重症筋無力症のためのロボット胸部切除術
Main Text
Table of Contents
重症筋無力症は、骨格筋の収縮に関与するアセチルコリン伝達に影響を与える自己免疫疾患です。筋無力症患者へのアプローチは複雑であり、最適な治療は内科療法と外科療法を組み合わせた多職種技術を用います。アセチルコリンエステラーゼや免疫調節剤を用いた医療療法は、症状の緩和や疲労感や倦怠感の解消に役立ちます。外科的胸腺切除術は、症状の軽減、再発の予防、日々の投薬量の削減に役立ちます。胸骨切除術は従来経胸骨法で行われてきましたが、低侵襲およびロボット技術がますます一般的になっています。ここでは、左側アプローチによるロボット全胸腺切除術のアプローチを紹介します。
重症筋無力症は、随意骨格筋の機能を制御するシナプス後ニコチン性アセチルコリン受容体に影響を与える自己免疫疾患です。これは一般的に抗アセチルコリン受容体(抗AChR)抗体によって媒介されます。発症や症状の大きさは大きく異なりますが、通常は眼、四肢、口咽頭・呼吸筋の進行性の筋力低下を伴います。1 内科治療と併用することで、胸腺切除術後の患者は医療的治療への依存が減り、症状の改善や改善が見やすくなったため、手術が標準的な治療となっています。2、 3
患者は23歳の女性で、数年前に抗AChR陽性の全身性重症筋無力症と診断されました。主な訴えは疲労感、顔の脱力、複視でした。彼女は毎日プレドニゾンとピリドスチグミンを服用していましたが、症状は徐々に悪化しています。現在、症状コントロールのためにコルチコステロイドの投与量を増やし、静脈内免疫グロブリンの点滴が必要とされています。それ以外は健康で、特に重要な医療歴や手術歴はありません。家族に重症筋無力症やその他の自己免疫疾患の病歴はありません。
身体検査の結果、健康そうな若い女性で、バイタルサインも正常であることが判明しました。感覚障害はなく、腱反射も正常で、運動による上肢や下肢の筋力低下もありません。上向きの視線を約1分間保持すると軽度の眼瞼下垂があります。
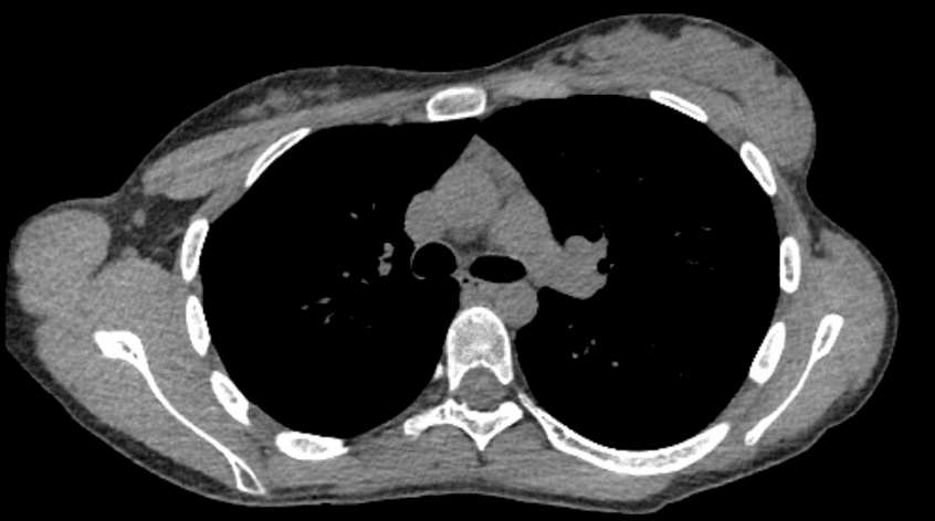
患者は胸部の断断層断層撮影を受け、優性胸腺腫なしに胸腺過形成が認められました。リンパ節腫脹や周囲構造への浸潤は伴っていませんでした。代表的な画像は図1に示されています。
図1。 優性胸腺腫なしの胸腺過形成を示す軸流コンピュータ断層撮影の代表的な断面図。
重症筋無力症の治療は通常、多職種的であり、神経内科医と胸部外科医の協力が必要です。診断後、患者は通常、ピリドスチグミンのようなアセチルコリンエステラーゼ、プロパンセリンのようなムスカリニ系、コルチコステロイド、メトトレキサート、シクロホスファミドなどの免疫調節薬を組み合わせて受けます。難治性疾患には静脈内免疫グロブリン(IVIG)の点滴が必要になることがあります。1
安定した治療法でコントロールされると、ほとんどの患者は外科的胸腺切除術に紹介され、これにより医療への依存が減り、報告された症状が軽減されることが示されています。
私たちのビデオでは、左胸アプローチによるロボットによる全胸腺切除術を実演しています。胸腔鏡またはロボット技術のいずれかを用いて、低侵襲胸腺切除術は楔骨下、左、右、または両側のアプローチで行われることが増えています。まれに、大きな腫瘍や浸潤性成分のある腫瘍では経胸骨アプローチが必要となることがあります。4-6
患者さんは以前は筋無力症をコントロールしており、現在は医療的治療を段階的に行う必要がありました。胸腺摘出術によって、現在の薬を再発せずに徐々に減薬できる可能性があると考えられていました。
重症筋無力症の患者は手術的胸腺切除術を受ける前に最適化される必要があります。手術後、最適化されていない患者は「筋無力危機」を経験し、深刻な筋力低下、呼吸不全、人工呼吸器からの離脱不能を経験することがあります。これを避けるため、最後のIVIG点滴の1週間後に介入を計画し、術中のストレス用ステロイドも投与しました。さらに、麻痺剤の回避や全身静脈麻酔などの専門的な麻酔技術が用いられ、術後の筋無力症合併症を回避しました。
ここでは、左胸アプローチを用いたロボット全胸腺切除術を紹介します。この処置では胸骨全体とそれに伴う心膜脂肪を除去します。この切除の境界は、左右の横隔神経が外側、胸骨が前方、心膜が後方、横隔膜が下側、胸腺の上角が上方に含まれます。これらの境界内のすべての脂肪組織は、無名静脈、心臓、大動脈、両側横隔神経など重要な近傍構造を損傷しないよう注意しながら切除されます。
患者は仰向けで、手術側の下にこぶがあります。これにより左胸を完全に露出させ、肩をフィールドから外してロボット同士の衝突を防ぐことができます。挿入は第4肋間の前腋線から8mmロボットトロカールで行われます。その後、2つの8mmロボットトロカーを直接可視化します。1つは乳下溝の鎖骨中部線、もう1つは第3肋間隙の腋窩後方線に設置されます。最後に、5番または6番肋間隙の2つの下部ポートの間に12mmの補助ポートが三角分割されています。すべての動作ポートが設置されると、ロボットはドッキングされます。カメラは2つの動作ポートの間の中央のロボットポートに設置されています。選択肢は多いものの、私たちが選んでいる楽器は左手にカディエールグラッパー、右手にロングバイポーラーグラッパーを選びます。
解離は胸隔神経の内側からできるだけ下側から始まります。縦隔の脂肪組織は、横隔膜と心膜から尾から頭へと動員されます。鈍的解離と電気焼灼を組み合わせて動員を続け、無名静脈に到達するまで内側および上方へと移動します。この部位は細心の注意をもって対処し、無名胎への静脈の排出は焼灼または手術クリップで制御します。胸腺の右上角と左上角は下に引き戻され、自由に切り離されます。最後に、解剖は右胸に移されます。右縦隔胸膜を開けて右横隔神経を特定できます。
胸腺と縦隔脂肪が完全に動員されたら、アシスタントポートから採取バッグを使って標本を採取します。胸部排液には単一のブレイクドレーンが使用され、ロボットポートの切開の一つに挿入されます。ロボットはドッキングから外され、残りのポートは取り外され、皮下縫合で閉じられます。
術後は胸膜ドレーンを監視し、正常範囲内でした。翌朝にブレイクドレーンを取り外し、患者は術後初日に退院しました。最終病理は胸腺過形成と一致していました。9か月の追跡時、患者はほとんど症状がなく、軽度の複視と極度の疲労を伴うのみ存在します。彼女は低用量プレドニゾンに徐々に減薬し、現在はIVIG点滴を必要としません。
- コンスタンティン・プーロス医師:執筆、レビュー、編集
- Tong-Yan Chen 医師:映像制作、執筆、レビュー、編集
- ラナ・シューマッハー医師:映像制作、執筆、レビュー、編集
すべての著者は利益相反はないと宣言しています。
この動画で言及されている患者は撮影に同意しており、情報や画像がオンラインで公開されることを認識しています。
アニメーションは2025年3月10日に出版後に追加されました。記事の内容に変更はありません。
References
- ヴィンセント・A、パレスJ、ヒルトン・ジョーンズ・D. 重症筋無力症。 ランセット。2001;357(9274):2122-2128. doi:10.1016/S0140-6736(00)05186-2。
- グロンセス GS、バロン・R、ナラヤナスワミ P. 実践アドバイザリー:重症筋無力症の胸腺切除術(プラクティスパラメータ更新):アメリカ神経学会ガイドライン作成、普及、実施小委員会の報告書。 神経学です。2020;94(16):705-709. doi:10.1212/WNL.00000000000009294。
- ウルフGI、カミンスキーHJ、アバンIB他。重症筋無力症における胸腺摘出術のランダム化試験。 N Engl J Med.2016;375(6):511-522. doi:10.1056/NEJMoa1602489。
- マルリ・G、コマッキオGM、リア・F。ロボット胸腺切除術。 J Vis外科。2017;3:68. doi:10.21037/jovs.2017.05.01.
- Wei B, Cerfolio R. ロボット胸腺切除術。 J Vis外科。2016;2:136. doi:10.21037/jovs.2016.07.17.
- ホレランTJ、ナポリターノMA、クラウダーHR、スパークスAD、アンティビルJL、トラキオティスGD。退役軍人保健局における胸膜切除術の臨床アウトカムと技術的アプローチ。 アン胸部外科。2022;113(5):1648-1655. DOI:10.1016/J.athoracsur.2021.05.020.
Cite this article
Poulos CM、Chen TY、Schumacher L. 重症筋無力症に対するロボット胸腺切除術。 J Med Insight。 2024;2024(426). doi:10.24296/jomi/426。



