Biopsia cerebrale di un sospetto linfoma cerebellistico
Main Text
Table of Contents
In neurochirurgia, la biopsia cerebrale è uno strumento essenziale per fornire adeguato campionamento istologico nelle lesioni neoplastiche e non tumorali. Esistono due tecniche principali per ottenere campioni di tessuto: biopsia aperta che richiede craniotomia o biopsia con ago. Le biopsie a ago permettono una diagnosi tissutale minimamente invasiva con un rischio minore di morbilità operatoria per il paziente. Qui mostriamo una biopsia senza cornice con ago di una lesione cerebellare utilizzando il sistema Brainlab VarioGuide.
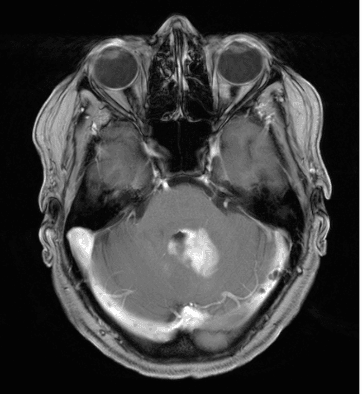
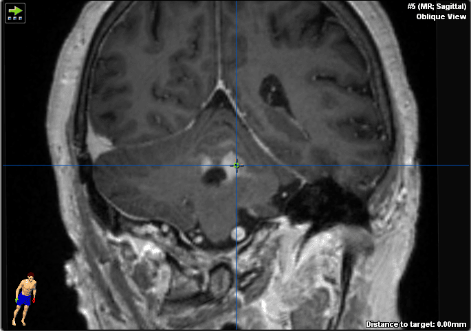
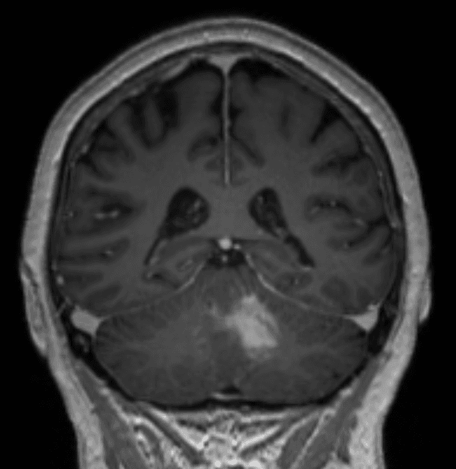
La lesione da colpire si trova adiacente al quarto ventricolo nel parenchima cerebellare. Non è una lesione del tronco encefalico e non coinvolge i peduncoli cerebelli. Nell'imaging RM si osserva un aumento omogeneo del contrasto e un certo edema perifocale. Non sono stati rilevati segni di emorragia o ischemia.
Finora il paziente non ha avuto malattie gravi e non c'è storia di malignoma. Erano evidenti solo lievi ipertensioni arteriose e lieve polineuropatia. Anche le terapie immunosoppressive precedenti che potessero favorire lo sviluppo del linfoma erano assenti.
Questa donna di 72 anni ha sviluppato una grave atassia all'andatura, che fino ad allora le era sconosciuta. Non c'erano altri segni cerebellari come disartria o tremore intenzionale.
Ha effettuato una risonanza magnetica che ha mostrato una lesione omogenea con contrasto adiacente al quarto ventricolo nel tessuto cerebellare e un edema perifocale moderato (Figure 1–2). I peduncoli del tronco encefalico e cerebellari non erano coinvolti. Non sono stati rilevati segni di emorragia o ischemia.
A causa dell'aumento omogeneo del contrasto, sospettiamo un linfoma del SNC. Altre possibili diagnosi includono ischemia, vasculite, metastasi, glioma e infiammazione.
Figura 1. Queste immagini ponderate T1 potenziate dal gadolinio mostrano una lesione infratentoriale nel cervelletto e nel peduncolo cerebellare sinistro adiacente al quarto ventricolo. Si prega di notare l'aumento omogeneo del contrasto sospetto di linfoma del SNC e mancanza di infiltrazione del tronco encefalico.
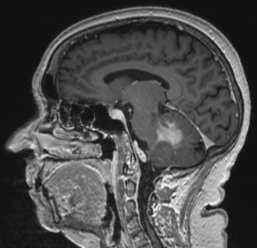
Figura 2. Questa vista assiale mostra un'iperintensità periventricolare T2, che mostra un edema perifocale moderato. Il lume del quarto ventricolo è ancora aperto, permettendo il passaggio del liquido cerebrospinale. Si prega di notare l'assenza di un effetto di massa significativo o di segni di ernia transtentoriale.Se non trattata, questa lesione porterebbe infine a idrocefalo oclusivo, coma e la morte. Se la dimensione aumentasse, i sintomi cerebellari aumenterebbero (ad esempio, disartria, tremore intenzionale, attassia) e i sintomi del tronco encefalico probabilmente peggiorerebbero (deficit dei nervi cranici, ad esempio, difficoltà a deglutire, paresi, disregolazione vegetativa, coma).
Le opzioni di trattamento nei casi di linfoma includerebbero la chemioterapia; Nel glioma o nella metastasi, può essere somministrata radioterapia a seconda del riscontro istologico esatto. Entrambe le possibili diagnosi richiederanno una terapia antineoplastica perché entrambe le entità tumorali mostrano una rapida progressione se non trattate. La diagnosi tissutale è importante per dimostrare l'esistenza di un'entità tumorale, fornire la caratterizzazione molecolare della lesione e consentire terapie mirate. La diagnosi tissutale sarebbe possibile con un intervento transcorticale aperto, ma ciò richiederebbe un tempo di anestesia più lungo e un rischio maggiore di perdite di liquido cerebrospinale e problemi di guarigione rispetto all'applicazione di una biopsia con ago. Nei casi di linfoma, è importante che il paziente sia ingenuo riguardo ai corticosteroidi prima di prelevare campioni di tessuto, poiché il cortisone può impedire una diagnosi adeguata dei tessuti.
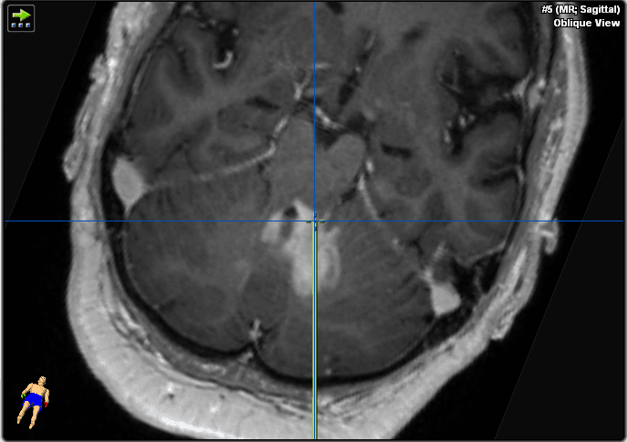
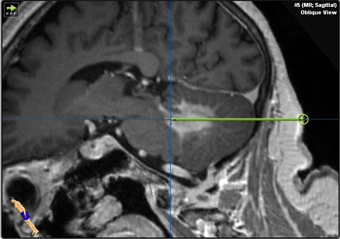
Abbiamo deciso di eseguire una biopsia cerebrale invece di un intervento chirurgico transcorticale aperto per testare la presenza di linfoma, per le ragioni esposte nella sezione sopra (Figura 3). La precisione del sistema di neuronavigazione è più precisa in posizione supina rispetto a quella prona grazie alla migliore visibilità del volto e della superficie convessità per la telecamera di navigazione. Abbiamo quindi optato per la posizione supina per consentire la massima precisione spaziale in questa procedura. La biopsia stereotattica sarebbe tecnicamente più difficile a causa della procedura basata sul telaio, che richiederebbe una posizione semi-seduta e un maggiore rischio di embolia atmosferica. Nelle lesioni puramente del tronco encefalico, la biopsia stereotattica basata su ronger sarebbe la tecnica più favorevole, causando meno traumi tissutali (ago biopsico più piccolo, ma anche minore volume di campioni). Il pavimento del quarto ventricolo deve essere evitato nelle procedure chirurgiche a causa del suo ruolo critico nella funzione del tronco encefalico.
Figura 3. Queste immagini mostrano il piano della traiettoria.
Solo pochi pazienti non vengono sottoposti a campioni tissutori: si tratta di pazienti ad alto rischio che rischiano di morire a causa della procedura operatoria o per complicazioni anestetiche (ad esempio, gravi malattie coronariche, pazienti settici) o pazienti che non si sottoporranno a chemioterapia a causa del loro stato clinico ridotto.
Qui mostriamo una procedura per consentire un campionamento istologico minimamente invasivo in una lesione della fossa posteriore. La biopsia con ago rispetto a una procedura aperta presenta un chiaro vantaggio a causa di complicazioni meno operative come perdite di liquido cerebrospinale e problemi di guarigione delle ferite. 9
Inoltre, una biopsia con ago può essere ottenuta con la stessa accuratezza e tasso conclusivo di diagnosi istologica di una biopsia stereotattica. 1,10
La precisione spaziale del sistema di navigazione è più precisa in posizione supina perché naso, glabella, tempie e fronte sono più facilmente accessibili e possono essere rilevati più facilmente dalla telecamera del sistema di navigazione. In posizione prona, la registrazione del paziente può richiedere più tempo, richiedendo più tempo di anestesia e può essere meno precisa. Soprattutto nei pazienti anziani o con rischi anestesiologici moderati o elevati, la biopsia VarioGuide consente tempi operatori più brevi (Miltiadis 2017) e un rischio procedurale minore per il paziente. 9
La biopsia stereotattica basata sul telaio sarebbe più tecnicamente impegnativa perché il sistema stereotattico potrebbe non consentire la traiettoria desiderata. La stereotassia basata sul telaio può anche richiedere una posizione semi-seduta del paziente e comportare un rischio aumentato di embolia venosa e delle sue complicazioni note). 3,5,7,8 Tuttavia, lo studio condotto da Nakagawa et al. su 80 pazienti dimostra l'uso sicuro della biopsia stereotattica suboccipitale in posizione supina, con la testa girata e inclinata. 12 Nelle lesioni puramente intrinseche del tronco encefalico anteriore, una biopsia stereotattica basata su ronger sarebbe la tecnica più favorevole poiché provoca meno traumi tissutali grazie a un ago biopsico più piccolo. Tuttavia, una biopsia stereotattica basata su rongeur comporta anche un volume di campione inferiore. Lesioni come quella in questo caso non possono essere raggiunte anatomicamente con questo approccio perché le biopsie stereotassice basate su ronger richiedono un punto di ingresso supratentoriale di 4 cm laterale alla linea mediana al livello della sutura coronale. Di conseguenza, abbiamo proceduto con una biopsia con ago. 1,7
I punti di riferimento critici da evitare per complicazioni sanguinanti sono il seno trasverso, l'arteria vertebrale e l'arteria cerebrobellare posteriore inferiore. Abbiamo quindi scelto un punto d'ingresso ben sotto il seno trasverso e ben sopra l'arteria vertebrale. La traiettoria della biopsia dovrebbe evitare di passare il tronco encefalico (troppo in precedenza) o il ventricolo e il plesso coroideo (altamente vascolarizzato e con rischio di sanguinamento aumentato). L'ingresso nel ventricolo può anche portare solo a ottenere liquido cerebrospinale perché non può essere applicata alcuna "aspirazione" al parenchima sopra l'ago auto-tagliante.
I campioni della zona di confine possono successivamente dimostrare la traiettoria precisa e consentire la diagnosi di un tumore vitale (ad esempio, nel glioma di alto grado). 6 I campioni dal nucleo della lesione possono indicare necrosi o la necessità di ottenere altri campioni del tumore vitale. Un campione vitale di tumore è essenziale per stabilire una diagnosi molecolare che permetta una terapia mirata. 11
I campioni di biopsia vengono esaminati al microscopio a fluorescenza per determinare se provengono dal tessuto patologico. I campioni fluorescenti ricordano regioni di barriera emato-encefalica danneggiata e dimostrano che la lesione è stata realmente presa di mira durante la biopsia. 2 Se nessuna delle lesioni fluoresce, si potrebbe facilmente aggiungere un altro percorso di biopsia nella stessa operazione. 2
Il campionamento istologico in questo paziente ha escluso il linfoma e ha dimostrato la presenza di rombencefalite non infettiva. Il trattamento di questa malattia includeva una terapia ad alta dose di aumento del cortisone che portava al sollievo dei sintomi e al miglioramento dei risultati della risonanza magnetica. Tuttavia, il paziente sviluppò successivamente una ricaduta della malattia che si rivelò refrattaria a un'altra terapia con cortisone. Il trattamento fu quindi cambiato in plasmaferesi. 4
In questa procedura sono stati utilizzati il sistema di navigazione Brainlab, il sistema di biopsia VarioGuide e l'ago per la biopsia a taglio laterale. La pianificazione della traiettoria preoperatoria è stata effettuata utilizzando il software Brainlab iPlan.
Nessuna dichiarazione finanziaria per nessuno degli autori.
Il paziente citato in questo video ha dato il suo consenso informato per essere filmato ed è consapevole che informazioni e immagini saranno pubblicate online.
References
- Bradac O, Steklacova A, Nebrenska K, Vrana J, de Lacy P, Benes V. Accuratezza del sistema stereotattico senza frame VarioGuide contro la stereotassia basata su fotogrammi: studio prospettico, randomizzato, a centro singolo. Neurochirurgia mondiale. 2017;104:831-840. doi:10.1016/j.wneu.2017.04.104.
- Bowden SG, Neira JA, Gill BJA, e altri. La fluoresceina di sodio facilita il campionamento guidato del tessuto tumorale diagnostico nei gliomi non potenziatori. Neurochirurgia. 2017. doi:10.1093/neuros/nyx271.
- Fàbregas N, Hurtado P, Gracia I, Craen R. Anestesia per neurochirurgia minimamente invasiva. Rev. Colomb Anestesiol. 2015; 43 (Supplemento 1): 15-21. doi:10.1016/j.rca.2015.07.004.
- Fukata M, Yokoi N, Fukata Y. Neurobiologia dell'encefalite autoimmune. Curriculum Opin Neurobiol. 2017;48:1-8. doi:10.1016/j.conb.2017.07.012.
- Gracia I, Fabregas N. Craniotomia in posizione seduta: gestione anestesiologica. Curr Opin Anestesiolo. 2014; 27(5):474-483. doi:10.1097/ACO.0000000000000104.
- Louis DN, Perry A, Reifenberger G, e altri. La Classificazione dei Tumori del Sistema Nervoso Centrale dell'Organizzazione Mondiale della Sanità 2016: un riassunto. Acta Neuropathol. 2016; 131(6):803-820. doi:10.1007/s00401-016-1545-1.
- Georgiopoulos M, Ellul J, Chroni E, Constantoyannis C. Efficacia, sicurezza e durata di una biopsia cerebrale senza fiducia senza telaio rispetto alla biopsia stereotattica basata sul telaio: uno studio prospettico randomizzato. J neurol surg A Cent Eur Neurosurg. 2017. doi:10.1055/s-0037-1602697.
- Prabhakar H, Mahajan C, Kapoor I. Anestesia per neurochirurgia minimamente invasiva. Curr Opin Anestesiolo. 2017; 30(5):546-550. doi:10.1097/ACO.00000000000000499.
- Pulhorn H, Quigley DG, Bosma JJ, ecc. Impatto della biopsia cerebrale sulla gestione dei pazienti con disturbi neurologici non neoplastici non diagnosticati. Neurochirurgia. 2008; 62(4):833-837. doi:10.1227/01.neu.0000318168.97966.17.
- Ringel F, Ingerl D, Ott S, Meyer B. VarioGuide: un nuovo sistema stereotassico guidato da immagini senza telaio – studio di accuratezza e valutazione clinica. Neurochirurgia. 2009; 64(5 Supplemento 2): 365-371. doi:10.1227/01.NEU.0000341532.15867.1C.
- Weller M, van den Bent M, Tonn JC, et al. Linea guida dell'European Association for Neuro-Oncology (EANO) sulla diagnosi e il trattamento dei gliomi astrocitici e oligodendorogliali adulti. Lancet Oncol. 2017; 18(6):e315-e329. doi:10.1016/S1470-2045(17)30194-8.
- Nakagawa JM, Trippel M, Doostkam S, Mader I, Coenen VA, Reinacher PC. L'approccio stereotassico suboccipital transcerebellare alle lesioni del tronco encefalico e del cervelletto. Clin Neurol Neurosurg. 2018;166:10-15. doi:10.1016/j.clineuro.2018.01.015.
Cite this article
Misch M, Vajkoczy P, Czabanka M. Biopsia cerebrale di un sospetto linfoma cerebelloso. J Med Insight. 2024; 2024(139). doi:10.24296/jomi/139.



