Westerdahl J. Primer hiperparatiroidizm için tek taraflı ve bilateral boyun eksplorasyonu: prospektif randomize kontrollü bir çalışma. Ann Cerrahi. 2002; 236(5):543-551. doi:10.1097/01.SLA.0000032949.36504.C3.
- Kark AE, Kissin MW, Auerbach R, Meikle M. Tiroidektomi sonrası ses değişiklikleri: dış laringeal sinirin rolü. Br J Med (Klinik Res Ed). 1984; 289(6456):1412-1415. doi:10.1136/bmj.289.6456.1412.
- Stålberg P, Carling T. Ailesel paratiroid tümörleri: tanı ve yönetim. Dünya J Cerrahi. 2009; 33(11):2234-2243. doi:10.1007/s00268-009-9924-6.
Cite this article
Carling T. Primer hiperparatiroidizm ve paratiroid adenomu için lokal servikal blok anestezisi altında minimal invaziv paratiroidektomi. J Med İçgörü. 2022; 2022(225). doi:10.24296/jomi/225.

