Mastectomía parcial (tumorectomía) con Savi Scout para un papiloma no palpable
Main Text
Table of Contents
La mastectomía parcial de la mama, también conocida como tumorectomía, es un procedimiento conservador de la mama que se realiza para extirpar muchos tipos diferentes de masas e irregularidades en el tejido mamario. Esto implica una pequeña incisión oculta en los bordes del pezón o a lo largo de los contornos naturales de la mama, seguida de la disección del área de interés. A continuación, el tejido extirpado se envía a patología para el diagnóstico final del tejido y, si procede, para determinar si se han alcanzado los márgenes adecuados. Además, la utilización de Savi Scout puede ayudar a localizar la masa cuando de otro modo sería difícil de identificar o localizar. De esta manera se pueden extirpar muchas patologías mamarias diferentes, tanto benignas como malignas, dependiendo de los detalles biológicos y específicos de la paciente. En el caso presentado, un papiloma no palpable, que suele ser una lesión benigna de la mama con un mayor riesgo de albergar carcinoma ductal premaligno oculto in situ (CDIS), se extirpa quirúrgicamente debido a la presencia de síntomas preocupantes asociados en la paciente.
Patología benigna de la mama; cirugía conservadora de la mama; cáncer de mama; cirugía de mama; Técnicas de localización sin cables.
Los papilomas intraductales son masas mamarias comunes compuestas por la proliferación de células papilares en los conductos del tejido mamario. 1 Estas lesiones pueden causar masas palpables, dolor en los senos y secreción del pezón que es motivo de preocupación para los pacientes. Cuando los papilomas intraductales tienen características preocupantes en las imágenes, el examen físico o la patología, se recomienda la escisión quirúrgica mediante mastectomía parcial de la mama, y algunas optan por utilizar la localización por radar Savi Scout. Este método de detección puede ayudar a delinear la masa durante la escisión quirúrgica mediante la colocación de una sonda sobre el explorador preoperatorio guiado por imágenes dentro del área de interés. El objetivo del procedimiento en el video asociado es extirpar la lesión en su totalidad para que pueda ser evaluada completamente por patología para detectar cualquier CDIS premaligno subyacente, lo que determinará si se requiere algún tratamiento médico o quirúrgico adicional.
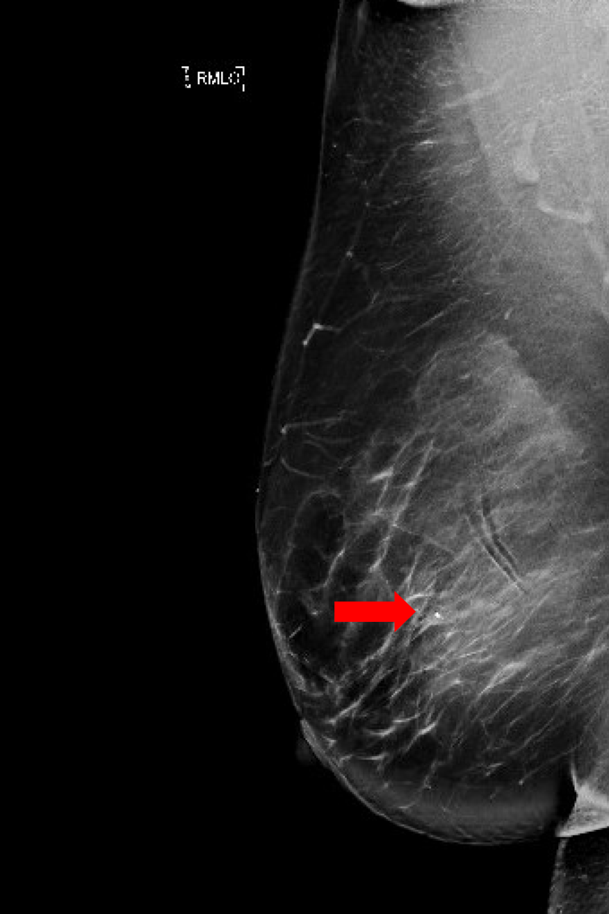
Se trata de una mujer premenopáusica de 46 años, sin antecedentes médicos o quirúrgicos, que acudió inicialmente a la clínica de cirugía mamaria después de que su mamografía anual de cribado descubriera una masa mamaria derecha no palpable de 0,6 x 0,8 x 0,7 cm a las 11 horas (oc), a 1 cm del pezón (FTN) (Figura 1). Se sometió a tres mamografías de detección previas sin ningún hallazgo notable. La mamografía de tamizaje se declaró no concluyente (BI-RADS 0) y se completó una ecografía mamaria con hallazgos similares. Una conversación más detallada con la paciente reveló que se había observado una secreción sanguinolenta en el lado derecho de su sostén en los últimos meses, pero no había otras preocupaciones o síntomas. Ante los hallazgos imagenológicos no concluyentes, se decidió realizar una mamografía diagnóstica para una valoración más específica (Figuras 2a y 2b) tras una biopsia con aguja gruesa guiada por ecografía y la colocación de un clip de localización para el diagnóstico tisular (Figura 3). La anatomía patológica reveló un papiloma intraductal con hiperplasia ductal y una metaplasia apocrina sin atipia. Dada su continua secreción sanguinolenta del pezón, hubo preocupación por posibles células premalignas subyacentes (discutidas más adelante); Por lo tanto, se recomendó que la paciente se sometiera a una mastectomía parcial. La masa permanecía inpalpable; por lo tanto, se colocaría un Savi Scout justo antes de la intervención operativa para ayudar a localizar el área de interés.


Figura 1. Mamografía de cribado inicial (orientación R mediolateral, seguida de craneocaudal). Reveló que el área de cuestión medida tenía un tamaño aproximado de 0,6 x 0,8 x 0,7 cm, ubicada a 11 oc y 1 cm FTN.


Figura 2a. Mamografía diagnóstica posterior a la biopsia. Vista oblicua mediolateral derecha, que incluye un área ampliada para un mejor detalle de la pinza de biopsia en espiral en el área de interés (flecha).


Figura 2b. Vista craneocaudal de la mamografía diagnóstica posterior a la biopsia. Incluyendo una imagen más cercana del área con el clip de biopsia en espiral (flecha).



Figura 3. Localización y biopsia guiadas por ecografía de la masa mamaria en cuestión, observada por primera vez en una mamografía de detección. La imagen posterior a la biopsia incluye los cambios tisulares típicos que se observan una vez que se realiza una biopsia con aguja gruesa (marca de hash).
Es posible que los papilomas no siempre se presenten como una masa palpable en el examen. A menudo, inicialmente se presentarán como una secreción sanguinolenta del pezón de los conductos involucrados, similar a cómo se presentó el paciente anterior. Se debe completar un examen completo de los senos en todas las pacientes con una queja principal de una masa en los senos. Esto debe incluir un examen de los ganglios linfáticos, incluida la axila, para palpar cualquier posible agrandamiento de los ganglios linfáticos. En caso de que estén presentes, el proveedor debe estar atento a una posible neoplasia maligna subyacente, y es posible que se requiera una evaluación adicional para descartarla. Al intentar expresar la secreción del pezón, el proveedor también debe tratar de determinar de qué conductos se origina la secreción, si es posible, especialmente si parece haber varios involucrados.
Una mamografía diagnóstica suele ser la primera opción para la modalidad de diagnóstico por imágenes de las masas mamarias, incluidos los papilomas. También se puede realizar una ecografía mamaria si se requiere una evaluación adicional, similar a lo que se hizo para la paciente anterior. Si los resultados no son concluyentes o si se necesitan imágenes más sensibles, se puede realizar una resonancia magnética de mama, pero esta suele ser la última opción y no siempre es necesaria. Tener las imágenes disponibles para ver en el quirófano puede ayudar a localizar la masa si no es palpable y si el Savi Scout no se puede colocar antes de la operación.
Historia Natural
Los papilomas de la mama comienzan como pólipos benignos de los conductos de la mama y pueden llegar a medir entre 4 y 5 cm, y la mayoría de ellos tienen menos de 1 cm.2 Si los papilomas se encuentran cerca del pezón, pueden causar secreción sanguinolenta del pezón. También se asocian con un mayor riesgo de desarrollar carcinoma ductal in situ (CDIS) de mama, con aproximadamente un 5-20% de riesgo de papilomas sin atipia que contienen tejido canceroso o precanceroso en el momento de su extirpación. El riesgo aumenta en las personas con atipia a aproximadamente el 30-40%. 2 Se deben mantener más conversaciones con las pacientes que presenten atipia en la biopsia de papiloma, incluida la posibilidad de tratamiento endocrino posoperatorio para el tratamiento preventivo del cáncer de mama. 1 Las personas con masas mejoradas pueden requerir tratamiento médico adicional o intervención quirúrgica después de que se extirpe la masa inicial; Sin embargo, el tratamiento del cáncer de mama maligno y premaligno está fuera del alcance de esta revisión.
Después de realizar una biopsia con aguja gruesa de la masa para un diagnóstico de tejido, el tratamiento depende de la presencia de atipia en el papiloma. Se recomienda la escisión quirúrgica mediante tumorectomía para los pacientes con atipia, dado el aumento del riesgo de aumento de la estadificación y CDIS subyacente dentro del papiloma, que se analiza en detalle más adelante en esta revisión. Si el papiloma no presenta atipia en la biopsia, las características del paciente son el factor determinante entre la extirpación quirúrgica y el seguimiento estrecho con imágenes anuales. Las características preocupantes incluyen secreción sanguinolenta del pezón, masa > 1,5 cm de tamaño o > 3 cm del pezón, o que tenga discordancia entre la imagen y la biopsia. 1 Si se presentan estos hallazgos preocupantes, la recomendación de extirpación quirúrgica suele seguir para completar el estudio de las lesiones subyacentes de alto riesgo o neoplasia maligna. Las pacientes que son asintomáticas y no tienen estas características pueden ser monitoreadas con mamografías anuales para detectar cambios. 1,3
Los objetivos del tratamiento con escisión quirúrgica y mastectomías parciales (lumpectomías) son extirpar cualquier posible tejido canceroso de la mama y prevenir el desarrollo o la recurrencia de ese cáncer. El paciente en el caso anterior puede haber tenido un papiloma pequeño; Sin embargo, la secreción sanguinolenta concomitante del pezón generó preocupación por una posible premplasia subyacente o atipia, por lo que se sometió a una biopsia por escisión mediante tumorectomía. 4
El papiloma intraductal de la mama debe diferenciarse de la papilomatosis, es decir, el epitelio hiperplásico dentro de múltiples conductos, que se observa con mayor frecuencia en pacientes más jóvenes. La recurrencia es frecuente y afecta a las mamas bilaterales. La papilomatosis también se asocia con un riesgo 1,5-2 veces mayor de desarrollar CDIS en comparación con los pacientes sin el diagnóstico y se trata con escisión quirúrgica. 5
Al igual que con cualquier procedimiento quirúrgico, cada paciente y sus comorbilidades deben ser evaluados completamente antes de someterse a una tumorectomía. A diferencia de una mastectomía simple estándar, una mastectomía parcial se puede completar con MAC y anestesia local. Estas opciones pueden proporcionar un plan quirúrgico más seguro para las personas con comorbilidades graves. Sin embargo, se deben evaluar todos los sistemas cardíacos, pulmonares y otros sistemas preoperatorios necesarios con comorbilidades sospechadas o conocidas para que el paciente esté debidamente autorizado para el quirófano.
Este caso demuestra el procedimiento típico y los pasos clave para completar una mastectomía parcial (lumpectomía) con localización de Savi Scout. A través de una pequeña incisión, se extrajo todo el tejido necesario sin complicaciones. Las imágenes posteriores a la biopsia y de colocación de Savi Scout se mostraron en todo el caso para ayudar a dirigir la trayectoria general de la escisión; sin embargo, el Savi Scout fue vital para garantizar que solo elimináramos el área de interés. El área de preocupación se localizó con éxito en un área con la respuesta de radar más fuerte, y la disección hacia esta región comenzó a través de la pequeña incisión en la piel. Una vez que la sonda midió la distancia necesaria desde el marcador Savi para indicar que el área de la biopsia estaba correctamente localizada, la región se diseccionó meticulosamente del tejido mamario restante como un pequeño "cubo". Durante la disección de cada lado, el Savi Scout se identificó repetidamente en el tejido mamario aislado mediante el uso de la sonda. Se produjo una pérdida mínima de sangre y se requirió muy poca hemostasia al finalizar la operación. En total, el paciente tuvo un tiempo operatorio total de aproximadamente 1 hora. La orientación se mantuvo durante toda la tumorectomía y cada lado del "cubo" se marcó con los colores de tinta estandarizados para la patología. El espécimen se radiografió intraoperatoriamente dentro de un gabinete de rayos X portátil, donde se obtuvieron imágenes tanto del clip de biopsia como del marcador Savi Scout (Figura 4). El tejido extirpado se envió a anatomía patológica, para que se confirmara el diagnóstico final de papiloma intraductal sin atipia.


Figura 4. Radiografía intraoperatoria de la masa extirpada. Se utiliza para confirmar el área de la biopsia con el clip enrollado (flecha), y se retira el Savi Scout previamente colocado, en forma de barra (estrella). Cuando sea necesario, las radiografías posteriores a la escisión también revelarán si queda algún resto de tejido preocupante presente en los márgenes de la masa extirpada.
Después de su procedimiento, la paciente se recuperó en PACU durante el tiempo requerido en nuestras instalaciones. Fue dada de alta una vez que cumplió con todos los criterios y continuó recuperándose bien en casa. En su cita de seguimiento, su incisión sanó bien sin una cicatriz significativa y sin problemas estéticos. Su secreción sanguinolenta del pezón también se había resuelto en ese momento.
En comparación con una mastectomía total, el tiempo quirúrgico de una tumorectomía suele ser mucho más reducido y no requiere una disección tan extensa. Además, al igual que con el paciente mencionado anteriormente, generalmente no se requiere una estadía de una noche con una tumorectomía. La tumorectomía, por lo tanto, no solo proporciona una recuperación más rápida para las pacientes, sino que también puede conducir a una opción mucho más rentable para el manejo quirúrgico de la patología mamaria, cuando corresponda.
Las opciones quirúrgicas conservadoras de la mama pueden ser la opción preferida para los pacientes cuando se habla de la extirpación de lesiones típicamente benignas. La satisfacción de la paciente con la apariencia postoperatoria y la estética se correlaciona con la cantidad de volumen mamario extirpado; 6 Por lo tanto, la localización de la masa es vital para garantizar que solo se extraiga el tejido mamario necesario y que queden todos los restos mamarios sanos posibles. Las opciones de localización han seguido desarrollándose a lo largo de los años. El uso inicial de la localización por cable se consideró una opción aceptable y se continúa hoy en día en algunas instalaciones; 7,8 Sin embargo, el malestar del paciente, el desprendimiento y la migración del alambre y los malos resultados cosméticos y quirúrgicos condujeron al desarrollo de opciones de localización más efectivas. 8,9,10,11 En un metanálisis, se encontró una tendencia hacia menos márgenes positivos y menos reescisión con la localización sin alambre en comparación con la localización guiada por alambre; 8 Sin embargo, esto no fue estadísticamente significativo. Se favoreció una mejor calidad de vida y estética en los grupos de localización sin alambre, incluido Savi Scout, probablemente relacionado con el aumento de la cantidad de tejido sano que probablemente se deje en su lugar y la evitación de la reoperación. 8 Además, dado que el radiólogo puede colocar el localizador sin alambre en el tejido en cualquier punto de entrada sin dejar una incisión grande, la incisión quirúrgica se puede hacer de la manera más agradable desde el punto de vista cosmético disponible para el paciente. 8 Por lo tanto, cuando se trata una lesión probablemente benigna, como un papiloma sin atipia, el uso de opciones de localización guiadas sin alambre ayudará a garantizar que se extirpe el área objetivo y mejorará los resultados del paciente después de la operación.
El tratamiento quirúrgico de los papilomas frente a la conducta expectante ha sido objeto de varias comparaciones diferentes e investigaciones en profundidad. En primer lugar, es importante determinar si en la biopsia se encuentra que el papiloma tiene atipia o no. Cuando se diagnostica un papiloma con atipia confirmado por biopsia, siempre se recomienda que se realice la extirpación quirúrgica debido al riesgo elevado de mejoría en el momento de la escisión. 12,13 Sin embargo, se han realizado varias investigaciones para determinar si los papilomas sin atipia requieren o no extirpación quirúrgica, o si sería más seguro someterse a una conducta expectante, dado que se evitaría el riesgo de cirugía. En un pequeño estudio retrospectivo de un solo centro, se revisaron 138 casos de papiloma sin atipia y se encontró que el 2,4 % de las patologías extirpadas quirúrgicamente y el 11,67 % adicional se elevaron a lesiones de alto riesgo. 14 El grupo de manejo conservador tuvo un gran número de pacientes perdidos durante el seguimiento y, por lo tanto, no pudo concluir que la espera vigilante fuera una opción aconsejable para los papilomas sin atipia. 14 Los hallazgos de este estudio fueron similares a varios otros, con una tasa relativamente alta de papilomas mejorados a lesiones de alto riesgo o in situ. De 15 a 17 años Sin embargo, estos estudios no delimitaron entre los que incluyen síntomas o hallazgos de alto riesgo y los que parecen benignos. Dado que no se tuvieron en cuenta los factores de confusión, se realizaron estudios adicionales para determinar qué signos o síntomas indican un mayor riesgo de mejoría en los papilomas sin atipia. Ciertos estudios clasificaron los papilomas según el tamaño, la concordancia de las imágenes y otros síntomas preocupantes, como la secreción sanguinolenta del pezón. En uno de estos estudios, se encontró que solo el 2,1 % de los pacientes presentaban una mejora a neoplasia maligna en el momento de la extirpación quirúrgica; 18 Sin embargo, se recomendó la extirpación de las masas más grandes de más de 1,5 cm debido a su asociación con un mayor riesgo subyacente de mejoramiento (p = 0,02). 18 Se realizó un metanálisis que también incluyó los datos de otros dos centros para determinar el riesgo de mejoría de la lesión después de la escisión y se encontró que solo el 0,6% de las lesiones extirpadas requirieron una estadificación postoperatoria. 19 Estos resultados no incluyeron papilomas discordantes en sus imágenes o que se consideraron lesiones de alto riesgo. Llegaron a la conclusión de que los papilomas concordantes de bajo riesgo sin atipia pueden someterse a una conducta expectante y evitar la intervención quirúrgica, suponiendo que no se produzcan desarrollos preocupantes. 19 La evaluación clínica y la preocupación deben dirigir el manejo médico a la hora de decidir si es necesaria la extirpación quirúrgica, como se hizo con el caso comentado anteriormente.
Se utilizaron diversos equipos para realizar la mastectomía parcial con localización Savi Scout. El Savi Scout y su sonda de localización fueron esenciales en este caso a la hora de localizar tejido que no era fácilmente identificable. Fabricado por Merit Medical Systems, el sistema de localización por radar SCOUT ayuda a identificar la dirección correcta hacia el chip colocado en el tejido y su distancia a la sonda. Además, el procedimiento utilizó un gabinete de rayos X portátil para obtener imágenes del tejido extirpado para la confirmación intraoperatoria inmediata de que el área de la biopsia se extirpó en su totalidad. Durante el procedimiento se utilizó el sistema de radiografía Trident HD Specimen System; Sin embargo, hay muchas otras opciones que pueden estar disponibles en diferentes instituciones.
Declaramos que este artículo ha sido creado sin ningún patrocinio o apoyo financiero de terceros.
Los autores desean agradecer a la Dra. Lauren Kwasny, DO, por organizar y brindar la oportunidad de participar en esta oportunidad educativa.
El paciente al que se refiere este artículo en vídeo ha dado su consentimiento informado para ser filmado y es consciente de que la información y las imágenes se publicarán en línea.
References
- Sabel MS. Lesiones proliferativas sin atipia: papilomas intraductales. En: UpToDate. Chagpar AB, Whitman GJ, eds. Wolters Kluwer, 2025. Consultado el 29 de marzo de 2025.
- Calvillo KZ, Portnow LH. Papilomas intraductales de mama. Ann Breast Surg. 2021;5:18-24. doi:10.21037/ABS-20-113.
- Sociedad Americana de Cirujanos de Mama. Cirugía conservadora de la mama/mastectomía parcial. Sociedad Americana de Cirujanos de Mama; 2020. Disponible en: https://www.breastsurgeons.org/docs/statements/asbrs-rg-breast-conserving-surgery-partial-mastectomy.pdf.
- Al Sarakbi W, Worku D, Escobar PF, Mokbel K. Papilomas de mama: tratamiento actual con un enfoque en una nueva modalidad diagnóstica y terapéutica. Int Semin Surg Oncol. 2006; 3(1). doi:10.1186/1477-7800-3-1.
- Debnath D, Al-Okati D, Ismail W. Papilomatosis múltiple de mama y elección del tratamiento por parte de la paciente. Patholog res int. 2010;2010:540590. doi:10.4061/2010/540590.
- Cochrane RA, Valasiadou P, Wilson ARM, et al. La estética y la satisfacción después de la cirugía conservadora de la mama se correlacionan con el porcentaje de volumen de la mama extirpada. Hno. J Surg. 2003; 90(12):1505-1509. doi:10.1002/bjs.4344.
- Hall F, Frank H. Localización preoperatoria de lesiones mamarias no palpables. Am J Roentgenol. 1979;132:101-105. doi:10.2214/ajr.132.1.101.
- Garzotto F, Comoretto RI, Michieletto S, et al. Localización de lesiones mamarias preoperatorias no palpables, técnicas innovadoras y resultados clínicos en la práctica quirúrgica: revisión sistemática y metanálisis. J Pecho. 2021;58:93-105. doi:10.1016/j.breast.2021.04.007.
-
Ahmed M, van Hemelrijck M, Douek M. Revisión sistemática de la localización radioguiada frente a la guiada con alambre en el tratamiento de cánceres de mama no palpables. Tratamiento del cáncer de mama. julio de 2013; 140(2):241-52. doi:10.1007/s10549-013-2547-5.
-
Dua SM, Gray RJ, Keshtgar M. Estrategias para la localización de lesiones mamarias impalpables. J Pecho. 2011;20:246-253. doi:10.1016/j.breast.2011.01.007.
-
Pouw B, de Wit-van der Veen LJ, Stokkel MPM, Loo CE, Vrancken Peeters MJ, Valdés Olmos RA. ¿Hacia la localización de semillas radiactivas en la cirugía de cáncer de mama no palpable? Un meta-análisis. J Surg Oncol. 2015; 111:185-191. doi:10.1002/jso.23785.
-
Catanzariti F, Avendaño D, Cicero G, et al. Lesiones de alto riesgo de la mama: herramientas diagnósticas concurrentes y recomendaciones de tratamiento. Imágenes de perspectivas. 2021; 12(1):63. doi:10.1186/s13244-021-01005-6.
-
Lamb LR, Bahl M. Enfoque pragmático basado en la evidencia para el tratamiento de las lesiones mamarias limítrofes o de alto riesgo. AJR Am J Roentgenol. 2022; 218(1):186-187. doi:10.2214/AJR.21.26340.
-
Moynihan A, Quinn EM, Smith CS, et al. Papiloma de mama benigno: ¿es necesaria la escisión quirúrgica? J Pecho. 2019; 26(4):705-710. doi:10.1111/tbj.13642.
-
Tatarian T, Sokas C, Rufail M, et al. Papiloma intraductal con patología benigna en la biopsia con aguja gruesa de mama: ¿extirpar o no? Ann SurgOncol. 2016; 23(8):2501‐2507.8. doi:10.1245/s10434-016-5182-7.
-
Jaffer S, Nagi C, Bleiweiss IJ. La escisión está indicada para el papiloma intraductal de mama diagnosticado en una biopsia con aguja gruesa. Cáncer. 2009; 115(13):2837‐2843.9. doi:10.1002/cncr.24321.
-
Rizzo M, Linebarger J, Lowe MC, et al. Tratamiento de las lesiones papilares de la mama diagnosticadas en la biopsia con aguja gruesa: análisis clínico patológico y radiológico de 276 casos con seguimiento quirúrgico. J AmColl Surg. 2012; 214(3):280‐287. doi:10.1016/j.jamcollsurg.2011.12.005.
-
Polat DS, Knippa EE, Ganti R, Seiler SJ, Goudreau SH. Papilomas de mama benignos sin atipia diagnosticados con biopsia con aguja gruesa: resultado de la escisión quirúrgica y seguimiento por imágenes. Eur J Radiol. 2020;131:109237. doi:10.1016/j.ejrad.2020.109237.
-
Grimm, LJ, Bookhout, CE, et al. Los papilomas de mama concordantes y no atípicos no requieren escisión quirúrgica: un estudio multiinstitucional de 10 años y revisión de la literatura. Clin Imag. 51:180-185. doi:10.1016/j.clinimag.2018.04.021.
Cite this article
Flessland OD, Moberg LA, Fortes TA. Mastectomía parcial (lumpectomía) con Savi Scout para un papiloma no palpable. J Med Insight. 2025; 2025(492). doi:10.24296/jomi/492.



