ロボット腹部横切リリース(TAR)
Main Text
Table of Contents
58歳の患者は、以前のヘルニア修復手術でメッシュ感染とその後の再発性切除手術を経て、再発性切開ヘルニアの修復のためにロボット両側横腹筋放出術(TAR)を受けました。このアプローチは、患者の手術歴、ヘルニア欠損の大きさ、収縮性小腸の範囲に基づいて選ばれました。両側TARを円滑にするためにダブルドッキング技術が用いられ、大型の多孔質ポリプロピレンメッシュが設置されました。この症例は複雑なヘルニア修復における意思決定の過程を浮き彫りにし、ロボットによる両側TAR実施の技術的考慮事項を示しています。
再発性ヘルニア;腹側ヘルニア;ロボット横腹筋放出;切開ヘルニア。
再発性切開ヘルニアは腹部手術後の一般的な合併症であり、特に以前にメッシュ除去が必要だった患者やメッシュの失敗を経験した患者に顕著です。再発するヘルニアの多くは再発リスクを減らすためにメッシュで修復されます。メッシュは腹壁内のさまざまな平面に設置可能ですが、事前にメッシュの設置を決める際には、メッシュの位置を慎重に考慮することが特に重要です。筋膜閉鎖の緊張を軽減し、メッシュの重なりを最適化するために、部品分離を含む高度な腹壁再建技術がますます利用されています。本例では、腹膜内オンレーメッシュの既往があり、メッシュ感染とその後の移植手術を併発した患者の再発性切開ヘルニアを修復するために、ロボットによる両側腹横腹筋放出(TAR)を実施しました。
患者は58歳の男性で、体格指数(BMI)35 kg/m2、米国麻酔学会(ASA)の身体状態クラスIIに分類され、抗凝固薬の使用歴はありません。彼の手術歴は、2021年に腹膜内オンレーメッシュを用いた臍ヘルニア修復術で注目されており、合併症なく回復しました。2023年に急性虫垂炎を発症し、腹腔鏡下虫垂切除術を受けました。その手術中、以前に埋め込まれたメッシュにトロカーが挿入され、メッシュが破綻しました。さらに、手術中は腹腔内メッシュが露出していました。術後、患者はメッシュ感染を発症し、最終的な管理のために開放メッシュの移植が必要となりました。その後、彼は再発性切開ヘルニアを発症し、それが徐々に拡大し症状を呈し、痛みが主な訴えとなっています。
診察では、圧痛的な非還元性臍(M3ゾーン)切開ヘルニアがありました。表面的な皮膚の変化はありませんでした。
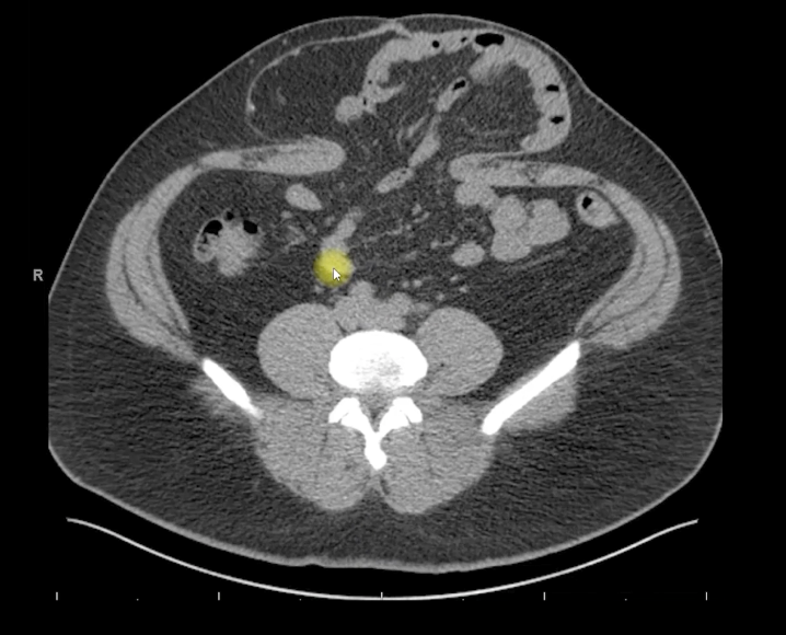
腹部のCTスキャンでは、上腹部の離位4cmとM3ゾーンに8cmのヘルニア欠損が認められました。直筋自体はどちらも約8cmの大きさでした。ヘルニアには閉塞していない小腸のループがあり、嚢への癒着の兆候がありました。
図1。 この患者の腹部骨盤CTの軸方向図で、8cmの筋膜欠損を伴う腹側中央ヘルニアが認められています。ヘルニアの中に小腸の証拠があります。両側の直直筋も見ることができ、こちらも約8cmの大きさです。
成人の場合、ヘルニアは通常、2つの臨床経過のいずれかをたどります。すなわち、比較的安定した大きさを保つか、時間とともに徐々に大きくなる場合です。症状がほとんどない患者もいれば、痛みや機能制限、腸閉塞などの合併症を経験する患者もいます。ヘルニアは自然に治るわけではなく、最終的な治療には外科的介入が必要です。症状のあるヘルニアには一般的に外科的修復が推奨されますが、重大な併存疾患が手術介入を困難にする場合を除きます。
患者は進行性ヘルニアの拡大とそれに伴う痛みがあり、生活の質を著しく低下させました。したがって、手術介入が求められました。手術計画ではヘルニアの大きさや位置、特に過去のヘルニア修復を含む患者の手術履歴など複数の要素が考慮されました。創傷の罹患率が重要な考慮事項であり、特に患者のメッシュ感染歴を考慮し、手術部位の合併症リスクを最小限に抑える手術的アプローチが優先されました。
単独で考えた場合、このヘルニアの大きさと位置は、低侵襲の腹腔内修復、腹膜前修復、後筋修復、オンレーなど複数の手術的アプローチが可能である。これらのアプローチは主にメッシュの位置で異なります。腹腔内の腹腔内挿入、腹膜の外側に位置する前腹膜の位置;筋肉の後方平面に後筋が位置し、オンレーは前筋膜の浅層に配置されます。
この場合、患者の腹膜内メッシュ感染歴およびその後の移植手術の既往歴、術前コンピュータ断層撮影の所見が手術判断の指針となりました。腹膜外全修復術または開放逆直筋法のいずれかを行う際にいくつかの懸念が指摘されました。患者は境界線上のカルボネル比(逆直筋の幅が欠損幅とほぼ等しい)を示し、8cmの筋膜欠損の位置で約8cmの両側逆直筋空間が存在しました。さらに、ヘルニア欠損の中にかなりの量の腸が存在し、収容の懸念が高まりました。腹膜内オンレーメッシュの既に切除されていたことから、腹膜および/または後直筋鞘の減衰や欠如についても懸念がありました。
これらの要素を考慮し、患者と手術の選択肢やリスクについて詳細に話し合った結果、ロボットによる両側TAR手術を進める決定がなされました。
この症例は、複雑な再発性切開ヘルニアの管理にロボット双側TARを適用し、先行の腹膜内メッシュ設置、感染、移植の状況を示しています。手術アクセスは右上腹部の光学的挿入技術を用いて安全に行われ、これは腹膜挿入時の内臓損傷リスクを最小限に抑えるために、以前腹部手術を受けた患者に一般的に推奨されるアプローチです。右側には3つのロボットポートが設置され、癒着融解とヘルニア欠損の露出を制御しました。
術前画像に基づく予想通り、ヘルニア嚢内に収縮性大網質と小腸が確認されました。再建前にヘルニア内容物を完全に減少させるため、慎重かつ綿密な癒着融解術が行われました。収容された内臓の完全な減少は、正常な解剖学的構造を回復し、腸閉塞や虚血などの術後の合併症を防ぐために不可欠です。1 ロボットプラットフォームはこの環境で精密な解剖を可能にし、視覚化と器具の可動性を向上させ、従来の開放手術に比べて複雑なヘルニア修復中の腸切開リスクを減らす可能性があります。
段階的な二重ドッキングアプローチが用いられ、二国間のTARを完成させました。シングルドックロボットTARは報告されており、小規模な欠損や片側性病変を持つ選択患者で実現可能かもしれませんが、本例では両側筋膜解放時のエルゴノミクス、可視化、器具のリーチを最適化するためにダブルドッキング技術が好まれました。この方法は、広範な癒着融解と対称的な両側性離脱が必要な場合に特に有利であり、今回のようにそうでした。
MADRID修正のような代替的な技術的修正は、解剖学的に良好な患者、特に後直筋鞘の連続性を解離全長にわたって維持できる患者に検討されることがあります。しかしこの患者では、術前画像および術中所見から、腹膜内メッシュ感染および移植後の後部要素の減衰や不連続性の可能性が懸念され、より伝統的なTARアプローチが耐久性のある後筋面の再現を確実にするために望ましいとされました。
TARは腹壁筋の内側を大幅に前進させつつ、神経血管束を保存するため、大きな欠損や再発性欠損でも緊張のない正中線閉鎖を可能にします。腹腔内メッシュ抜出既往に行われた患者には、TARはメッシュ設置のために血管が整った後筋空間を再構築する利点もあり、腹腔内メッシュの位置と比べて感染率や再発率の低さと関連しています。2
両側TAR終了後、後部層を再近似し、メッシュと腹腔内内容物の間に耐久性のあるバリアを再構築しました。腹膜の一部は動員可能で閉鎖に組み込まれましたが、前回の腹膜内メッシュ感染および移植に関連していると考えられる、縮小または欠損した後直筋鞘の領域が確認されました。そのような場合、閉鎖には後鞘と腹膜の両方を含む複合修復が必要になることが多いです。
後部欠損の最適な管理(完全な後鞘再建か腹膜ブリッジによるか)は引き続き研究中ですが、メッシュ関連の内臓合併症のリスクを減らすためには、連続した後層の回復が一般的に推奨されています。利用可能なデータは、緊張のないクローズメントが得られた場合、これらの戦略間で類似の結果が示唆されていますが、長期比較研究は依然として限られています。
ヘルニア内容物を減らした後に動員可能な腹膜が存在していたことを踏まえ、代替戦略としては、拡張された全腹膜外TARを用いた全腹膜外アプローチへの移行が考えられました。ETEP TARは腹膜の完全性を維持し、腹膜内アクセスを避ける利点がありますが、広範な腹腔内手術歴のある患者、密な癒着、後部層の減衰を懸念する患者では技術的に難しい場合があります。この場合、広範な癒着融解の必要性と後部要素の不確かな完全性が、経腹部ロボットTARの継続を好ましくし、ETEPへの転換を避けました。
前筋膜閉合はヘルニア嚢の修行手術と同時に行われ、デッドスペースを減らすために行われました。ヘルニア嚢の接合は、特に大きな欠損部で、正中線閉鎖後も残存空間が残る可能性がある場合に、術後血清腫形成を抑制する有用な補助として説明されています。
30×30cmの大型多孔質ポリプロピレンメッシュが選定され、後筋ポケットに適合するように調整され、欠損範囲を超えて広い重なりを確保しました。十分な重なりを持つ大型メッシュの設置は、耐久性のあるヘルニア修復の基本原則であり、再発率の低減と一貫して関連しています。1 TARによる後筋メッシュの位置取りは、オンレーや腹膜内技術と比較して創傷の罹患率を最小限に抑えつつ、強固な組織統合と有利な生体力学的サポートを提供します。2
TAR後の後筋空間または前横筋空間内のドレーンの位置は、外科医によって異なるままです。この場合、排水に関する決定は、解離の範囲、嚢の接合による死角管理、綿密な止血に基づいて個別化されました。一部の著者は血清腫形成を減らすために定期的なドレナージを推奨しますが、選択的または無使用で許容できる結果が得られると報告する著者もおり、患者ごとの意思決定の必要性を強調しています。
術前化学成分分離をボツリヌス毒素Aで行うことも検討されましたが、最終的には利用されませんでした。ボツリヌス毒素Aは、大きな欠損やドメインの著しい喪失を持つ患者で腹壁の内向化を促進することがありますが、この患者はドメインの真の喪失の証拠なしに境界性カルボネル比(レトロレクトゥス幅が欠損幅にほぼ等しい)を示し、外科的筋膜解放のみで十分な閉鎖が可能であることを示しました。
最後に、術後の痛み管理を最適化するために、両側腹横筋平面(TAP)ブロックを術中に実施しました。TAPブロックを含む多様性鎮痛戦略は、腹壁再建の回復経路にますます取り入れられており、オピオイドの摂取を減らし術後の回復を改善することが示されています。
まとめると、この症例は、腹膜内メッシュ感染および移植既往の患者における複雑再発性切開ヘルニアに対して、ロボット両側TARが安全かつ効果的な選択肢であることを示しています。代替技術、補助療法、後部再建戦略の慎重な検討は、個々の患者の解剖学や手術履歴に合わせた修復方法を組む上で不可欠です。このロボットプラットフォームは、外科医がこれらの技術的に難しい手順を行う能力を高めるとともに、罹患率を低減する可能性があり、高度な腹壁再建における役割の拡大を支えています。
特に開示することはない。
この動画で言及されている患者は撮影に同意しており、情報や画像がオンラインで公開されることを認識しています。
アニメーションは2026年4月9日に出版後に追加されました。記事の内容に変更はありません。
References
- ホリハン・JL、ハノン・C、グッドナフ・C他。腹側ヘルニア修復:ランダム化比較試験のメタアナリシス。 サージ感染(ラームト)。2017年8月/9月;18(6):647-658. doi:10.1089/sur.2017.029
- カルボネルAM、クリスCN、コブWS、ノヴィツキーYW、ローゼンMJ。汚染された腹側ヘルニア修復における合成メッシュの効果。 J Am Coll Surg(外科外科医)です。2013年12月;217(6):991-8. DOI:10.1016/J.JamCollSurg.2013.07.382
Cite this article
マレロKA、パウリ・エム。ロボット腹部横断筋放出(TAR)。 J Med Insight。 2026;2026(543). doi:10.24296/jomi/543


