एसिटैबुलर ओस्टियोप्लास्टी और लैब्रल मरम्मत के साथ हिप आर्थ्रोस्कोपी
Main Text
Table of Contents
लैब्रल मरम्मत के साथ या उसके बिना ऊरु गर्दन या एसिटेबुलर ओस्टियोप्लास्टी के साथ हिप आर्थ्रोस्कोपी का उपयोग फेमोरोएस्टेबुलर इम्पैक्टमेंट (एफएआई) के उपचार के लिए किया जा सकता है। रोगी कूल्हे के दर्द और यांत्रिक लक्षणों की घातक शुरुआत के साथ उपस्थित हो सकते हैं और गतिविधि और बैठने के साथ दर्द बदतर हो सकता है। शारीरिक परीक्षा में हिप फ्लेक्सन और आंतरिक रोटेशन कम हो सकता है और पूर्वकाल प्रभाव परीक्षण एफएआई वाले अधिकांश रोगियों में कमर दर्द पैदा करेगा। इमेजिंग कैम-प्रकार या पिंसर-प्रकार के अतिक्रमण के लिए जिम्मेदार घावों को प्रदर्शित कर सकती है, और एमआरआई लैब्रल आंसू या कार्टिलाजिनस घावों का प्रदर्शन कर सकता है। आर्थोस्कोपिक सर्जिकल उपचार उन रोगियों के लिए संकेत दिया जाता है जो रूढ़िवादी उपचार में विफल रहे हैं।
रोगी एक 39 वर्षीय महिला है जिसमें महत्वपूर्ण दाहिने कूल्हे का दर्द है जो गैर-प्रभाव लोडिंग व्यायाम, गतिविधि संशोधन और स्टेरॉयड इंजेक्शन के साथ रूढ़िवादी उपचार के बावजूद बना रहता है। वह गहरी कुर्सियों से बाहर निकलने और धुरी गतिविधियों से सबसे ज्यादा परेशान है। उनका एमआरआई किया गया था, जिसमें लैब्रल टियर दिख रहा था।
- लक्षणों की शुरुआत का वर्णन करें। क्या यह कपटी था या कोई पूर्ववर्ती घटना थी?
- दर्द का स्थान क्या है?
- दर्द की गुणवत्ता क्या है? क्या कोई यांत्रिक लक्षण हैं, जैसे कि पॉप, स्नैच, कैच, लॉक, या सबलक्सेशन / अस्थिरता?
- क्या बैठने के साथ उत्तेजना होती है?
- क्या दर्द गतिविधि से संबंधित है?
- दर्द से क्या राहत मिलती है?
- क्या आप लंगड़ा करके चलते हैं?
- क्या आपके पास दूर चलने या सीढ़ियां चढ़ने की सीमाएं हैं?
- हिप रेंज ऑफ मोशन प्रभावित और अप्रभावित कूल्हे में समान हो सकता है।
- प्रभावित और अप्रभावित कूल्हे की तुलना करते हुए फ्लेक्सन और आंतरिक रोटेशन का आकलन करें। अप्रभावित कूल्हे गति की सीमा के साथ कम फ्लेक्सन और आंतरिक रोटेशन या दर्द प्रदर्शित कर सकते हैं।
- प्रभावित पक्ष पर एक पैर पर रोगी को खड़े करके ट्रेंडेलेनबर्ग संकेत का आकलन करें। परीक्षण सकारात्मक है यदि श्रोणि विपरीत पक्ष पर गिरता है। यह 33% रोगियों में होता है जिनमें फेमोरोसेटाबुलर इम्पैक्टमेंट (एफएआई) होता है।
- जोड़ वाले कूल्हे को निष्क्रिय रूप से फ्लेक्स करके और धीरे-धीरे आंतरिक रूप से घुमाकर पूर्वकाल प्रभाव परीक्षण करें। यह परीक्षण एफएआई के साथ 88% रोगियों में पूर्वकाल कमर दर्द को पुन: उत्पन्न करता है।
- FABER (फ्लेक्सन-अपहरण-बाहरी रोटेशन) परीक्षण करें।
- सीधे पैर उठाने का विरोध करें।
- लॉग रोल परीक्षण करें। लॉग रोल टेस्ट के साथ एफएआई वाले 30% रोगी में दर्द पुन: उत्पन्न होता है।
- कूल्हे को विस्तार और बाहरी रोटेशन में रखकर पश्चवर्ती प्रभाव परीक्षण करें। हिप दर्द एफएआई के साथ 21% रोगियों में पश्चवर्ती आघात परीक्षण के साथ पुन: उत्पन्न होता है।
- बर्साइटिस, तंत्रिका फंसाने और संदर्भित दर्द को दूर करने के लिए प्रभावित अंग और काठ की रीढ़ की पूरी परीक्षा करें। 1, 2
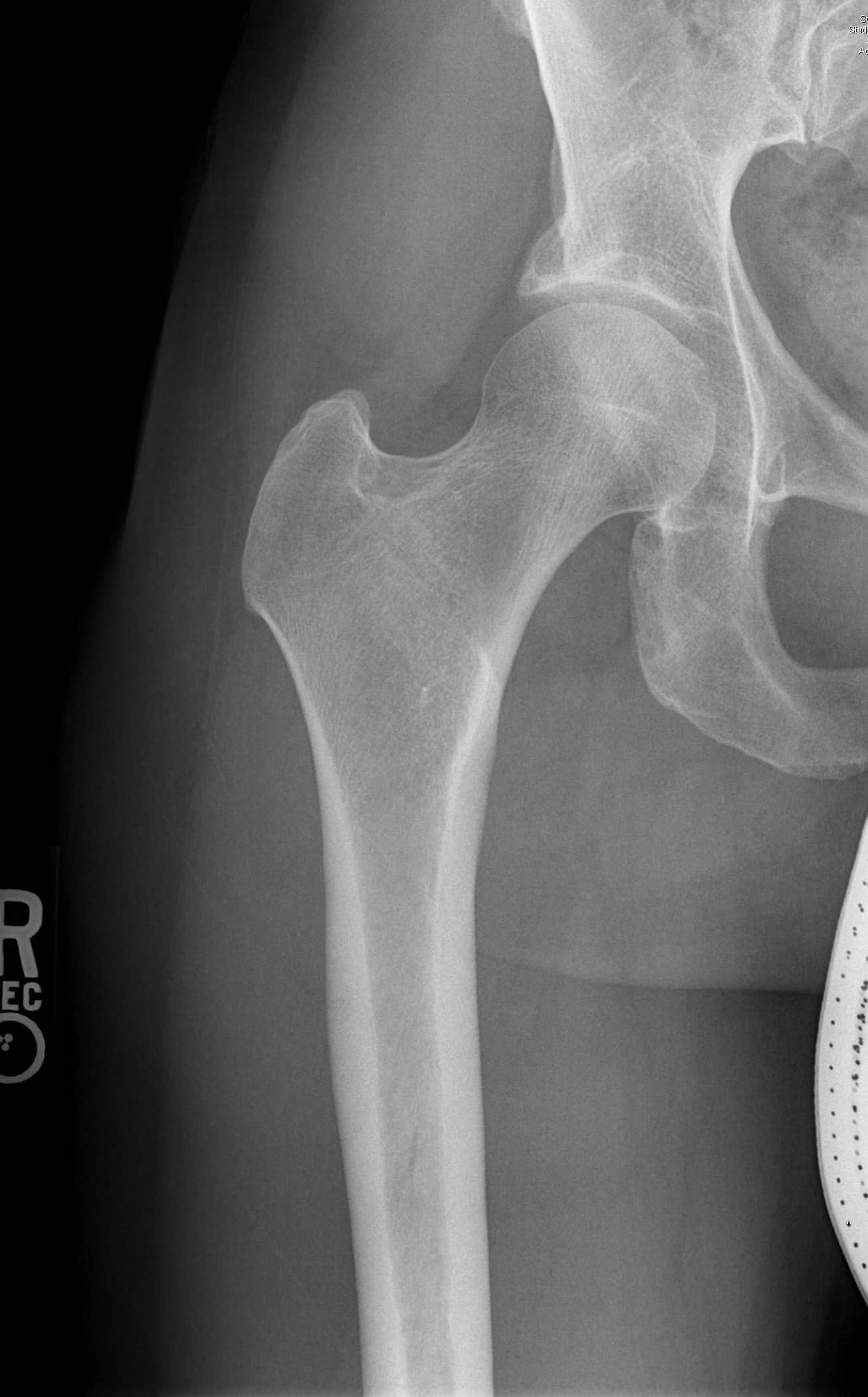
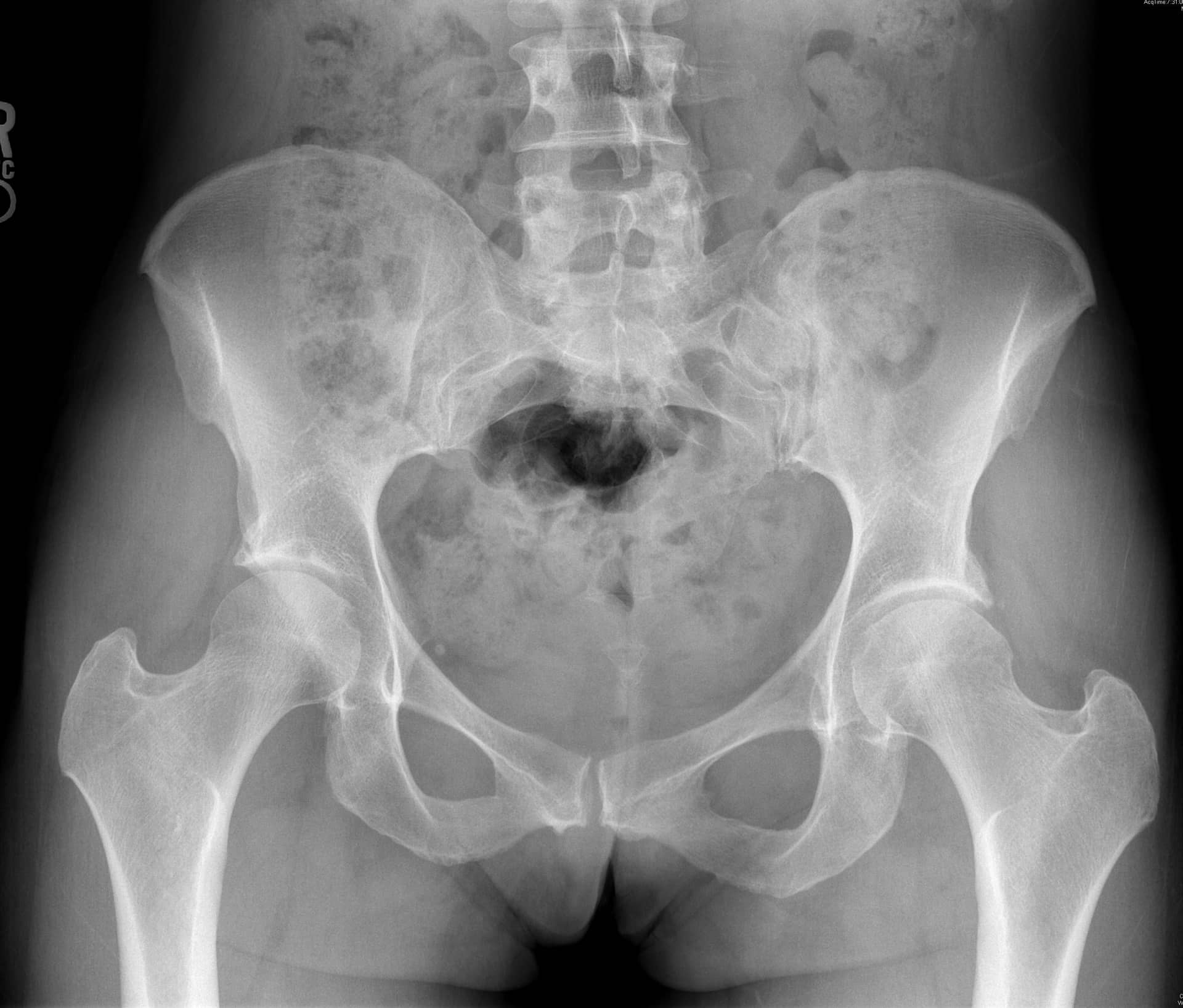
एक एपी श्रोणि दृश्य प्रभावित और अप्रभावित फेमोरा की तुलना की अनुमति देता है। यह सुनिश्चित करने के लिए समरूपता का आकलन करें कि एक सच्चा एपी दृश्य कैप्चर किया गया है। इसका आकलन यह जांचकर किया जा सकता है कि कोक्सीक्स सिम्फिसिस पबिस को ओवरलैप करता है, जिसमें दो संरचनाओं के बीच 2 सेमी से अधिक अलगाव नहीं होता है। संयुक्त स्थान में कमी और अपक्षयी परिवर्तनों के लिए संयुक्त का मूल्यांकन किया जाना चाहिए। अप्रभावित पक्ष के साथ एंटेरोलेटरल गर्दन समोच्च की तुलना करें। बेहतर गर्दन की शंकु की कमी सिर-गर्दन ऑफसेट को कम करने का संकेत देती है। एंटेरोसुपीरियर या पूर्ववर्ती सिर की सपाट या बढ़ी हुई त्रिज्या एक गोलाकार सिर को इंगित करती है। कई मापों का विश्लेषण किया जा सकता है:
- पार्श्व केंद्र एज कोण: ऊरु सिर के केंद्र से खींची गई एक ऊर्ध्वाधर रेखा द्वारा बनाया गया कोण और पार्श्व रिम से सिर के केंद्र तक खींची गई रेखा। 20 डिग्री से कम कोण डिस्प्लेसिया को इंगित करता है।
- एसिटैबुलर इंडेक्स: एसिटैबुलर छत या सॉर्सिल द्वारा बनाया गया कोण। 10 डिग्री से अधिक का कोण डिस्प्लेसिया को इंगित करता है।
- एसिटैबुलर संस्करण: एसिटेबुलर रिम के पूर्ववर्ती और पीछे के अनुमानों के साथ एंटेरोलेटरल एसिटेबुलर किनारे से रेखाओं का पता लगाता है। एक पूर्ववर्ती दीवार जो पीछे की दीवार ("पीछे की दीवार का संकेत") की तुलना में अधिक पार्श्व है, रेट्रोवर्सन को इंगित करती है। एक पूर्ववर्ती दीवार जो पीछे की दीवार ("क्रॉस-ओवर साइन") को पार करती है, पूर्ववर्ती रिम और सापेक्ष रेट्रोवर्सन पर बोनी अधिकता को इंगित करती है।
- एफएआई के मूल्यांकन के लिए एक क्रॉस-टेबल पार्श्व दृश्य महत्वपूर्ण है, जिससे एंटेरोलेटरल फेमोरल गर्दन का दृश्य देखने की अनुमति मिलती है।
- अल्फा-कोण: ऊरु गर्दन की मध्य रेखा के साथ एक रेखा और ऊरु सिर के केंद्र से उस बिंदु तक एक रेखा के बीच बनता है जहां अतिरिक्त हड्डी सामान्य ऊरु सिर स्फेरिसिटी से विचलित होती है। 60 डिग्री से अधिक का कोण एफएआई को इंगित करता है।
- सिर-गर्दन ऑफसेट: ऊरु गर्दन के अनुदैर्ध्य अक्ष को विभाजित करने वाली रेखा से शुरू करें। एक समानांतर रेखा खींचें जो ऊरु गर्दन के पूर्ववर्ती पहलू के लिए स्पर्शरेखीय है और पूर्ववर्ती ऊरु सिर के समानांतर रेखा स्पर्शरेखा की दूरी को मापें। सामान्य दूरी 9 मिमी से अधिक है या सिर के व्यास का अनुपात 0.17 से अधिक है।
एमआरआई और सीटी का उपयोग एसिटाबुलम और समीपस्थ फीमर के आगे के मूल्यांकन के लिए किया जा सकता है। ये अध्ययन एसिटेबुलर संस्करण और नरम ऊतक के प्रभाव का बेहतर मूल्यांकन प्रदान कर सकते हैं या प्रीऑपरेटिव प्लानिंग में मदद कर सकते हैं। एमआर आर्थ्रोग्राम ऊरु गर्दन के कैम घाव के निदान में भी सहायता कर सकता है, लैब्रम या उपास्थि का आकलन कर सकता है। रेडियल अनुक्रमण सबसे अच्छा है, एक असामान्य लैब्रम कुंद दिखाई देगा या इसके आधार पर बढ़े हुए संकेत के साथ दिखाई देगा। 3, 4 एसिटैबुलर रेट्रोवर्जन के कारण पिंसर का प्रभाव, शुरू में लैब्रल विफलता दिखाएगा, जिसके बाद एक कॉन्ट्राकूप तंत्र के परिणामस्वरूप पोस्टरोहीन एसिटेबुलर कार्टिलेज में छोटे, पतले घाव होंगे। 5 इसे क्रॉस-ओवर संकेत, पीछे की दीवार के संकेत, या रेडियोग्राफ़ पर एक नकारात्मक खट्टा कोण के साथ पुन: प्रदर्शित किया जा सकता है। एमआरआई में कुंद लैब्रम, ऊरु गर्दन पर चुंबन घाव, पीछे के एसिटेबुलर कार्टिलेज का घिसना, या एक रेट्रोवर्टेड एसिटाबुलम प्रदर्शित होगा। ऊरु गर्दन के घावों के कारण कैम का प्रभाव, उपास्थि की प्रारंभिक विफलता को दर्शाता है, जिसके बाद लैब्रल फट जाता है। पार्श्व एक्स-रे पर सिर-गर्दन ऑफसेट में कमी, ऊरु गर्दन पर अतिरिक्त हड्डी की आकृति और बढ़े हुए अल्फा-कोण का आकलन निदान में सहायता कर सकता है। एमआरआई पर लैब्रम अपने आधार पर फटने का प्रदर्शन कर सकता है, एक असामान्य ऊरु सिर-गर्दन समोच्च स्पष्ट हो सकता है, या उपास्थि प्रदूषण स्पष्ट हो सकता है। रोगी 80% मामलों में कैम और पिंसर दोनों के साथ पेश होंगे, हालांकि एक रूप आमतौर पर प्रमुख होता है। 2
एफएआई या तो कैम के टकराव, तथाकथित "पिस्तौल पकड़ विकृति" या पिंसर के अतिक्रमण के कारण होता है, जो अतिरिक्त एसिटेबुलर कवरेज के कारण होता है। कैम इम्पैक्टमेंट के एटियलजि स्पष्ट नहीं है, लेकिन ऊरु गर्दन ऑफसेट में कमी से कूल्हे में दर्द हो सकता है और अंततः समय के साथ लैब्रल आँसू और चोंड्रल क्षति हो सकती है। घटी हुई ऊरु सिर-से-गर्दन व्यास अनुपात ऊरु गर्दन को गहरे कूल्हे के फ्लेक्सन में पूर्ववर्ती एसिटाबुलम और लैब्रम पर घूमने की अनुमति देता है। पुरानी, दोहराए जाने वाले आघात से मामूली या पूरी तरह से अनुपस्थित आघात की उपस्थिति में गठिया परिवर्तन या लैब्रल आँसू हो सकते हैं। 6
एफएआई के लिए प्रारंभिक गैर-शल्य चिकित्सा प्रबंधन में गतिविधि संशोधन और विरोधी भड़काऊ दवा शामिल है। शल्य चिकित्सा उपचार की प्रगति उन रोगियों के लिए विचार की जानी चाहिए जो रूढ़िवादी प्रबंधन में विफल होते हैं। ऊरु गर्दन के घावों या लैब्रल आंसुओं के सर्जिकल उपचार का इलाज खुले या आर्थोस्कोपिक डिब्राइडेशन और लैब्रल मरम्मत या शोधन द्वारा किया जा सकता है। खुले उपचार के संकेतों में गैर-गोलाकार ऊरु सिर, सिर-गर्दन ऑफसेट में कमी, पिंसर का टकराव, और पीछे के कूल्हे के घाव शामिल हैं। बर्नीज़ पेरियासेटाबुलर ओस्टियोटॉमी एक खुली एसिटेबुलर रीओरिएंटेशन प्रक्रिया है जिसका लक्ष्य एसिटेबुलर रेट्रोवर्जन को कम करना है। एसिटाबुलम की चोंड्रल चोटों का इलाज चोंड्रोप्लास्टी, ड्रिलिंग या माइक्रोफ्रैक्चर द्वारा किया जा सकता है, जिसका उद्देश्य फाइब्रोकार्टिलेज रीग्रोथ को प्रोत्साहित करना है। एसिटेबुलर एंटीवर्सन और पश्चवर्ती ओस्टियोफाइट के प्रभाव का इलाज एसिटाबुलम के रिम एक्सिशन के साथ किया जा सकता है। आर्थोस्कोपिक नैदानिक परिणाम एफएआई के उपचार के लिए खुले सर्जिकल नैदानिक परिणामों के समान दिखाई देते हैं। 2, 3
एफएआई के लिए सर्जिकल मरम्मत पर्याप्त संयुक्त स्थान वापस करने का प्रयास करती है ताकि एसिटाबुलम के खिलाफ ऊरु सिर या गर्दन के झुकाव के बिना कूल्हे की गति की अनुमति मिल सके। इस स्थान को कम करने वाले घावों का छांटना अपक्षयी प्रक्रिया को संभावित रूप से धीमा करने और दर्द और अन्य लक्षणों को हल करने के लिए किया जाता है। आर्थ्रोस्कोपी समान नैदानिक परिणामों के साथ पारंपरिक खुली सर्जरी के लिए एक कम-आक्रामक विकल्प प्रदान करता है। 4, 7
रोगियों को पता होना चाहिए कि प्रक्रिया के समय चोंड्रल क्षति की डिग्री अपेक्षित परिणाम से संबंधित है। पुराने रोगियों और हस्तक्षेप के समय अपेक्षाकृत कम संयुक्त स्थान वाले लोगों को बाद में कुल हिप प्रतिस्थापन की आवश्यकता होने की अधिक संभावना है। 2 मिमी ≥ वाले रोगियों में बढ़ी हुई संतुष्टि देखी जाती है और क्षतिग्रस्त लैब्रम की मरम्मत के साथ इलाज किया जाता है। 8 इसलिए, एक सापेक्ष मतभेद गंभीर संयुक्त स्थान संकुचित (< 2 मिमी) है। ऊरु सिर की चोंड्रल क्षति उन्नत बीमारी को इंगित करती है और बदतर परिणामों से जुड़ी होती है। एफएआई के आर्थोस्कोपिक मरम्मत के कई पहलुओं से जटिलताएं हो सकती हैं। बेहतर ग्लूटियल या फेमोरल न्यूरोवास्कुलर बंडलों या पार्श्व ऊरु त्वचीय तंत्रिका के निकटता में पोर्टल प्लेसमेंट प्रक्रिया के दौरान इन संरचनाओं को जोखिम में डाल सकता है। प्रक्रिया के दौरान कर्षण से साइटिक तंत्रिका की चोट हो सकती है, जिसे कर्षण के कोमल अनुप्रयोग के साथ कम किया जा सकता है। एवैस्कुलर नेक्रोसिस का खतरा ऊरु गर्दन के 30% से अधिक शोधन के साथ बढ़ता है। सभी एक्सिशन प्रक्रियाओं के साथ, फ्रैक्चर अतिरिक्त हड्डी को हटाने के परिणामस्वरूप हो सकता है। 4
एफएआई हिप ऑस्टियोआर्थराइटिस के मार्ग पर एक प्रारंभिक कदम का प्रतिनिधित्व कर सकता है। एफएआई का आर्थोस्कोपिक उपचार ऊरु गर्दन के कैम प्रकार के घावों और एसिटाबुलम के पिंसर प्रकार के घावों की मरम्मत पर केंद्रित है। इन प्रक्रियाओं का लक्ष्य लक्षणों को कम करना और कूल्हे में ऑस्टियोआर्थ्रिटिक परिवर्तन की प्रगति को रोकना है। ओपन सर्जरी की तुलना में, इन हस्तक्षेपों ने कम-आक्रामक दृष्टिकोण का उपयोग करते हुए समान नैदानिक परिणामों का प्रदर्शन किया है। रोगियों को पता होना चाहिए कि प्रारंभिक बीमारी के उपचार के लिए नियोजित होने पर एफएआई की आर्थोस्कोपिक मरम्मत सबसे सफल होती है। आदर्श उम्मीदवार कम कूल्हे के दर्द की रिपोर्ट करते हैं और नैदानिक आघात परीक्षण अधिकांश रोगियों में प्रक्रिया के बाद लक्षणों के समाधान का प्रदर्शन करते हैं। कूल्हे के जोड़ के उन्नत अपक्षयी परिवर्तन के साथ प्रक्रिया से गुजरने वालों को आर्थ्रोस्कोपी के बाद कुल हिप प्रतिस्थापन होने की अधिक संभावना है। जांचकर्ताओं ने लैब्रल-एक्ससाइजिंग प्रक्रियाओं से गुजरने वाले लोगों की तुलना में लैब्रम-संयम प्रक्रियाओं के साथ इलाज किए गए रोगियों के बीच बेहतर नैदानिक परिणामों का भी प्रदर्शन किया है। 9, 10
अध्ययनों ने बेहतर नैदानिक परिणामों, लक्षणों के समाधान, एथलेटिक प्रदर्शन पर वापसी और आघात के नैदानिक संकेतों के उन्मूलन का प्रदर्शन किया है, जो उपचार के 3 साल बाद तक स्थिर रहते हैं। दर्द स्कोर 74% की कमी दिखाते हैं और रोगी अपने कूल्हों को 1 वर्ष के बाद 75% समय "उत्कृष्ट" या "अच्छा" के रूप में रेट करते हैं। 7 रोगियों को एक स्तरीय पोस्टऑपरेटिव पुनर्वास दिनचर्या के पालन के साथ इष्टतम परिणामों का अनुभव हो सकता है जिसमें शुरू में संरक्षित वजन-असर और गति की सीमा शामिल है। 11
भविष्य के शोध को खुली शल्य चिकित्सा और आर्थोस्कोपिक दृष्टिकोण के बीच तुलना के साथ दीर्घकालिक नैदानिक परिणामों को संबोधित करना चाहिए। विशेष रूप से एफएआई के प्रारंभिक शल्य चिकित्सा उपचार के बाद कुल हिप प्रतिस्थापन के लिए आगे बढ़ने की आवश्यकता से जुड़े रोगी या प्रक्रियात्मक कारकों को स्पष्ट करने के लिए अध्ययन होना चाहिए। बाद में हिप आर्थ्रोस्कोपी की सफलता के लिए भी मूल्यांकन की आवश्यकता होती है।
लैब्रल मरम्मत और एसिटेबुलर ओस्टियोप्लास्टी के साथ हिप आर्थ्रोस्कोपी के बाद रोगी संक्रमण, तंत्रिका चोट, या संयुक्त अस्थिरता के संकेतों के बिना क्लिनिक में लौट आया। वह छह सप्ताह के बाद तक बैसाखी पर गैर-भार वहन करेगी, जिस समय उसे सहन करने के रूप में वजन वहन करने के लिए उन्नत किया जाएगा।
- चाकू रास्प, स्मिथ और भतीजा।
- 2.3 बायोरैप्टर ओस्टियोआर्टिकुलर सीवन एंकर, स्मिथ और भतीजे।
- # 2 फाइबरवायर सीवन, आर्थ्रेक्स।
लेखकों के पास करने के लिए कोई खुलासा नहीं है।
इस वीडियो लेख में चित्रित किए जाने के लिए रोगी से सूचित सहमति प्राप्त की गई थी। रोगी को पता है कि यह इंटरनेट पर उपलब्ध होगा। सहमति की एक प्रति उसके मेडिकल रिकॉर्ड में रखी जाती है।
References
- क्लोहिसी जेसी, कनौस ईआर, हंट डीएम, लेशर जेएम, हैरिस-हेस एम, प्रथेर एच। क्लिन ऑर्थोप रिलेटेड रेस। 2009;467(3):638-644. दोई: 10.1007/s11999-008-0680-y.
- गुआनचे सीए, बेयर एए। "फेमोरोएस्टेबुलर प्रभाव का आर्थोस्कोपिक उपचार". आर्थ्रोस्कोपी। 2006;22(1):95-106. दोई: 10.1016/ j.arthro.2005.10.018.
- इलिजालितुरी वीएम जूनियर, ओरोज्को-रोड्रिगेज एल, अकोस्टा-रोड्रिगेज ई, कैमाचो-गैलिंडो जे. कैम-टाइप फेमोरोएस्टेबुलर प्रभाव के आर्थोस्कोपिक उपचार: 2 साल के न्यूनतम फॉलो-अप पर प्रारंभिक रिपोर्ट। जे आर्थ्रोप्लास्टी। 2008;23(2):226-234. दोई: 10.1016/ j.arth.2007.03.016.
- फिलिपन एमजे, स्टब्स एजे, शेंकर एमएल, मैक्सवेल आरबी, गैंज आर, लेउनिग एम। एम जे स्पोर्ट्स मेड। 2007;35(9):1571-1580. दोई: 10.1177/0363546507300258।
- माहेश्वरी एवी, मलिक ए, डोर एलडी। जे बोन जॉइंट सर्ग एम। 2007;89(11):2508-2518. दोई: 10.2106 / JBJS.F.01296.
- ओसेस असामान्यताएं और प्रारंभिक ऑस्टियोआर्थराइटिस: हिप इम्पैक्टमेंट की भूमिका। क्लिन ऑर्थोप रिलेटेड रेस। 2004;429:170-177. दोई: 10.1097/01.blo.0000150119.49983.ef.
- "फेमोरोएस्टेबुलर अतिक्रमण का आर्थोस्कोपिक प्रबंधन: प्रारंभिक परिणाम उपाय"। आर्थ्रोस्कोपी। 2008;24(5):540-546. दोई: 10.1016/ j.arthro.2007.11.007.
- - फिलिपन एमजे, ब्रिग्स केके, येन वाईएम, कुपरस्मिथ डीए। "संबंधित चोंड्रोलैब्रल डिसफंक्शन के साथ फेमोरोस्टेबुलर प्रभाव के लिए हिप आर्थ्रोस्कोपी के बाद के परिणाम: न्यूनतम दो साल का फॉलो-अप"। जे बोन जॉइंट सर्ग बीआर। 2009;91(1):16-23. दोई: 10.1302/0301-620X.91B1.21329.
- लार्सन सीएम, गिवन्स एमआर. आर्थोस्कोपिक डिब्राइडेशन बनाम फेमोरोस्टेबुलर प्रभाव से जुड़े एसिटेबुलर लैब्रम का पुनर्निर्धारण। आर्थ्रोस्कोपी। 2009;25(4):369-376. दोई: 10.1016/ j.arthro.2008.12.014.
- केली बीटी, वीलैंड डीई, शेंकर एमएल, फिलिपन एमजे। "कूल्हे में आर्थोस्कोपिक लैब्रल मरम्मत: सर्जिकल तकनीक और साहित्य की समीक्षा"। आर्थ्रोस्कोपी। 2005;21(12):1496-1504. दोई: 10.1016/ j.arthro.2005.08.013.
- हिप आर्थ्रोस्कोपी के बाद स्टाल्ज़र एस, वाहहोफ एम, स्कैनलान एम। क्लिन स्पोर्ट्स मेड। 2006;25(2):337-357. दोई: 10.1016/ j.csm.2005.12.008.
Cite this article
एसिटेबुलर ओस्टियोप्लास्टी और लैब्रल मरम्मत के साथ हिप आर्थ्रोस्कोपी। जे मेड इनसाइट। 2023;2023(14). दोई: 10.24296/

