Artroplastia total de rodilla
Main Text
Table of Contents
La artroplastia total de rodilla es uno de los procedimientos ortopédicos más comunes que se realizan en los Estados Unidos. La indicación más común para la artroplastia total de rodilla es la artrosis. Los signos clínicos de la osteoartritis de rodilla incluyen dolor al caminar, dificultad para estirar la rodilla, inestabilidad de la rodilla, deformidad en varo, agrandamiento óseo, retraso en la extensión y contractura en flexión. La evidencia radiológica de la osteoartritis de rodilla incluye la presencia de osteofitos, estrechamiento del espacio articular, esclerosis subcondral, quistes subcondrales y mala alineación.
Antes de considerar el reemplazo total de rodilla, los pacientes generalmente se someten a una prueba de tratamientos menos invasivos, que incluyen modificación del estilo de vida, terapia farmacológica e inyecciones. Si estos métodos no logran producir una mejoría satisfactoria en los síntomas del paciente, se deben considerar los beneficios y riesgos de la artroplastia total de rodilla en conjunto con su cirujano. Los resultados después de la artroplastia total de rodilla son excelentes, y los pacientes informan una gran reducción del dolor, una mejor movilidad y una mejor calidad de vida. Sin embargo, los pacientes deben ser conscientes de que existen riesgos graves que acompañan a cualquier cirugía, que incluyen infección, embolia pulmonar, trombosis venosa profunda, daño a los nervios y necesidad de procedimientos adicionales.
Se trata de una mujer de 66 años con dolor bilateral de rodilla, empeorado a la izquierda. Ha probado un tratamiento conservador durante varios años, que incluye la modificación de la actividad y los analgésicos orales, sin ningún efecto significativo. Los antecedentes quirúrgicos significativos incluyen dos procedimientos artroscópicos en rodillas bilaterales en los últimos siete años.
Algunas preguntas para hacer:1,2
- ¿Cuánto dolor tienes al caminar? ¿Inmóvil? ¿Por la noche en la cama?
- ¿Cuántas cuadras estándar/minutos consecutivos puedes caminar?
- ¿Puedes subir escaleras? ¿Con ayuda?
- ¿Oyes chasquidos con movimiento?
- ¿Cuál es el rango de movimiento de tu rodilla?
- ¿Siente la rodilla inestable? ¿Alguna vez se te dobla la rodilla con el uso?
- ¿Qué dispositivos de asistencia utilizas?
- ¿Tienes rigidez por la mañana? ¿Mejora durante el día?
Al recopilar los antecedentes médicos, investigue los factores de riesgo de infección y otras complicaciones, como artritis reumatoide, diabetes mellitus, estado nutricional deficiente, obesidad, infección urinaria concurrente, terapia con esteroides, neoplasia maligna, hipopotasemia, transfusión de sangre alogénica, antecedentes de tabaquismo, cirugía articular previa e infección preoperatoria de dientes, piel o tracto urinario, insuficiencia venosa. número arábigo
A la exploración, el paciente tiene buen aspecto, descansando cómodamente sin angustia aguda. El examen neurovascular distal de las extremidades inferiores bilaterales muestra una función intacta de EHL y FHL. La sensación está intacta al tacto ligero en la distribución L4-S1. Las rodillas bilaterales tienen un rango de movimiento que va desde la extensión completa hasta aproximadamente 125 grados de flexión. Las rodillas son estables a la tensión en varo y valgo, así como a la prueba de cajón anterior y posterior. Tiene un derrame en la rodilla izquierda. Tiene dolor al caminar y deambula con una marcha antálgica.
Consejos para el examen físico:1,2
- Inspeccione visualmente la rodilla. Evalúe el agrandamiento óseo.
- Evalúe el derrame articular, el enrojecimiento, el calor y la sensibilidad ósea.
- Evalúe la sensibilidad de la línea articular. Realizar maniobras provocativas de menisco (pruebas de McMurray y de molienda).
- Evalúe el dolor con la flexión de la cadera y el rango de movimiento para descartar la cadera como generadora de dolor.
- Evalúe el rango de movimiento de la rodilla.
- Determine el retraso de la extensión.
- Evaluar la contractura de flexión.
- Evaluar la estabilidad medial y lateral de la rodilla.
- Prueba de la estabilidad anterior y posterior de la rodilla.
- Determine la alineación de la rodilla.
- Pruebe la sensibilidad de las extremidades inferiores en el pie en las distribuciones safena, sural, peronea superficial, peronea profunda y tibial.
- Evalúe la función motora de las extremidades inferiores con flexión de cadera, extensión de rodilla, dorsiflexión de tobillo, flexión plantar de tobillo, flexión del dedo gordo del pie y extensión del dedo gordo.
- Evaluar los pulsos femoral, poplíteo, tibial posterior y dorsal del pie.
- Observar la marcha del paciente. Evalúe la cojera, la necesidad de ayuda para pararse y sentarse.
Las vistas AP que soportan peso, incluidas las rodillas bilaterales, las vistas laterales y del amanecer, son necesarias para evaluar radiográficamente la osteoartritis de rodilla. Los hallazgos críticos de la osteoartritis de rodilla en el examen radiológico son los siguientes:2
- Estrechamiento del espacio articular
- Osteofitos
- Esclerosis subcondral
- Quistes subcondrales
- Pérdida de stock óseo
- Malalignment
- Deformidad en varo o valgo
Encontrar osteofitos en las radiografías es lo que mejor diferencia la osteoartritis de la artritis reumatoide y otras artritis. Un criterio sensible y específico para la artrosis de rodilla es la combinación de dolor de rodilla, aspecto radiológico de los osteofitos y uno o más de los siguientes: edad mayor de 50 años, rigidez matutina inferior a 30 minutos o crepitación en movimiento activo.
Se deben utilizar las vistas bilaterales de soporte de peso para comparar el lado afectado con el no afectado. La artrosis debe evaluarse en cada uno de los tres compartimentos de la rodilla: medial, lateral y patelofemoral. Hay que tener en cuenta que hasta el 30% de los adultos mayores de 65 años presentarán un aspecto radiográfico de la artrosis, pero un tercio de estos individuos serán asintomáticos. 3 Por lo tanto, es importante correlacionar los hallazgos clínicos y radiográficos para llegar a un diagnóstico de osteoartritis de rodilla sintomática, una entidad clínicamente relevante.
Entre los pacientes de edad avanzada, los hallazgos radiográficos de osteoartritis ocurren con una incidencia de alrededor del 2% por año y la osteoartritis sintomática ocurre con una incidencia de alrededor del 1% por año. Entre los individuos con hallazgos radiográficamente evidentes de osteoartritis, la progresión de la enfermedad ocurre con una incidencia de alrededor del 4% por año. En cada categoría, la incidencia de osteoartritis es mayor en las mujeres que en los hombres. 4
El tratamiento para la osteoartritis de la rodilla generalmente se desarrolla a lo largo de un espectro de menos a más invasivo. El tratamiento inicial de la osteoartritis sintomática de rodilla debe comenzar con un ensayo de educación e intervención en el estilo de vida junto con el tratamiento farmacológico durante un período de tiempo adecuado antes de proceder a las terapias invasivas. El tratamiento debe adaptarse a los factores de riesgo específicos del paciente, el nivel de dolor y discapacidad del paciente, los signos inflamatorios y el grado de daño estructural. Las opciones de tratamiento se resumen a continuación:3
- Tratamientos no farmacológicos. Estos incluyen educación, ejercicio, fisioterapia, pérdida de peso, plantillas, aparatos ortopédicos y cambios en el estilo de vida.
- Tratamientos farmacológicos. Estos incluyen paracetamol, AINE, opioides, tratamientos tópicos, glucosamina y condroitina. El paracetamol es el mejor medicamento oral inicial y el preferido a largo plazo si es eficaz. Si no se observa respuesta con paracetamol, se debe intentar el tratamiento con AINE, con la precaución necesaria para aquellos con factores de riesgo gastrointestinales. Los opioides pueden ser eficaces en pacientes que han fracasado o no pueden tolerar el paracetamol o los AINE, con la precaución necesaria para aquellos en riesgo de abuso o dependencia de drogas. Glucosamina, condroitina, ASU, diacereína y ácido hialurónico.
- Intervenciones invasivas. Estos incluyen inyecciones intraarticulares, lavado y reemplazo de articulaciones. Las inyecciones intraarticulares pueden ayudar con los brotes de dolor de rodilla asociados con el derrame. Se debe considerar el reemplazo articular para pacientes con dolor refractario y discapacidad que tienen evidencia radiográfica de osteoartritis de rodilla.
La mortalidad después de la artroplastia total de rodilla es de aproximadamente el 1,5% anual. Sin embargo, la mayoría de estos procedimientos se realizan en ancianos y esta cifra debe ser vista en el contexto de esta población de pacientes. Los riesgos más importantes asociados con la artroplastia total de rodilla son la infección superficial (3,9%), la infección profunda (1,7%), la embolia pulmonar (2%), la trombosis venosa profunda (6,5%) y el daño de los nervios periféricos (2,1%). A los 4 años de seguimiento, la tasa media de revisión total de la prótesis de rodilla es del 3,8%. 5 Los pacientes mayores experimentan mejoras similares en los resultados clínicos en comparación con los pacientes más jóvenes. Por lo tanto, la edad no debe utilizarse como contraindicación para la cirugía, y los pacientes deben ser evaluados en función de los criterios anteriores para la gravedad de la enfermedad articular para determinar su candidatura quirúrgica. Los pacientes deben ser conscientes de que los hombres reportan mayores mejoras en el dolor postoperatorio en comparación con las mujeres. 6
Las contraindicaciones absolutas para la artroplastia total de rodilla incluyen sepsis de rodilla activa o latente, presencia de infección activa en otras partes del cuerpo, disfunción del mecanismo extensor, incapacidad del paciente para tolerar el procedimiento.
Las contraindicaciones relativas incluyen:9
- Obesidad mórbida debido a una mayor tasa de complicaciones perioperatorias, particularmente drenaje de heridas, infecciones y avulsión del ligamento colateral medial.
- Artropatía neuropática por mayor tasa de complicaciones e fracasos.
- Artritis postraumática y antecedentes de infección.
- Enfermedad vascular periférica grave.
- Poca motivación del paciente o expectativas poco realistas.
- Incumplimiento debido a un trastorno psiquiátrico grave, abuso de alcohol o drogas.
- Debilidad muscular o reserva ósea insuficiente para la reconstrucción.


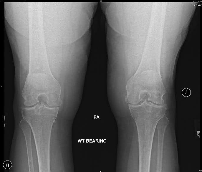
Figura 1. Radiografías preoperatorias.
La artroplastia total de rodilla, cuando está indicada para el tratamiento de la enfermedad articular degenerativa, puede proporcionar un alivio significativo del dolor y una mejor calidad de vida. Este procedimiento generalmente se realiza después de ensayos fallidos de medidas menos invasivas, que incluyen modificación del estilo de vida, terapia farmacológica y terapia con inyecciones. Después de la artroplastia total de rodilla, los pacientes informan buenos resultados clínicos y una mejor calidad de vida. Todos los pacientes deben ser conscientes de que, al igual que con todos los procedimientos quirúrgicos, existen riesgos. Estos riesgos pueden ser graves e incluyen infección del sitio quirúrgico, embolia pulmonar, trombosis venosa profunda, daño a los nervios y la necesidad de procedimientos adicionales. La decisión de someterse a un reemplazo total de articulaciones debe hacerse en colaboración entre el paciente y el cirujano, sopesando los beneficios y riesgos del procedimiento y teniendo en cuenta el resultado esperado.
Entre los pacientes que se someten a un reemplazo total de rodilla, casi el 90% informa un resultado bueno o excelente después de 4 años de seguimiento con una mejora promedio de 8 grados en el rango de movimiento. Con respecto a la mejoría del dolor, el 75% de los pacientes no refiere dolor postoperatorio y el 20% refiere solo dolor postoperatorio leve a los 4 años de seguimiento. 5,6 En particular, los pacientes que reportan una peor calidad de vida preoperatoria probablemente experimenten la mayor mejoría como resultado de la artroplastia total de rodilla. Los pacientes que se han sometido a un reemplazo total de articulaciones reportan una calidad de vida casi equivalente a la de los grupos de control sanos. Al año de seguimiento, los receptores de rodilla total informan una mejora en la energía, la emoción, el sueño y la movilidad. 6
Las investigaciones futuras pueden centrarse en investigar métodos mejorados para controlar el dolor postoperatorio, los factores de riesgo de complicaciones quirúrgicas, incluidas las infecciones y los procedimientos de revisión, y los métodos óptimos para minimizar estos riesgos.
- Sistema Attune con un componente femoral de tamaño 4
- Tibia de tamaño 5 con inserto de retención cruzado de rodamiento fijo 4x7
- Botón rotuliano de polietileno de 38 mm
- Torniquete
El autor certifica que él, o un miembro de su familia inmediata, ha recibido o puede recibir pagos o beneficios, durante el período de estudio, por un monto de más de USD 1,000,001 de DePuy (Varsovia, IN, EE. UU.).
El paciente al que se refiere este artículo en vídeo ha dado su consentimiento informado para ser filmado y es consciente de que la información y las imágenes se publicarán en línea.
References
- Skou ST, Roos EM, Laursen MB, et al. Un ensayo aleatorizado y controlado de artroplastia total de rodilla. N Engl J Med. 2015; 373(17):1597-1606. doi:10.1056/NEJMoa1505467.
-
Kohn MD, Sassoon AA, Fernando ND. Clasificaciones en resumen: Clasificación Kellgren-Lawrence de la osteoartritis. Clin Orthop Relat Res. Agosto de 2016; 474(8):1886-93. doi:10.1007/s11999-016-4732-4.
- Moseng T, Vliet Vlieland TPM, Battista S, et al. Recomendaciones de EULAR para el tratamiento central no farmacológico de la osteoartritis de cadera y rodilla: actualización de 2023. Ann Rheum Dis. Publicado en línea el 11 de enero de 2024. doi:10.1136/ard-2023-225041.
-
Driban JB, Harkey MS, Barbe MF, et al. Factores de riesgo y la historia natural de la osteoartritis acelerada de rodilla: una revisión narrativa. BMC Musculoskelet Disord. 29 de mayo de 2020; 21(1):332. doi:10.1186/s12891-020-03367-2.
- Rathod J, Agarwal K. Resultado funcional de la artroplastia de reemplazo total de rodilla bilateral en la osteoartritis tricompartimental bilateral de rodilla. Int J Orthop Sci. 2021; 7(1):998-1005. doi:10.22271/ortho.2021.v7.i1o.259.
- Cánovas F, Dagneaux L. Calidad de vida después de la artroplastia total de rodilla. Orthop Traumatol Surg Res. 2018; 104(1S):S41-S46. doi:10.1016/j.otsr.2017.04.017.
- Judge A, Arden NK, Cooper C, et al. Predictores of outcomes of total knee replacement surgery (Predictores de los resultados de la cirugía de reemplazo total de rodilla). Reumatología (Oxford). 2012; 51(10):1804-1813. doi:10.1093/reumatología/kes075.
- Sunadi A; Nursalam; Mustikasari; Krisnana I, Kurniawati ND. Factores correlacionados con la calidad de vida después de las artroplastias totales de rodilla: una revisión de la literatura. Malayos Orthop J. 2024 marzo; 18(1):1-10. doi:10.5704/MOJ.2403.001.
- Hsu H, Siwiec RM. Artroplastia de rodilla. En: StatPearls. Isla del Tesoro (FL): StatPearls Publishing; Enero de 2024.
- Parvizi J, Klatt B, eds. Imprescindibles en la artroplastia total de rodilla. 1ª ed. Boca Ratón, FL: CRC Press; 2011.
Cite this article
Thornhill TS, Lee DJ. Artroplastia total de rodilla. J Med Insight. 2024; 2024(13). doi:10.24296/jomi/13.


.jpg&w=3840&q=75&dpl=dpl_EBeMDq92WPrh1e8MFcXdwqHUkyRv)