Ulnar Sinir Dekompresyonu, Kubital Tünel Gevşetme ve Ulnar Sinirin Anterior Subkutan Transpozisyonu ile Sol Dirsek Eksplorasyonu ve Donanım Çıkarılması
Main Text
Table of Contents
Distal humerus kırıkları dünya çapında bir yaralanma olup, operatif fiksasyon tercih edilen tedavi yöntemidir. Ulnar nöropati, cerrahinin olası komplikasyonlarından biridir ve semptom çözünürlüğünü sağlamak için ek bir ameliyat gerektirebilir. Bu videoda, Dr. Agarwal-Harding, daha önce distal humerus kırığının açık redüksiyonu ve iç fiksasyonu ile tedavi edilen bir hastayı yönetiyor, ancak iyileşmesi ulnar nöropati ile karmaşıktı. Ulnar nöroliz, distal humerusun medial kolonundan donanım çıkarılması ve ulnar sinirin adipofasiyal flep ile anterior transpozisyonu gerçekleştirir. Gerekçe ve tedavi seçenekleri de dahil olmak üzere cerrahi hususlar tartışılmıştır.
Ulnar sinir sıkışması; kübital tünel sendromu; distal humerus kırığı; ulnar sinir sıkışması.
Üst ekstremitedeki travmatik yaralanmalar, ortopedi cerrahına başvurunun yaygın bir nedenidir. Bunlardan distal humerus kırıklarının görülme sıklığı 100.000'de 5,7'dir ve 2030 yılına kadar görülme sıklığında en az üç kat artış öngörülmektedir. 1,2 Bu oranların Amerika Birleşik Devletleri'nde daha yüksek olduğu ve 65 yaş ve üstü 100.000 yetişkin başına 68 insidansı bildirildiği belirtilmektedir. 3 12-19 yaş arası genç erkekler ve 80 yaş üstü yaşlı kadınlar, genellikle yüksek enerjili travma veya osteoporozdan etkilenen düşük enerjili travma nedeniyle bu yaralanma ile en sık başvururlar. 1
Tarihsel olarak, bu yaralanmalar konservatif olarak tedavi edildi; Bununla birlikte, modern ortopedik cerrahi uygulamalar artık mükemmel uzun vadeli sonuçları gösteren çok sayıda raporla birlikte operatif müdahaleyi desteklemektedir. 4,5 Optimal cerrahi yaklaşım ve fiksasyon yöntemi ortopedi cerrahları arasında tartışma konusudur; Bununla birlikte, nihai amaç, kırık bileşenlerinin yeterli maruziyeti ile kolaylaştırılan ve dirseğin fonksiyonel iyileşme şansını en üst düzeye çıkaran uyumlu eklem redüksiyonunu sağlamaktır. 6
Distal humerus kırıklarının operatif fiksasyonu şu anda tercih edilen onarım yöntemi olsa da, bu olası komplikasyonlar olmadan değildir. Bu komplikasyonlardan biri, hastaların yaklaşık% 25'inde meydana gelen kırık onarımını takiben dirsekte ulnar sinirin sıkışması veya sıkışmasıdır. 7 Semptomlar arasında elin ulnar dağılımında uyuşma ve parestezinin yanı sıra içsel el kas sisteminin zayıflığı ve hatta erimesi yer alır. Bu rahatsız edici ve oldukça zayıflatıcı olabilir, elin ince motor fonksiyonunu azaltır.
Ulnar sinir, distal humerus medial epikondiline yakın bir yerde bulunur ve kırık fiksasyon cerrahisi sırasında tanımlanmalı, korunmalı ve geri çekilmelidir. Distal humerusun medial kolon boyunca plakların ve vidaların yerleştirilmesinden sonra, ulnar sinir anatomik olarak orijinal konumuna geri yerleştirildiğinde sıklıkla bu donanımın yakınındadır. Bazıları sinirin rutin transpozisyonunu savunurken, bu durum tartışmalı olmaya devam etmektedir ve bazıları transpozisyon ile ulnar sinir semptomlarının transpozisyon olmadan daha yüksek oranlarda olduğunu bildirmektedir. 8-10 Ameliyat sırasında sinirin manipüle edilmesi, donanımın yakınlığı ve skar dokusu oluşumu ameliyat sonrası ulnar nöropatiye katkıda bulunabilir. Bu semptomlar 3 ay sonra düzelmezse, bir hasta ulnar siniri sıkıştırmak ve böylece semptomları iyileştirmek için cerrahi müdahaleden yararlanabilir.
Bu hastada anterior transpozisyon ve medial kolon plağının çıkarılması ile birlikte ulnar sinir gevşetme işlemi gerçekleştirdik. Ayrıca ulnar siniri sarmak ve onu anterior transpoze pozisyonunda korumak için adipofasiyal bir flep veya manşon oluşturduk. Bu, bir yastık oluşturmaya, yara izini azaltmaya ve tekrarlama riskini azaltmaya yardımcı olur.
Hasta 68 yaşında bir erkek olup, 8 aydır kompresyonel ulnar nöropatiyi düşündüren semptom öyküsü ve kübital tünel sendromu ile ilgili elektromiyografi (EMG) bulguları ile başvurdu. Sol distal humerus kırığı açık redüksiyon ve internal fiksasyon uygulandı ve daha sonra bu taraftaki dördüncü ve beşinci basamaklarda bir miktar uyuşma ve karıncalanma gelişti. Diğer ilgili tıbbi öykü arasında tip 1 diabetes mellitus ve hipertansiyon vardı.
Kliniğimize yapılan sunumda, normal bir duygulanım ile hiçbir sıkıntı içinde olmayan, iyi görünüyordu. Cilt ısısı ve renginin her iki üst ekstremitede normal olduğu kaydedildi. Hastanın sol dirseğinin muayenesinde 20-130 derece arasında fonksiyonel bir hareket açıklığı ortaya çıktı. Ulnar sinir dağılımında duyu azalması vardı, ancak dorsal interosseöz kasları ateşleyebildi. Froment'in işareti belirsizdi ve hafif bir zayıflık kaydedildi.
ORIF yapısının bütünlüğünü değerlendirmek için görüntüleme esastır. Radyografiler lateral ve hafif modifiye anteroposterior (AP) görünümlerle yapılır. AP görünümü, olekranonun yoldan çekilmesine izin vermek için dirseğin yaklaşık 40 dereceye kadar fleksiyonunu içerir ve distal humerusun daha iyi görüntülenmesini sağlar. 6 Bilgisayarlı tomografi (BT) taramalarının, özellikle eklem tutulumu olduğunda 3D rekonstrüksiyonların kullanımına artan bir ilgi vardır. 11
Bu prezentasyonu olan hastalarda, indeks hastamızda olduğu gibi bir elektromiyografi yapılabilir. Bu, ulnar nöropatiyi ve dirsekteki kompresyon yerini doğrulamak içindir.
Birçok sinir sıkışması sendromu gibi, tedavi edilmezse, hasta semptomlarında kötüleşme yaşayabilir. Karıncalanma, uyuşma ve ağrı, ulnar sinir tarafından innerve edilen elin iç kaslarının ilerleyici zayıflığı ile birlikte görülebilir.
Bu hastada olduğu gibi inatçı semptomların olduğu durumlarda operatif müdahale tedavinin temelini oluşturur. Bu, yara izi ve kompresyonun kompresyonunu ve nüksünü en aza indirmek için sinirin ve transpozisyonun yaralı doku yatağından uzağa ve bakir bir alana transpozisyonunu içerir.
8 ay sonra semptom kalıcılığı, hasta rahatsızlığı ve günlük yaşam aktivitelerine müdahale kombinasyonu bu hasta için cerrahi için birincil endikasyonlardı. Ek olarak, fizik muayenenin dirsekte ciddi ulnar sinir basısını doğrulayan EMG bulguları ile doğrulanması ameliyat kararını destekledi. Bu komplikasyon için müdahale tipik olarak yaklaşık 12 hafta veya 3 ayda yapılırken, hastaların bu durumda olduğu gibi daha uzun bir zaman aralığından sonra kliniğe başvurabileceğini veya kliniğe sevk edilebileceğini unutmamak önemlidir.
Medial plakanın çıkarılması her zaman gerekli olmayabilir; Bununla birlikte, bu durumda medial plakanın oldukça belirgin olduğunu hissettik, bu nedenle iyileşmiş bir kırık bağlamında çıkarılması hastanın bazı semptomlarını hafifletmeye yardımcı olacaktır. Ameliyat öncesi röntgenler dahildir: Transpoze sinirin etrafında adipofasiyal bir manşon oluşturulmasının, hasta üst ekstremiteyi hareket ettirirken sinirin kolayca kaymasına yardımcı olduğuna ve yara izi ve fibrozdan kaynaklanan tekrarlayan sinir sıkışmasını önlediğine inanıyoruz. Teknik, kısaca, burada bu şekilde açıklanmaktadır. Medial epikondil üzerinden posteromedial bir insizyon yapılır ve proksimal olarak 8-10 cm ve distal olarak 4-5 cm uzatılır. Ulnar sinir, dikkatli künt diseksiyondan sonra proksimal olarak, medial intermüsküler septumun hemen arkasında tanımlanır. Daha sonra, epinöryumun vasküler beslemesini sağlam tutmaya özen gösterilerek antegrad bir şekilde daha da diseke edilir. Sinir mobilize edildikten ve anterior olarak transpoze edildikten sonra, dikkat adipofasiyal flebe çevrilir. Vasküler besleme yerinde olan flep, arkadan öne dikkatlice sarılır ve tüm sinir uzunluğunu çevreleyen bir tünel oluşturmak için dikilir. Son olarak, sinirin bükülmediğinden emin olmak için dirseğin açılması yapılır. Bu teknik, bu gibi durumlarda özel uygulama ile literatürde iyi tanımlanmıştır. 12–14

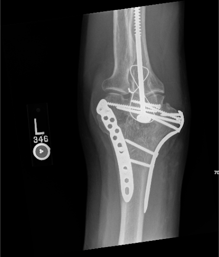
Şekil 1. Ameliyat öncesi plakaların konumunu gösteren Sol dirsek röntgeninin AP görünümü.

Şekil 2. Ameliyat öncesi plakaların konumunu gösteren Sol dirsek röntgeninin yanal görünümü.
Ulnar nöropati, distal humerus kırığı fiksasyon cerrahisinin iyi bilinen bir komplikasyonudur ve insidansı %19.3'tür. 15 Birçok yazar, bu insidansın indeks cerrahisi sırasında ulnar sinirin anterior olarak transpoze edilip edilmemesi kararıyla ilişkili olabileceğini savunmuştur,7,9 ancak diğerleri buna itiraz etmiş ve indeks cerrahisinde ulnar sinirin ele alınmasının16,17 veya cerrahi seçiminin18 ulnar nöropati gelişimini önemli ölçüde etkilemediği sonucuna varmıştır. Shearin ve ark.15 tarafından yakın zamanda yapılan bir meta-analizde, indeks cerrahisinde transpozisyon olanlarda olmayanlara göre daha yüksek ulnar nöropati insidansı bulunmuştur (sırasıyla %23.5'e karşı %15.3).
Hastamız 68 yaşında bay hastaydı ve açık redüksiyon ve internal fiksasyon ile fikse eklem içi distal humerus kırığı olan, indeks cerrahide ulnar sinir transpozisyonu olmayan bir hastaydı. Takip sırasında ulnar sinirin dağılımında kalıcı uyuşma ve karıncalanma ile başvurdu. Ulnar parestezinin ameliyat sonrası dönemde ortaya çıkabileceği, muhtemelen sinir elleçlenmesi ile ilgili olabileceği ve sıklıkla kendi kendine düzeldiği unutulmamalıdır. İndeks cerrahide, postoperatif nöropati için koruyucu olduğu öne sürülen standart bir posterior yaklaşım10 kullanıldı ve işlem boyunca ulnar sinir korundu. İlk kırık fiksasyonu sırasında ulnar sinirin diseke edilmesi ve kübital tünelden çıkarılması standart bir uygulamadır, böylece güvenli kırık redüksiyonu ve plakaların yerleştirilmesi sağlanır.
Distal humerus kırığı cerrahisinin indeks ORIF'inde ulnar sinir transpozisyonu tartışma konusu olmaya devam ederken,19 postoperatif ulnar sinir sıkışmasının çözümlenmesi için operatif müdahalenin gerekli olabileceği genel olarak kabul edilmektedir. Bu gibi durumlarda, dikkatli diseksiyon ve pozlama, tipik olarak yaranın proksimal yönünde, trisepslerin medial kenarındaki sinirin tanımlanması, daha sonra yaklaşık 8 cm proksimalden medial epikondilin 8-12 cm distaline kadar antegrad bir şekilde ilerlemesi ile en yüksek öneme sahiptir. 20 Bu ameliyatta yapıldığı gibi, intermüsküler septum ve sinirin anterior transpoze pozisyonunda gelecekte sıkışması veya gelecekte sıkışması kaynağı olabilecek diğer fibroz bölgelerinin rezeke edilmesi yararlı olabilir.
Son olarak, bu işlem sırasında iyatrojenik yaralanma ve ulnar sinirin devaskülarizasyonu riskini en aza indirmek son derece önemlidir. Bu, epinöryum ve epinöral kan akışının bozulmasını en aza indirerek başarılabilir. Sinir ayrıca yaygın olarak bir VessiLoop ile etiketlenir ve agresif manipülasyon en aza indirilir. Mümkünse, iyatrojenik yaralanma insidansını azaltmak için eşlik eden vasküler yapılar sağlam tutulmalıdır. 21
Ulnar siniri etiketlemek ve nazikçe geri çekmek için VessiLoops.
Hiç kimse.
Bu video makalesinde atıfta bulunulan hasta, filme alınması için bilgilendirilmiş onamını vermiştir ve bilgi ve görüntülerin çevrimiçi olarak yayınlanacağının farkındadır.
References
- Robinson CM, Hill RMF, Jacobs N, Dall G, Court-Brown CM. Erişkin distal humerus metafiz kırıkları: epidemiyoloji ve tedavi sonuçları. J Orthop Travması. 2003; 17(1):38-47. doi:10.1097/00005131-200301000-00006.
- Palvanen M, Kannus P, Niemi S, Parkkari J. Yaşlı kadınlarda distal humerusun osteoporotik kırıklarında seküler eğilimler. Eur J Epidemiol. 1998; 14(2):159-164. doi:10.1023/a:1007496318884..
- Kim SH, Szabo RM, Marder RA. Amerika Birleşik Devletleri'nde humerus kırıklarının epidemiyolojisi: ülke çapında acil servis örneği, 2008. Artrit Bakım Res. 2012; 64(3):407-414. doi:10.1002/acr.21563.
- Doornberg JN, van Duijn PJ, Linzel D, et al. Humerusun distal kısmının eklem içi kırıklarının cerrahi tedavisi. On iki ila otuz yıl sonra fonksiyonel sonuç. J Kemik Eklem Cerrahisi. 2007; 89(7):1524-1532. doi:10.2106/JBJS.F.00369.
- Nauth A, McKee MD, Ristevski B, Salon J, Schemitsch EH. Erişkinlerde distal humerus kırıkları. J Kemik Eklem Cerrahisi. 2011; 93(7):686-700. doi:10.2106/JBJS.J.00845.
- Beazley JC, Baraza N, Jordan R, Modi CS. Distal humerus kırıkları-güncel kavramlar. Orthop J'yi açın. 2017;11:1353-1363. doi:10.2174/1874325001711011353.
- Ruan HJ, Liu JJ, Fan CY, Jiang J, Zeng BF. Distal humerus tip C kırıklarında erken ulnar sinir disfonksiyonunun insidansı, yönetimi ve prognozu. J Travma. 2009; 67(6):1397-1401. doi:10.1097/TA.0b013e3181968176.
- Ahmed AF, Parambathkandi, Kong WJG, et al. Distal humerus kırıklarının açık redüksiyonu ve internal fiksasyonu sırasında ulnar sinir subkutan anterior transpozisyonunun rolü: retrospektif bir kohort çalışması. Uluslararası Ortopedi 2020; 44(12):2701-2708. doi:10.1007/s00264-020-04745-0.
- Chen RC, Harris DJ, Leduc S, Borrelli JJ, Tornetta P, Ricci WM. Distal humerus kırıklarında açık redüksiyon internal fiksasyonu sırasında ulnar sinir transpozisyonu faydalı mıdır? J Orthop Travması. 2010; 24(7):391-394. doi:10.1097/BOT.0b013e3181c99246.
- Oshika Y, Takegami Y, Tokutake K, Yokoyama H, Oguchi T, Imagama S. Eklem içi distal humerus kırıkları için cerrahi sonrası ulnar sinir nöropatisi: 116 Hastanın analizi. J El Cerrahisi. 2023; 48(11):1171.e1-1171.e5. doi:10.1016/j.jhsa.2023.02.001.
- Doornberg J, Lindenhovius A, Kloen P, van Dijk CN, Zurakowski D, Yüzük D. Distal humerus kırıklarının sınıflandırılması ve tedavisi için iki ve üç boyutlu bilgisayarlı tomografi. Güvenilirlik ve tanısal doğruluğun değerlendirilmesi. J Kemik Eklem Cerrahisi. 2006; 88(8):1795-1801. doi:10.2106/JBJS. E.00944 sayılı Kanun Hükmünde Kararname (İngilizce).
- Danoff JR, Lombardi JM, Rosenwasser Milletvekili. Ulnar sinirin anterior subkutan transpozisyonu için pediküllü bir yağ flebinin askı olarak kullanılması. J El Cerrahisi 2014; 39(3):552-555. doi:10.1016/j.jhsa.2013.12.005.
- Verveld CJ, Danoff JR, Lombardi JM, Rosenwasser Milletvekili. Ulnar sinirin anterior subkutan transpozisyonu için yağ flebi ve fasyal askı. J Orthop Belle Mead NJ. 2016; 45(2):89-94.
- Riccio M, Gravina P, Pangrazi PP, Cecconato V, Gigante A, De Francesco F. Adipofasiyal flepli ulnar sinir antepozisyonu, şiddetli kübital sendrom için alternatif bir tedavi. BMC Cerrahi. 2023; 23(1):268. doi:10.1186/s12893-023-02173-6.
- Makas JW, Chapman TR, Miller A, İlyas. Distal humerus kırığı fiksasyonu ile ulnar sinir yönetimi: bir meta-analiz. El Kliniği. 2018; 34(1):97-103. doi:10.1016/j.hcl.2017.09.010.
- Vazquez O, Rutgers M, Yüzük DC, Walsh M, Egol KA. Distal humerus kırıklarının operatif fiksasyonundan sonra ulnar sinirin kaderi. J Orthop Travması. 2010; 24(7):395-399. doi:10.1097/BOT.0b013e3181e3e273.
- Worden A, İlyas. Distal humerus kırığı fiksasyonunu takiben ulnar nöropati. Ortop, Klinik, Kuzey,. 2012; 43(4):509-514. doi:10.1016/j.ocl.2012.07.019.
- Yaşlılarda distal humerus kırıkları için açık redüksiyon ve internal fiksasyon ile total dirsek artroplastisi arasındaki komplikasyonların, reoperasyonların ve klinik sonuçların karşılaştırılması: sistematik bir derleme ve meta-analiz. J Clin Med. 2022; 11(19):5775. doi:10.3390/jcm11195775.
- Lauder A, Richard MJ. Distal humerus kırıklarının tedavisi. Eur J Orthop Cerrahi Travmatol Orthop Travmatol. 2020; 30(5):745-762. doi:10.1007/s00590-020-02626-1.
- Felder JM, Mackinnon SE, Patterson MM. Ulnar sinirin başarılı anterior transpozisyonu için kritik olan dirseğin distalindeki 7 yapı. El NY. 2019; 14(6):776-781. doi:10.1177/1558944718771390.
- Tangtiphaiboontana J. Distal humerus kırıklarında tek başına in situ ulnar sinir dekompresyonu iyatrojenik hasarı en aza indirir. J Orthop Travması. 2023; 37(5):E233-E234. doi:10.1097/BOT.00000000000002589.
Cite this article
Akodu M, Berlinberg EJ, Batty M, McTague M, Agarwal-Harding KJ. Ulnar sinir dekompresyonu, kübital tünel gevşetme ve ulnar sinirin anterior subkutan transpozisyonu ile sol dirsek eksplorasyonu ve donanımının çıkarılması. J Med İçgörü. 2024; 2024(456). doi:10.24296/jomi/456.




